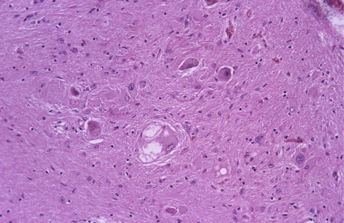
Olivary hypertrophy, HE stain: Note the enlarged, bizarre, and vacuolated neruons.

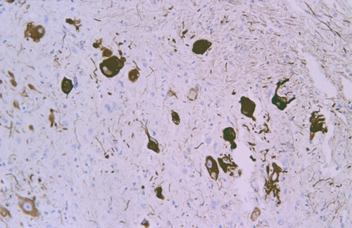
Olivary hypertrophy, immunohistochemistry for neurofilament proteins: Neurons are highlighted. Note the cytoplasmic vacuoles in neurons.

Olivary hypertrophy, immunohistochemistry for glial fibrillary acidic protein (GFAP): Note that extensive gliosis is present.