Male Reproductive System

OBJECTIVES: At the end of this lab, you should be able to:

1. Identify the seminiferous tubules of the testis and distinguish the stages of spermatogenesis.

2. Identify the Sertoli and Leydig cells and understand their functions.

3. Identify and distinguish between the tubular structures through which sperm passes from the seminiferous tubules to the penile urethra.

4. Identify the seminal vesicle and prostate gland and understand their functions.

SLIDES FOR THIS LABORATORY: 27, 28, 29, 30, 31, 32, 33, 34, 81, and Supplemental Slides 104 and 108


TESTIS

Slide 27 Testis, epididymis, vas deferens, infant.

Examine the slide w/o the microscope and note the testis, head of epididymis and vas deferens. With low power objective identify the thick dense regular connective tissue capsule surrounding the testis; this is the tunica albuginea . With higher power note that it is covered by mesothelium , the visceral layer of the processus vaginalis. Identify the area of the mediastinum (thickened part of the tunica albuginea) which contains the rete testis (not well preserved in this slide). Note also the muscular vas deferens and the head of the epididymis on this slide. This testis is from an infant so the seminiferous tubules are not well developed.


SEMINIFEROUS TUBULES

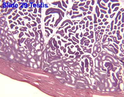
Slide 29 Testis, adult.

Note the highly coiled structure of the seminiferous tubules seen in cross section. The cell-type population varies from tubule to tubule depending in the stage of the spermatogenic cycle. The endocrine testis consists of the Leydig cells which are found in clusters within the interstitial tissue between seminiferous tubules. The exocrine testis consists of two cell types: the Sertoli cell and the germ cells.

Identify the following germ cell types within the seminiferous tubules:

1. Spermatogonia (most numerous cell type, adjacent to the basement membrane)

2. Spermatocyte (twice the size of the spermatogonia, in two rows above spermatogonia)

3. Spermatid (small cells adjoining the lumen, can be early or late)

Supplemental Slide 104 Testis, monkey.

Again, observe the seminiferous tubules , Leydig cells , Sertoli cells , and germ cells .

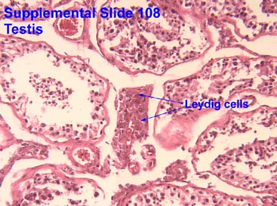
Supplemental Slide 108 Testis, human.

Use this slide to find Leydig cells in the connective tissue between seminiferous tubules. They are usually in clusters, their cytoplasm is eosinophilic, and they have the appearance of other steroid producing endocrine cells. These cells manufacture testosterone.


RETE TESTIS

Slide 28 Testis, adult.

Examine the rete testis in the mediastinum. The rete are communicating channels between the straight tubules and efferent tubules (ductules). They are lined by simple cuboidal epithelium . No smooth muscle is present in this region.


EPIDIDYMIS & EFFERENT DUCTULES

Slide 30 Epididymis, efferent ducts, monkey.

The efferent ductules have epithelia of variable height. The epididymal epithelium (pseudostratified columnar with stereocilia) is regular in height so that the luminal margin is even. Remember, this is a single tortuous duct. It has a thin layer of smooth muscle surrounding it.


DUCTUS DEFERENS & SPERMATIC CORD

Slide 31 Vas deferens.

The vas deferens (ductas deferens) has a thick muscular wall and a narrow star-shaped lumen. You should note that the smooth muscle is arranged in 3 layers ; inner and outer longitudinal and middle circular. The lining epithelium is pseudostratified columnar epithelium .

Slide 81 Spermatic cord.

In the spermatic cord, there are bundles of nerve fibers , skeletal muscle , adipose tissue and blood vessels . Note the numerous veins (filled with blood) are atypical in that they resemble arteries and have (2) layers of smooth muscle. This is part of the pampiniform plexus of veins.


SEMINAL VESICLES

Slide 32 Seminal vesicle.

Note the foldings of the mucosa, the epithelium which can be a mixture of pseudostratified columnar, or simple columnar, and the muscularis (an ill-defined inner circular and an outer longitudinal muscle coat). Under low power there are apparently isolated profiles of seminal vesicle epithelium which represent sections through an elongated sac which is folded upon itself.


PROSTATE

Slide 33 Prostate and prostatic urethra.

Note the prostatic glandular tissue with simple columnar to pseudostratified glandular epithelium . Note the stroma that surrounds the glands, it is described as fibromuscular because it contains smooth muscle mixed with the connective tissue. Lamellated prostatic concretions ( corpora amylacea ) are sometimes seen in the lumen of the glands.


PENIS

Slide 34 Penis and penile urethra.

Look at this slide grossly and at the microscope level. Observe the paired corpora cavernosa of the penis and corpus spongiosum surrounding the penile urethra . In these structures there are numerous blood-filled venous spaces surrounded by connective tissue and slips of smooth muscle; this is erectile tissue . The corpora cavernosa are surrounded by dense collagenous connective tissue; the tunica albuginea . Observe the helicine vessels . Note also the penile urethra lined by pseudostratified columnar epithelium.