
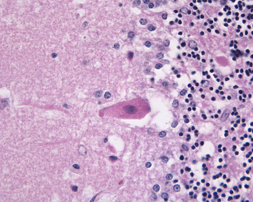
Purkinje neuron with ischemic changes, HE stain: Note the cytoplasmic eosinophilia, loss of nuclear detail and shrinkage in nuclear size, and elongated or "flame-shaped" contour.

Purkinje neuron without ischemic changes: Note that the Nissl substance can be (vaguely) seen, preservation of nuclear details and size, and no contracted contour.