Department of Pathology, University of Oklahoma Health Sciences Center
Medulloepithelioma (WHO Grade IV/IV)
Click
on thumbnails to see enlarged pictures.
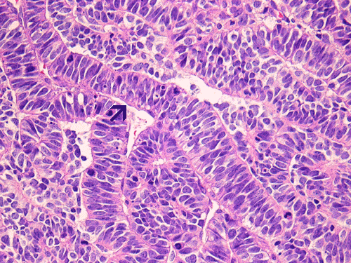
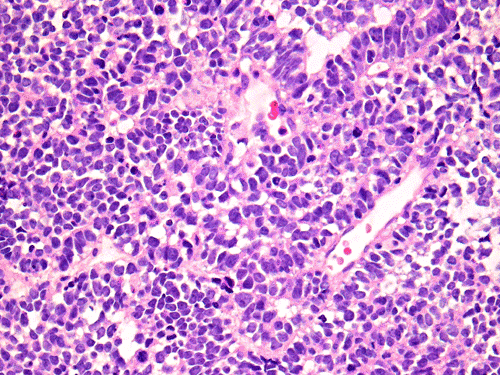
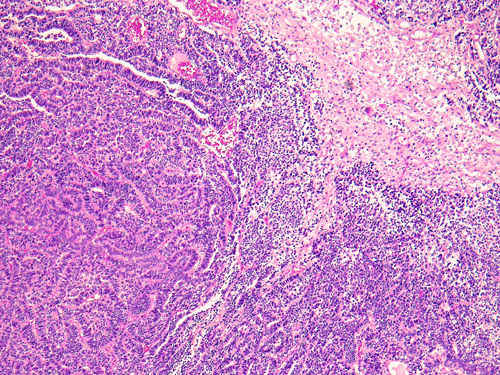
Panel A (low-magnification), B and C (high-magnification) are obtained from the same tumor.
Panel A: The tumor cells arrange in trabeculae and layers resembling carcinoma cells. Some solidly packed sheets of tumor cells are also present.
Panel B: This picture shows the transition between cells in solid sheet arrangement and trabecular arrangement.
Panel C: Many of the tumor cells arrange in a trabecular arrangement with a basement membrane (arrow). This arrangement is reminiscent of the earliest stage (neuroepithelium) of the development of the central nervous system.
Case material courtesy of Dr. Gregory Fuller, University of Texas M.D. Anderson Cancer Center.
For Comment: KarMing-Fung@ouhsc.edu