Þ

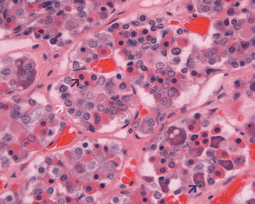
Normal anterior gland: Note the nested structure. Eosinopils are highlighted by the red arrow, chromophobes are highlighted by the white arrow, and basophils are highlighted by the blue arrow.