Connective Tissue

OBJECTIVES: At the end of this laboratory you should be able to:

1. Distinguish the connective tissues from all epithelial tissues on the basis of location, cell density and the presence of discrete fibers.

2. Distinguish between loose irregular (areolar), dense irregular, or dense regular connective tissues on the basis of fiber packing and orientation.

3. Identify, at the light and electron microscopic levels, collagen, reticular, and elastic fibers.

4. Identify and list the cell types found in the various kinds of general connective tissues, and describe their origins and functions.

SLIDES FOR THIS LABORATORY: 2, 13, 14, 40, 43, 47, 49, 51, 67, 68, 72, 79, 80, 89, 92 and 93.


FIBERS

The common fiber types include collagen, elastic, and reticular.

Slide 43 Thick Skin, Sole of the Foot

Collagen fibers (typically type I collagen) are acidophilic when stained with H & E, as seen in the dermis of skin. They tend to have a wavy appearance and may be sectioned obliquely, transversely or longitudinally. Nuclei of fibroblasts (fibrocytes) are numerous among the collagen fibers.

Slide 92 Thick Skin, Monkey Finger.

Again note the wavy collagen fibers of the dermis in this slide of thick skin.

Slide 47 Submaxillary Gland, Verhoeff's Hematoxylin.

Elastic fibers stain black with Verhoeff's Hematoxylin and are seen as branching black lines. In this slide, the elastic fibers are clearly visible around ducts and vessels (collagen fibers are green).

Slide 93 Connective Tissue Spread, Verhoeff Van Gieson, Toluidine Blue.

Both elastic and collagen fibers and various connective tissue cells are visible in this preparation. Verhoeff's Hematoxylin stains elastic fibers black and Van Gieson stains collagen acidophilic. In your slide the acidophilic collagen fibers may not be obvious. Mast cells are easily identified due to the metachromasia of granules with toluidine blue.

Slide 79 Spleen, Reticular stain.

Reticular fibers (type III collagen) are thin collagen fibers not typically detected with routine H & E staining. However, these fibers stain black with silver stain and are often called argyrophilic fibers . The spleen demonstrates the supportive network of reticular fibers present in many organs. In this slide, the delicate reticular fibers are black and the thick collagen fibers are red/brown.

Slide 89 Human Liver, Acid Fuchsin (Van Gieson method) and Silver.

This slide demonstrates both collagen (red) and reticular (black) fibers.


CELLS

The common cell types in connective tissue include: fibroblasts, mast cells, plasma cells, macrophages, adipocytes, and leukocytes.

Slide 72 Tendon.

Fibroblasts are the most common cell type of connective tissue. They produce both fibers and amorphous ground substance. Typically only the oval nuclei are visible. These cells are found associated with the fibers listed above. In the tendon, fibroblasts are seen as elongate nuclei found sandwiched between collagen fibers .

Slide 93 Connective Tissue Spread.

Mast Cells are round/oval cells that contain granules that are metachromatic because of their glycosaminoglycan content; these cells are easily seen in the connective tissue spread. The toluidine blue component of the stain applied to this slide renders the mast cell granules blue-purple.

Slide 51 Pyloric Stomach.

Examine the lamina propria underlying the epithelium of the pyloric stomach to find plasma cells . The cells are ovoid with basophilic cytoplasm, due to rER. The diagnostic feature of plasma cells is their eccentric round nuclei commonly described as "clock face" nuclei . This appearance is due to heterochromatin clumps. These cells are readily identified in the mucosa of the digestive tract.

Slide 14 Lung.

In the lung, alveolar macrophages (dust cells) are found easily in the air spaces where these cells have either ingested carbon particles or erythrocytes. Some may appear as vacuolated cells. One can infer the identity of a macrophage by its indented nucleus . Macrophages are phagocytic cells that are difficult to find in normal tissues because there is not sufficient cause for them to increase in number.

Slide 40 Parathyroid Gland.

Adipocytes , fat cells are large cells specialized in storage of neutral fats. Lipid is removed in routine tissue preparation. Consequently the cell appears as a thin rim of cytoplasm surrounding the vacuole of dissolved lipid. The nucleus is eccentric and flattened. Adipose tissue is a connective tissue with a predominance of adipocytes.

Slide 2 Peripheral Nerve, Osmium Tetroxide.

Lipid is preserved and stained black when the tissue is prepared using osmium tetroxide as a fixative.

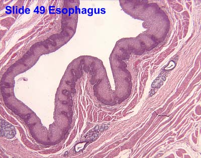
Slide 49 Esophagus.

Leukocytes are white blood cells that are readily found in connective tissue. Lymphocytes (similar in size to red blood cells) are the most common connective tissue leukocyte. Aggregates of lymphocytes are often found associated with the mucosal epithelium of the GI tract, such as this slide of the esophagus. They have a small amount of slightly basophilic cytoplasm and a large, darkly stained nucleus because of condensed chromatin. Use Slide 51 (pyloric stomach) to compare lymphocytes (no visible cytoplasm) to plasma cells which contain abundant cytoplasm.

Slide 80 Pancreas.

Observe the eosinophils surrounding the large duct in the center of this slide. These cells are another type of leukocyte that are identified by their bilobed nucleus and refractile specific granules that are stained by eosin.


TYPES OF CONNECTIVE TISSUE

Connective tissue can be classified as either connective tissue proper or specialized connective tissue. Connective tissue proper includes: loose connective tissue (also called areolar) and dense (irregular) connective tissue. Specialized connective tissue types include: dense regular connective tissue, cartilage, bone, adipose tissue, blood, and hematopoietic tissue. The majority of specialized connective tissues will be studied in future laboratories.

Slide 13 Trachea.

Loose connective tissue (areolar) is located under the thick eosinophilic basement membrane of the respiratory epithelium in the trachea. A major component of loose connective tissue is amorphous ground substance which does not stain with routine H & E. The most numerous cell types are fibroblasts . In addition, other fibers such as collagen, elastic, and reticular fibers are present. Also, look for this type of connective tissue surrounding blood vessels and underlying the epithelium of the digestive tract.

Slide 43 Thick Skin, Sole of the Foot.

Loose connective tissue (areolar) is located directly beneath the epidermis of the skin. Dense irregular connective tissue forms most of the dermis below the loose connective tissue. Dense irregular connective tissue has similar components as loose connective tissue. However, the collagen fibers predominate and there are fewer cells and less amorphous ground substance. The collagen is arranged in bundles without any specific orientation.

Slide 72 Tendon.

Dense regular connective tissue has collagen fibers arranged in a definite pattern according to the direction of stress. The tendon clearly shows this arrangement.