Respiratory System

OBJECTIVES: When finished with this laboratory, you should be able to:

1. Discuss and identify the conducting and respiratory portions of the respiratory tract.

2. Identify the morphological changes and their functional significance in the walls of the air passages.

3. Identify and discuss the specific functions of the epithelial cells covering the entire respiratory tract.

SLIDES FOR THIS LABORATORY: 11, 13, 14 and Supplemental Slide 113.


Slide 11 Nasal Mucosa, cat.

Find typical respiratory epithelium of the nasal mucosa and the modified epithelium that comprises the olfactory epithelium . Compare the respiratory epithelium with the olfactory epithelium. Note the large nerve bundles beneath the olfactory epithelium that eventually will make their way to the olfactory bulbs via the cribriform plate. These are called filia olfactoria (axons of bipolar olfactory neurons). Note also the Bowman's glands in the mucosa.

Slide 13 Trachea.

The trachea is a membranous tube with walls that are supported by incomplete cartilaginous rings . Note that these rings open toward the esophagus. Observe the mucous membrane of ciliated pseudostratified columnar epithelium with goblet cells. This epithelium has an unusually well defined basement membrane . The wall of the trachea is composed of a mucosa, submucosa, cartilaginous layer, and adventitia. The lamina propria of the mucosa contains many elastic fibers, lymphoid tissue in diffuse patches, and occasional small nodules. In addition, mucous glands with serous demilunes are present in the submucosa. Follow the cartilage rings around to the free ends and observe the trachealis muscle . This muscle is smooth muscle and attaches to the free ends of the cartilage rings. Some specimens may contain small portions of the thyroid gland anteriorly.

Slide 14 Lung.

Work from the largest structures and move to the smallest air spaces.

AIRWAYS

First identify a bronchus . The trachea first branches into two primary bronchi and then each bronchus branches several times. The characteristic feature of the bronchus is the presence of plates of hyaline cartilage . Smooth muscle and mucus secreting cells (Goblet cells) are also present. The bronchus is lined by ciliated pseoudostratified columnar epithelium . Next find a terminal bronchiole . These air passages are characterized by the absence of alveoli and the presence of cartilage and goblet cells. Smooth muscle is still evident within the muscularis mucosae . Now observe a respiratory bronchiole , this is the first structure where gas exchange occurs. Look for the presence of alveoli , and recall the presence of just one alveolus is enough to classify a respiratory bronchiole. The wall of a respiratory bronchiole may be cuboidal epithelium . Next, locate an alveolar duct which are seen as elongate air spaces with almost no walls. An alveolar sac is composed of clusters of alveoli. Finally, the alveolus is a single sac-like air space.

CELLS

Using the oil immersion lens, focus on an alveolar wall. Observe the alveolar capillaries which are identified by erythrocytes in the lumen. Note the squamous epithelial cells that form part of the alveolar wall. These are Type I Pneumocyte cells . Also find Type II Pneumocyte cells which can be seen as cells that bulge into the alveolus. Finally, alveolar macrophages (dust cells) can be easily located in the air space of alveolar sacs.

VISCERAL PLEURA

Find this connective tissue layer at the outer margin of the lung.

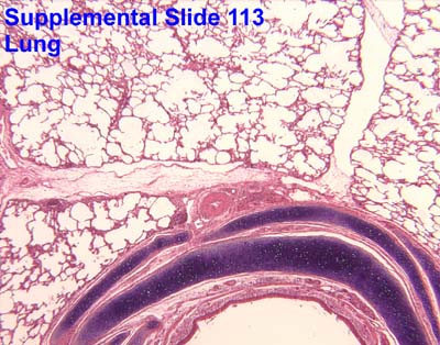
Supplemental Slide 113 Lung, porcine.

This slide illustrates all levels of the airways . Contrasted with human lung, the pig lung has more than one layer of cartilage in the bronchi and there is more lymphatic tissue associated with the airways.