
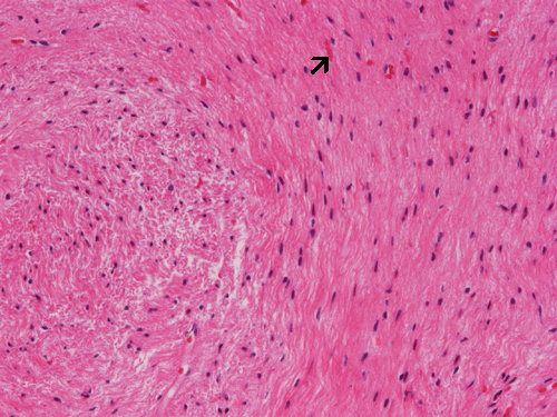
Reactive gliosis: This image was obtained from an area with reactive gliosis around the cystic component of a craniopharyngioma. Note that there is no atypia or pleomorphism in the reactive astrocytes and there are also Rosenthal fibers (arrow). Without a clinical suspicion or knowledge of clilnical information, this histopathologic picture may suggest pilocytic astrocytoma on frozen sections or small biopsies where the craniopharyngioma component is not present.