
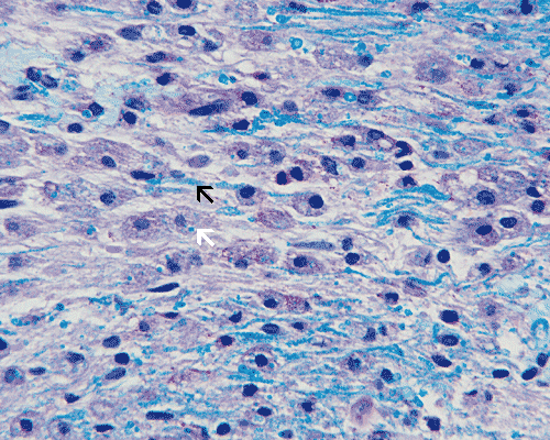
Demyelinating process, luxol fast blue-PAS: Note that the residual myelin (black arrow) is stained blue and the macrophages contains red granules due to the positive reactivity of lysomal content to the PAS stain. Note that occasional residual myelin engulfed by the foamy macrophages can be demonstrated with this stain (white arrow).
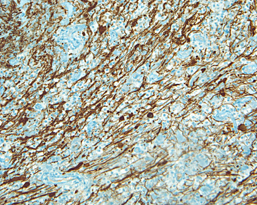
Demyelinating process, immunohistochemistry for neurofilament proteins: This section is taken from a similar area where the image with luxol fast blue-PAS stain is taken. Note the relative preservation of axons. The number of axons far outnumbered the number of fibers with residual myelin. Demonstration of relative preservation of axons is needed when demyelinating disorders are diagnosed.