Epithelium

OBJECTIVES: At the end of this laboratory you should be able to:

1. Recognize and correctly name the eight types of epithelium.

2. Name one representative site in the body where these types are found.

3. Distinguish whether an epithelial type contains cilia or microvilli.

4. Identify and distinguish between cilia and microvilli both in light and electron micrographs (based on the type of epithelium in the light microscope and based upon structure at the EM level).

5. Distinguish the basement membrane with the light microscope and its components, the basal lamina and the reticular lamina, in electron micrographs.

6. Recognize the junctional complex and its components, the zonula occludens, the zonula adherens and the macula adherens in electron micrographs.

7. Distinguish between multicellular and unicellular glands.

8. Distinguish between serous and mucous secretory glandular cells.

SLIDES FOR THIS LABORATORY: 13,18,30,35,36,37,43,44,46,47,49,52,80,85,87,92 Supplemental Slides 101, 103, 112.


SURFACING EPITHELIUM

SIMPLE SQUAMOUS EPITHELIUM:

Slide 18 Uterine tube.

Simple squamous epithelium can be studied by looking at cells which line blood and lymph vessels. These flattened cells are called endothelial cells . The nuclei are frequently found protruding into the lumen of the vessel. Observe the numerous large blood vessels present in the periphery of this section. Simple squamous epithelium is also the outer covering of the uterine tube which is termed the mesothelium .

SIMPLE CUBOIDAL EPITHELIUM:

Slide 35 Kidney.

Simple cuboidal epithelium is prominent in the cortex and medulla of the kidney. Proximal convoluted tubules , distal convoluted tubules , and collecting ducts are examples of simple cuboidal epithelium.

SIMPLE COLUMNAR EPITHELIUM:

Slide 52 Duodenum.

Locate a large fingerlike projection at the surface of the organ (this is an intestinal villus ). Observe that the projection has an internal component and a surface. The surface of each villus is covered with simple columnar epithelium . The free surface of these cells has very tiny projections called microvilli , which are specialized for absorption (absorptive cells). Numerous mucus-secreting cells, known as goblet cells because of their shape, are dispersed between the absorptive cells. In the lab or on Hippocrates, locate an electron micrograph of an intestinal absorptive cell and compare the details which you see in your light microscope with those seen on electron micrographs.

PSEUDOSTRATIFIED CILIATED COLUMNAR EPITHELIUM:

Slide 13 Trachea.

Note the ciliated, pseudostratified columnar epithelium lining the tracheal lumen. This epithelium is commonly referred to as "respiratory epithelium". Compare cilia with the microvilli on Slide 52. Note that the cilia are much longer. Study the ultrastructure of cilia and microvilli in electron micrographs.

Slide 30 Epididymis, efferent ducts.

Distinguish between the epididymis and the efferent ducts in this slide by the appearance of the lumen in each organ. The epididymis has a smooth, even epithelium lining its lumen; while the efferent ducts are more scalloped in appearance. Both are examples of pseudostratified columnar epithelium. Especially note the stereocilia (long microvilli) of the epididymis.

STRATIFIED SQUAMOUS EPITHELIUM (KERATINIZING AND NONKERATINIZING):

Slide 49 Esophagus.

Stratified squamous nonkeratinizing epithelium lines the lumen of the esophagus. This type of epithelium is found in mucous membranes.

Slide 43 Skin, sole of foot.

Observe the thick cornified layer of stratified squamous keratinizing epithelium of the skin. Note the changes in cellular morphology and intercellular spaces as one moves from the basal cells to the lifeless keratinized cells on the surface. Slide 43 is typical of thick skin .

Slide 44 Skin, scalp.

Slide 44 is another of example of stratified squamous keratinizing epithelium . It is typical of thin skin . Note the difference in the thickness of the stratum corneum , the outermost layer.

Slide 92 Finger, monkey.

This slide is another excellent example of stratified squamous keratinizing epithelium .

STRATIFIED CUBOIDAL AND STRATIFIED COLUMNAR EPITHELIUM:

Slide 47 Submaxillary Gland.

