Upper Gastrointestinal Tract

OBJECTIVES: At the end of this laboratory, you should be able to:

1. Distinguish between the three major salivary glands based on the composition of glandular epithelium.

2. Identify the different papillae located on the tongue.

3. Identify and describe the regional differences in the upper GI tract and correlate structure with function.

SLIDES FOR THIS LABORATORY: 45, 46, 47, 49, 50, 51, 63, 85, 86, 87, 95, 100, and Supplemental Slides 114, 126


SALIVARY GLANDS

The three major salivary glands are the parotid, submaxillary (submandibular) and sublingual. The major salivary glands secrete via a duct system composed of three serially arranged components: intercalated ducts, striated (intralobular) ducts, and interlobular (excretory) ducts. In addition, there are numerous serous and mucous minor salivary glands located in the oral mucosa and submucosa of the oral cavity (buccal, labial, hard palate, soft palate) and the tongue. You will be referred to these minor salivary glands when you are directed to examine the slide of the lip, tongue, and hard palate.

Slide 87 Parotid Gland.

This slide represents a typical adult parotid gland. The parotid is a purely serous gland. Note the serous acini and their secretory zymogen granules . Locate the numerous intercalated ducts which lead from the acini and are composed of low cuboidal epithelium. Also find the striated ducts composed of cuboidal to columnar cells. Finally, observe the interlobular ducts (excretory) that run in the connective tissue septa of the gland and are composed of cuboidal to pseudostratified epithelium.

Slide 47 Submaxillary gland, Verhoeff's Hematoxylin, mucicarmine & methyl green.

This gland is a compound tubuloacinar gland containing both mucous and serous elements (mostly serous). In this slide, the mucous acini are stained faintly pink and covered with serous demilunes . Again, locate intercalated ducts , striated ducts , and interlobular ducts (excretory). Elastic fibers are demonstrated in this slide as black fibers.

Slide 85 Submaxillary gland.

Again, study the important features of the submaxillary gland: mucous and serous acini , intercalated ducts , striated ducts , and interlobular ducts .

Slide 46 Sublingual gland, Verhoeff's Hematoxylin, mucicarmine & methyl green.

The sublingual gland is a mixed serous and mucous gland composed of mostly mucous acini. Serous demilunes are also present on the mucous acini . Here the mucous acini are stained acidophilic and the few serous acini are stained green (mostly present as serous demilunes). The ducts are intensely stained with the methyl green. Note the presence of plasma cells and lymphocytes in the connective tissue interstitium of the gland.

Slide 86 Sublingual gland, Verhoeff's Hematoxylin & Eosin.

Again locate the mucous and serous acini of the sublingual gland. Also locate intercalated , striated , and interlobular ducts .


ORAL CAVITY

Slide 95 Lip.

Note the skin of the face , the red margin of the lip, and the oral mucosa surfaces of this slide. The skin of the face is a keratinized stratified squamous epithelium with hair follicles, while red margin of the lip lacks hair follicles or glandular tissue. The oral mucosa is nonkeratinzed stratified squamous epithelium with the labial minor salivary glands present beneath the epithelium. Observe the acini of these seromucous glands. Note the transition between the red margin and oral mucosa.

Supplemental Slide 126 Tongue.

This slide is representative of the posterior region of the tongue. The epithelium of the dorsal tongue is a stratified squamous keratinized epithelium . Note the cornified layer of cells may have been lost in preparation of this slide. Remember, most of the dorsal tongue is covered with papillae, of which there are four principal kinds: Filiform, Fungiform, Circumvallate, and Foliate papillae.

The posterior region is where the circumvallate papillae are located and these are present in this slide. Observe the minor salivary glands of the lamina propria and submucosa (continuous in the tongue). Von Ebner's glands are specialized minor serous salivary glands that drain into the trench around the circumvallate papillae. Taste buds are embedded within the epithelium of fungiform, foliate, and circumvallate papillae. In this slide, look for taste buds on the lateral walls of the circumvallate papillae. Note the skeletal muscle and its relationship to the glands.

Slide 63 Tongue.

This slide demonstrates filiform papillae mainly and skeletal muscle .


UPPER SEGMENT GI TRACT PROPER: ESOPHAGUS & STOMACH

In studying the tubular organs of the GI tract, remember the general organization of the wall of these organs consists of four layers: the mucosa (with epithelium, lamina propria, and muscularis mucosae), the submucosa, the muscularis externa, and the adventitia (or serosa). To help identify these organs, pay attention to these key features on each slide: (1) the type of epithelium present, (2) the presence of glands, what type and their location, i.e. whether they are present in the mucosa or submucosa (3) the composition of the connective tissue elements and (4) the orientation and type of muscle present and its thickness in the muscularis externa. Distinguishing between the different regions of the upper and lower G. I. tract depends on your knowledge and observation of the differences that exist between segments in the four above mentioned features.

 

Slide 49 Esophagus.

Rely on the type of muscle in the muscularis externa to determine what region (upper, middle, lower) of the esophagus is represented on this slide. Identify the mucosa (epithelium, lamina propria, and muscularis mucosa), submucosa , esophageal glands , muscularis externa and adventitia . Note the presence of small arteries and veins in the adventitia on this slide. The larger of the veins are known as esophageal veins which may enlarge in the case of cirrhosis of the liver to provide an alternate pathway for blood to be transported from the intestines to the vena cava. Observe the presence of the myenteric (Auerbach's plexus) in between the inner circular and outer longitudinal layers of the muscularis externa.

Slide 100 Esophageal-stomach junction.

The junction of the esophagus with the stomach is an abrupt transition from nonkeratinized stratified squamous epithelium to simple columnar epithelium. Find the junction and observe the mucosa on either side. The cardiac portion of the stomach on this slide is a good representation of the cardiac glands of the stomach. Remember the cardiac glands secrete mucous and are irregular tubes seen in cross section below the gastric pits .

Slide 50 Fundic stomach.

The most characteristic feature of the fundic region of the stomach is the presence of fundic glands which contain parietal and chief cells , as well as mucous neck cells . Examine the fundic glands and observe the surface epithelium , gastric pits , neck , and base regions of the glands. Recall that the same type of glands are also found in the body region of the stomach. Fundic glands are straight long, tubular glands with shallow pits. The greatest density of chief cells is in the basal region of each gland. Thus, the lower base region appears more basophilic than the neck and upper base region. The parietal cells are slightly eosinophilic. Observe the mucosa , muscularis mucosae , submucosa , muscularis externa , and serosa . Also study the submucosal and myenteric plexi of nerves and ganglia.

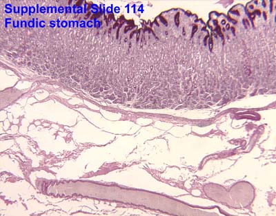
Supplemental Slide 114 Stomach, Fundus, PAS and Hematoxylin.

This section demonstrates the mucopolysaccharide laden surface lining of epithelial cells of the stomach.

Slide 51 Pyloric stomach.

Pyloric stomach can be identified by its deep pits and coiled pyloric glands which are composed of predominantly mucous acinar cells . The lamina propria is heavily infiltrated with immune cells such as lymphocytes and plasma cells. Examine the mucosa , submucosa , muscularis mucosae , muscularis externa , and serosa . You can observe in this section that the most dominant layer of the muscularis externa is the circular layer which forms the pyloric sphincter.