Cytology

OBJECTIVES: At the end of this section you should be able to:

1. Recognize whether a cell or tissue is basophilic or eosinophilic.

2. Correlate basic cell structure at the light microscopic level with the same structure as seen with the electron microscope.

3. Infer the chemical composition of a structure seen in the light microscope by its histochemical reaction and/or staining with dyes.

4. Determine whether a nucleus is predominately heterochromatic or euchromatic.

5. Identify subcellular structures in electron micrographs provided by the instructors and posted on Hippocrates.

SLIDES FOR THIS LABORATORY: 91, 83, 40, 2, 13, 80, 3, and Supplemental Slide 131


I n this laboratory, you will examine several light microscope slides and compare morphology (structure) that you can resolve at this level with that resolvable with electron microscopy. Consult your atlas for examples at the electron microscopic level of the structures and cells you are directed to observe.

Slide 91 Buccal smear.

In this preparation one can observe squamous epithelial cells from the oral mucosal stratified squamous non-keratinizing epithelium. In addition, white blood cells (mostly neutrophils known here as salivary corpuscles), and bacteria (which most commonly are a form of streptococci) are also observed. Note the size difference between the epithelial cell, white blood cell, and the bacteria. The bacteria are essentially the size of mitochondria. Shape differences exist however; the streptococci are spherical and mitochondria are elongated (sometimes up to several microns long). Note the results of staining with H & E, i.e. the color of the cytoplasm and the nucleus. Note the ratio of nuclear to cytoplasmic area. Normal cells have more cytoplasmic than nuclear area (with some notable exceptions such as small lymphocytes). The nuclei of normal cells are usually round or oval shaped. Malignant cell nuclei are often odd shaped with irregular contours (pleomorphic). Compare the nuclear shape in the epithelial cell with the white blood cell. The epithelial cells will be the largest cells in the smear.

Supplemental Slide 131 Onion root tip.

Note that a definite cell border (a refractile line) demarcates each cell. This is typical of plant cells, but only true of human cells in certain organs such as the collecting duct cells of the kidney. Search for the stages of mitosis , i.e. prophase , metaphase , anaphase , and telophase .

Slide 83 Ovary.

The blue staining area of this slide is the cortex . The pink staining region is the medulla and is located inside the cortex. In the cortex, observe oocytes of different sizes. An oocyte can usually be found in the large rather empty circles (properly named ovarian follicles). Find one large follicle and study it at higher magnification. All the oocytes, except for the very immature, are surrounded by a thick pink (acidophilic) membrane (the zona pellucida ) which should aid you in locating one. The first thing to observe is that oocytes are different sizes. As the oocyte matures it approaches 100 µ m in diameter while the most immature oocyte can be 25 µ m or less in diameter. Note the pink (acidophilic) granular cytoplasm , the blue (basophilic) euchromatic nucleus , and the smaller densely stained nucleolus . Recall that the routine thickness of the sections you will study in this course are 6 µ m which means that it is entirely possible to miss either the nucleus and/or the nucleolus in a 25-100 µ m diameter cell. Next, it is important to realize that all cells are not the same size. Part of their specialization includes size. Around the oocyte, note that there are numerous dark basophilic rounded or oval structures. These are the nuclei of other cells such as the follicular cells which surround the oocyte. Note that even though they are much smaller than the nuclei of the oocytes, they still are euchromatic with a prominent nucleolus which indicates that transcription is taking place (i.e. the cell is synthesizing something). Observe that the cell limit or border of the cells in tissue sections is usually not observable but must be deduced by the pattern of nuclei (assuming in most cases one nucleus for each cell). The cell limit of the oocyte can be readily inferred from the zona pellucida , a structure unique to the oocyte. Note that the plasma membrane cannot be resolved with the light microscope.

Slide 3 Spinal cord, cross section.

Find the large and obvious blue-purple stained cells. These are motor neuron cell bodies. Observe the basophilic granules in the cytoplasm, which are aggregates of rough endoplasmic reticulum and free ribosomes. Note that the nucleus of these neurons is large and stains very lightly with hematoxylin. This is because the chromatin is uncoiled to a large extent and transcription is continuously taking place. Therefore the morphological appearance of this nucleus, following a routine H & E stain, is said to be euchromatic (also referred to as vesicular) because most of the DNA is euchromatin (i.e. uncoiled). You can observe some clumps of chromatin (coiled DNA referred to as heterochromatin) in the nucleus of these cells but it is a minor component of such active cells. The nucleolus is large and darkly stained.

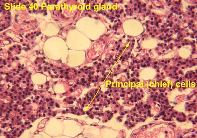
Slide 40 Parathyroid gland.

Within the parathyroid gland you should see many circular empty-appearing spaces. These are actually fat cells . The accumulated fat has pushed the nuclei and organelles to a narrow peripheral rim so most of the cell is occupied by fat droplets. Compare the appearance of a fat cell in this section with an electron micrograph of a fat cell. Observe the strands of smaller cells with darkly staining nuclei between the fat cells. These are the principal (or chief) cells of the parathyroid gland. Many of the cells in this specimen were inactive at the time of collection and fixation. Note the appearance of a heterochromatic nucleus (also referred to as a condensed nucleus). The dominant form of chromatin is condensed, inactive heterochromatin. Now you have seen the morphological correlate of active (neuron in Slide 3 ) and inactive (this slide) cells.

Slide 2 Peripheral nerve, osmium stain.

In this section observe that lipid is preserved and stains black.

Slide 80 Pancreas.

This slide contains many typical polarized protein synthesizing and secreting cells ( acinar cells of the pancreas). Correlate the staining reactions in the different regions of the cell to rough ER, Golgi apparatus, and secretory granules. Note the basal region of the cell is basophilic, while the apical region is eosinophilic. This staining reaction occurs because the protein filled secretory granules are apical while the nucleus is basal in the cell.