Female Reproductive System

OBJECTIVES: At the end of this laboratory, you should be able to:

1. Distinguish between primordial, primary, and secondary ovarian follicles and understand the histological changes that occur during folliculogenesis.

2. Identify the cellular and acellular components of maturing and mature follicles.

3. Understand the feedback mechanisms between secretions of the theca interna cells and the cells of the anterior pituitary.

4. Identify corpora lutea and understand how hormones secreted by the granulosa lutein and theca lutein cells contribute to maintenance of reproductive cycles.

5. Identify corpora albicans and atretic follicles.

6. Distinguish between the four segments of the oviduct: fimbria, ampulla, isthmus, and intramural.

7. Identify the functional stages of the uterus and relate them to the stage of the menstrual cycle.

8. Identify the vagina and based on its histology distinguish it from the esophagus and skin.

SLIDES FOR THIS LABORATORY: 15, 16, 17, 18, 20, 21, 83, 96, 97, 98, 99.


OVARY

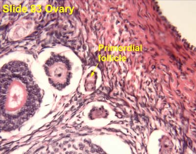
Slide 83 Ovary, active.

First note that the ovary has a cortex-medullary organization and is surrounded by a thick connective tissue capsule, the tunica albuginea. The surface of the tunica albuginea is covered with a cuboidal, germinal epithelium. This slide illustrates all the phases of follicular development. Study the changes that take place in the granulosa cells and theca folliculi as the primordial follicle undergoes various phases of growth and development.

CORTEX. Within the cortex, the primordial follicles are identified via the single layer of squamous epithelial cells surrounding the oocyte. Note that the oocyte is a large cell with a large nucleus containing a prominent nucleolus. Primary unilaminar follicles consist of an oocyte surrounded by a single layer of cuboidal follicular epithelial cells. Next, the primary multilaminar follicles are distinguished by more than one layer of cuboidal follicular (granulosa) epithelial cells surrounding the oocyte. The zona pellucida can be seen between the oocyte and the follicular cells. Finally, secondary (antral) follicles have an oocyte surrounded by multiple layers of follicular (granulosa) cells in which an antrum can be seen. The antrum is a fluid-filled space (fluid = liquor folliculi) that develops among the follicle cells; it starts as multiple small spaces that eventually coalesce into a single large antrum. At the primary follicle stage, the connective tissue around the follicle becomes organized into the theca interna (endocrine-like and produces hormones) and the theca externa (like connective tissue). The theca interna and theca externa are best demonstrated in the secondary follicle.

Be sure to identify the following structures in maturing and mature follicles:

1. Zona pellucida. Surrounds the oocyte and located between the oocyte and the follicular cells.
2. Corona radiata. The first layer of follicular (granulosa) cells outside the zona pellucida.
3. Cumulus oophorus ("egg-bearing heap"). A thickened mound of granulosa cells that surround the oocyte and projects into the antrum of secondary follicles.
4. Oocyte. Observe the nucleus and nucleolus (not always visible).
5. Antrum. The fluid filled space (liquor folliculi) of a secondary follicle.
6. Membrana granulosa. The layer of granulosa cells (follicular cells) bordering the antrum.
7. Theca interna. These cells are endocrine-like and border the membrana granulosa. They function in the production of estrogen.
8. Theca externa. Fibroblast-resembling cells just outside the theca interna. The exterior limits of the theca externa are not discernible because it blends and merges with other cells of the ovarian stroma; the beginning of this layer can be identified, however, by its proximity to the theca interna.

Graafian (mature) follicles occupy the full thickness of the cortex and bulge from the surface of ovary when near their full size. These are not present in the slide set. Atretic follicles are follicles that do not complete the maturation process and thus degenerate. They can degenerate at any stage of development and thus can be of almost any size. They can often be identified the presence of intensely eosinophilic band-like material associated with them. This material can either be the collapsed zona pellucida or the hypertrophied basement membrane (basement membrane from between the granulosa cells and the theca interna).

Slide 17 Ovary, adult.

This slide is from an adult, and therefore shows few growing follicles. There are several good examples of corpora albicans, the connective tissue scar that remains from a degenerated corpus luteum

Slide 15 Ovary, infant.

Examine the follicles in this slide and note the large number of primordial follicles present.

Slide 16 Ovary, 12-year old child

Again, find the follicles in this slide (primordial, primary, and secondary).

Slide 97 Ovary.

This slide has good examples of the corpus luteum and the corpus albicans. A corpus luteum can be very large (a centimeter in diameter) and therefore occupy nearly your whole section on the slide. Granulosa lutein cells are closest to the central connective tissue core of the corpus luteum and produce progesterone. Theca lutein cells are smaller cells than the former with dark-staining nuclei. These cells produce estrogen and are located peripherally between the folds of the granulosa lutein cells. The tunica albuginea is the thick connective tissue capsule of the ovary.


UTERINE TUBE

Slide 18 Uterine tube.

The epithelium has ciliated columnar cells or nonciliated columnar cells (also called Peg cells). Glands are absent from the uterine tube. External to the mucosa and muscularis is the serosa (visceral peritoneum)

Slide 98 Uterine tube, intrauterine.

This slide contains the intrauterine (intramural) portion of the uterine tube. It is within the wall of the uterus (look for a small simple columnar-lined tube in the "sea" of muscle of the uterine wall).

Slide 99 Fimbria and isthmus.

This slide contains the fimbria and isthmus portions of the uterine tube. Note that the finger-like projections of the fimbria appear to be part of the mucosa "turned inside out" with the epithelium exposed to the peritoneal cavity. The isthmus has less complicated mucosal folds and more muscle in the muscularis than the ampulla.

Slide 18 Ampulla.

The ampulla of the uterine tube is indicated by the complicated folding of the mucosa and small amount of muscle in the muscularis.


UTERUS

The endometrium (mucosa of the uterus) consists of simple columnar epithelium and lamina propria. Note also the thick myometrium composed of interconnecting bundles of smooth muscle arranged in four ill-defined layers. The uterus is covered by a serosa or adventitia.

Compare slides 19, 20 and 96. These slides represent different phases of the endometrial cycle. Compare the thickness of the mucosa and the shapes of the uterine glands.

Slide 19 Uterus, proliferative stage uterine endometrium.

Slide 20 Uterus, early secretory stage uterine endometrium.

Slide 96 Uterus, menstrual stage uterine endometrium.

Slide 21 Uterus, 4.5 months pregnant.

Compare with Slide 20. Note the change in organization and character of the myometrium in the pregnant uterus endometrium. You only see the remnant of the basal layer (stratum basale) in the pregnant uterus.


CERVIX & CERVICAL-VAGINAL JUNCTION

Slide 22 Cervix.

Note that the cervical glands are wide, numerous, and branching. The glands are lined by simple columnar epithelium. The cervical canal is lined also by simple columnar epithelium. This epithelium abruptly changes to nonkeratinized stratified squamous epithelium near the external os. Note on the vaginal side of the slide there is an absence of glands but many veins.


VAGINA

Slide 23 Vagina.

Note the thick, nonkeratinized stratified squamous epithelium, muscle layer, and numerous veins in the wall.