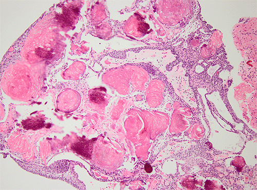
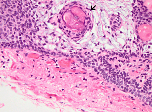
Craniopharyngioma, HE: Low and high magnification of an adamantinomatous type of cranipharyngioma. Note the presence of microscyst formation, wet keratin pearls (arrow) and the stellate cells around the keratin pearls.