Bielschowsky silver stain. The arrows point to the Pick's body

Immunohistochemistry for tau.

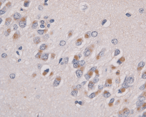
Immunohistochemistry for ubiquitin.