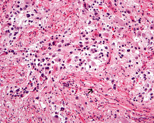
Desmoplastic infantile ganglioma: The collagenous fibers are highlighted by the arrow.

 

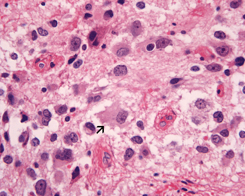
Desmoplastic infantile ganglioma: Ganglionic cells are highlighted by the arrow.