
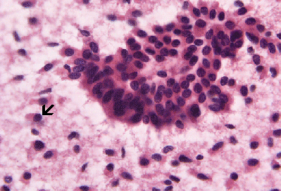
Choroid plexus papilloma: In comparison to ependymal cells and ependymoma, choroid plexus and choroid plexus papilloma have well developed basement membrane as you can see here in the lower figure. Scattered single cells (arrow) also appears like epithelial cells.