Lymphatic and Immune System

OBJECTIVES: At the end of this laboratory, you should be able to:

1. Identify the lymph node, spleen, thymus, and palatine tonsil based on their histological arrangement. Pay particular attention to the presence or absence of a cortex/medulla or lymph nodules.

2. Identify and discuss the flow of lymph through the lymph node from the afferent to the efferent lymphatic vessels.

3. Identify the red and white pulp of the spleen and understand their role in splenic function.

4. Describe and understand the functional significance of blood flow through the spleen.

5. Identify the thymus and understand its function.

6. Identify the palatine tonsil and understand its function.

SLIDES FOR THIS LABORATORY: 53, 55, 59-62, 94 and Supplemental Slide 132.


DIFFUSE LYMPHATIC TISSUE

Slide 55 Appendix.

Here the lamina propria and submucosa are heavily infiltrated with lymphatic tissue. Look near the lining epithelium for individual lymphoid cells .

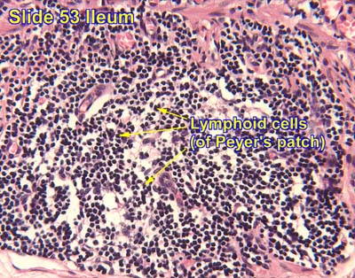
Slide 53 Ileum.

Scattered cells and lymphoid tissue, as well as slightly more organized lymph nodules, are commonly found in the mucosa of the GI tract. Lymph nodules in the ileum are referred to as Peyer's patches . Again, examine the lymphoid cells (mostly lymphocytes and plasma cells).


ORGANS

Slide 59 Lymph node.

Lymph nodes are more organized organs than are nodules. They have a capsule , subcapsular sinus , hilus , supporting connective tissue trabeculae , and trabecular sinuses . Arteries, veins, and efferent lymphatics are all located at the hilus. Afferent lymphatics enter the capsule. Lymph nodes often appear "airy" because of their system of lymph spaces or sinuses. Note the outer cortex containing lymph nodules and its transition to the inner medulla . In the medulla, the lymphoid tissue is organized as irregular cords of cells, medullary cords , surrounded by medullary sinuses . Note the ingrowth of trabeculae from the capsule into the node. The node is composed of many free cells , mostly lymphocytes and plasma cells. Also note the distribution and density of reticular cells in the lymph node.

Slide 60 Lymph node.

Again, identify the capsule , subcapsular sinus , lymph nodules , supporting connective tissue trabeculae with trabecular sinuses , medullary cords with medullary sinuses , and the hilus .

Slide 62 Spleen., human.

Note the dense connective tissue capsule covered with mesothelium (peritoneum). Heavy connective tissue trabeculae extend into the organ from the capsule to provide support. The trabeculae also serve to carry blood vessels to/from the vascular spaces in the spleen. Examine the two major components of the spleen the white pulp and red pulp . The white pulp can be organized as splenic (lymph) nodules with the characteristic central artery (arteriole) in each nodule. The germinal centers of the nodules are mainly B cells. In addition, the lymphatic tissue not organized as nodules can be seen as the periarterial lymphatic sheath (a thin cuff of tissue made up of T lymphocytes that surrounds the central arteries). Both red and white pulp are supported by reticular fibers that form a supporting framework of the spleen.

Supplemental Slide 132 Spleen, baboon.

Now study the baboon spleen, which has active germinal centers and enlarged splenic nodules . Also, this slide demonstrates the venous sinuses and splenic cords (cords of Billroth).

Slide 61 Thymus, infant.

Note that the thymus consists of an outer capsule , a darker stained cortex , and a lighter central medulla . The cortex is darker because of the high concentration of small lymphocytes. Smaller subdivisions of the gland are called lobules . Interlobular septa separate the lobules from each other. Intralobular trabeculae extend from the capsule into the cortex. Within the medulla are conspicuous eosinophilic, whorled structures called Hassall's corpuscles composed of a concentric mass of epithelioreticular cells joined together by many desmosomes. These are diagnostic of the thymus. Among the numerous small lymphocytes are many thymic reticular cells (epithelial origin). Note particularly that the thymus lacks lymph nodules and sinuses. Recall that after puberty the thymus undergoes involution and is infiltrated by fat as lymphocytes degenerate (the organ is, however, still functional)

Slide 94 Palatine Tonsil.

Note in the tonsil that the lymphoid tissue is arranged as nodules (with germinal centers) and diffuse accumulations of lymphocytes. Try to identify the rudimentary capsule . The free surface is covered with stratified squamous epithelium (continuous with the oral cavity) which dips into the organ forming epithelial invaginations called tonsillar crypts . Note that many lymphocytes (very small darkly stained, round nuclei) migrate through the epithelium and nearly obscure its identity.