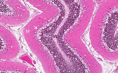
Canavan disease, HE stain: Note the impressive spongiotic gap between the molecular layer (M) and the internal granule layer (IGC). Purkinje cells are highlighted by the arrow and the white matter is labeled with "W".