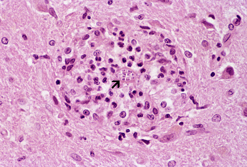
Coccidioidomycosis, HE stain: The fungal organism appears as a cyst with many small organisms inside (arrow). The lesion is surrounded by inflammatory cells.