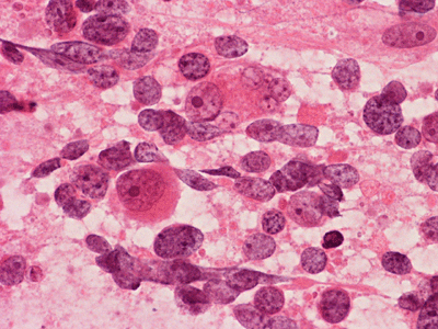
This is a proved case of large cell medulloblastoma but as you can see there are many overlap with AT/RT including cells that look like rhabdoid cells. The clue is the other cells lack a distinct nucleoli and looks like regular medulloblastoma.