
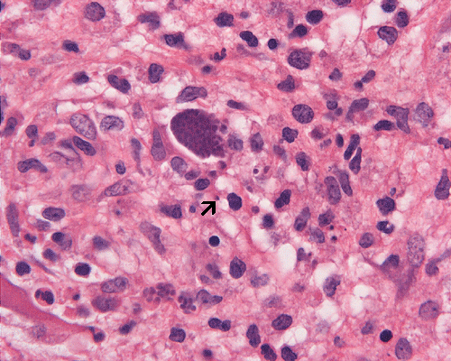
Toxoplasma cyst, HE stain: Note the cyst is large and looks like a ball of densely packed beads. Note the bradyzoites (arrow).

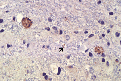
Toxoplasma cyst, immunohistochenistry: Although the cysts can be easily identified by hematoxylin and eosin stain, immunohistochemisty is very helpful in confirming the identity and the bradyzoites (arrow).