Stratified columnar epithelium is often found at the junction between simple columnar epithelium and stratified squamous epithelium. The ducts of the salivary glands fit into this category and are shown in this slide. Also observe some stratified cuboidal epithelium lining the larger ducts found in this section (typically lying within connective tissue septa).

Slide 43 Skin, sole of foot.

Stratified cuboidal epithelium is found in the ducts of sweat glands . Look for these sweat glands well beneath the surfacing epithelium.

Slide 44 Skin, scalp.

Again, search for the stratified cuboidal epithelium in the ducts of sweat glands .

TRANSITIONAL EPITHELIUM:

Slide 36 Ureter.

Note the presence of characteristic surface dome cells in the transitional epithelium .

Slide 37 Urinary bladder.

Again, find the transitional epithelium that lines the urinary bladder.

Supplemental Slide 112 Ureter.

In this slide, the ureter is preserved in various degrees of distention for better observation of the features of transitional epithilium. Compare the distended epithelium to the relaxed epithelium .

BASEMENT MEMBRANE:

Slide 13 Trachea.

The basement membrane is clearly seen underlining the "respiratory epithelium". This is refractile and pink. Be able to identify the components of this structure at the ultrastructural level.

CELL JUNCTIONS & NUCLEI:

Slide 44 Skin, scalp.

The basophilic tissue covering one surface is the epidermis of the skin. The cells of this covering are fastened together with a multitude of desmosomes. Examine the epidermis and try to resolve the cell borders , which stain lighter. Using the oil immersion lens, critically examine the zone between the cells and observe what appears like spiny projections . At mid point of each spine is where each desmosome is located. Desmosomes can be observed in the electron micrographs. Think about the dimension of a desmosome and reflect on what you were able to see with your light microscope and in the electron micrographs.

Slide 92 Finger, monkey.

Observe the nuclei in the different strata of the epidermis . Here you can observe euchromatic nuclei (ones having more euchromatin, extended DNA, than heterochromatin, contracted DNA) and heterochromatic nuclei (ones having just the opposite proportion of euchromatin to heterochromatin). Note the nuclei which are closest to the surface of the epidermis. These will become part of the stratum corneum, the cornified layer of dead cells.

Supplemental Slide 101 Skin of palm.

Note the increased detail than can be seen in the epidermis in this 1.5µm section.


GLANDULAR EPITHELIUM

SEROUS GLANDS:

Slide 80 Pancreas.

Note the arrangement of the glandular epithelium forming rounded masses of epithelial cells termed acini . The centrally located lumen of each is continuous with the duct system of the gland. Individual cells are pyramidal shaped. The nuclei are round and found basally while the secretory granules are located apically. Ultrastructurally, these acinar cells are typical of protein secreting cells.

Supplemental Slide 103 Pancreas.

Here the granules are eosinophilic and the basal region of each acinar cell is basophilic as it should be normally.

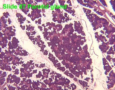
Slide 87 Parotid.

The parotid gland is a pure serous gland and thus made up of all serous acini . Note the prominent granules of the acinar cells.

MIXED GLANDS:

Slide 47 Submaxillary gland.

Also organized as acini, the submaxillary gland secretes both serous and mucous products. Serous cells are more numerous in the submaxillary (also called submandibular) gland. Mucous secreting cells have flat nuclei located basally. The apical region typically appears empty due to the extraction of mucous in routine tissue preparation. Serous cells are often found capping mucous acini. These are called demilunes and are easily distinguished by their intensely staining granules.

Slide 85 Submaxillary gland.

This slide shows a more typical picture of serous and mucous cells in an H & E stained preparation study.

Slide 46 Sublingual gland.

Mucous cells predominate in the sublingual gland. Observe the small serous component of this gland present as serous demilunes .

Slide 13 Trachea.

Another example of mucous cells and serous demilunes .

UNICELLULAR GLANDS:

Slide 52 Duodenum.

Observe Goblet cells in the simple columnar epithelium of the duodenum.