Case No.: A-002  Quiz 

Diagnosis: Diverticulum

Organ: Colon

Last Updated: 08/21/2010

 

Online Slide/Full Screen/Open with ImageScope

Hematoxylin & eosin

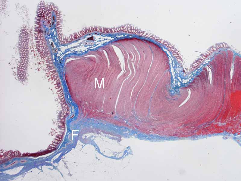
Area 1: This photo is taken at the junction where the diverticulum herniate through the muscle (M). The mechanical support for the flask-shaped structure is only supported by a thin layer of fibrous tissue (F). Note that no inflammatory changes is present in this diverticulum.

History: The patient was a 67 year-old man who had surgery for sigmoid colon cancer. The image being shown here was an  incidental finding of the excised colon.

 

Gross Histologic Highlights of this Case: 

  • A diverticulum is a herniation of mucosa through the muscle which would appears as small mucosal pouches about a few millimeters in diameter. The condition of having diverticulum in colon is termed diverticulosis. Other than the known risks such as low fiber diet and constipation, connective tissue disorders that may cause weakness in the colon wall (such as Marfan syndrome) also increases the risk for diverticulosis.

  • Mutliple diverticula are often present and they are most commonly found in sigmoid colon.

  • Even with adequate preoperative preparation, it is not uncommon to find entrapped fecal material in these herniated pouches. For the same reason, they can be infected and inflammed and it will be termed diverticulitis. The inflammed diverticulum may rupture and lead to peritoneal infection. Note the adipose tissue on this slide.

Histopathology: 

  • This is a classic image of diverticulum. Note that the diverticulum (div.) is a flask-shaped herniation that herniates through the muscularis propria (muscle) and that it is only rimmed by a thin layer of fibrous tissue. With this architecture in mind, it is not difficult to imagine why diverticulum are prone to have entrapped fecal material which and rupture when it is inflammed.

Bonus Images:

Hematoxylin & eosin

Area 1: This is a Masson' Trichrome stain which stains muscle red and fibrous tissue blue. The relationship between the muscle, the fibrous tissue, and the diverticulum is clearly illustrated here.

Original slide is contributed by Dr. Kar-Ming Fung, University of Oklahoma Health Sciences Center, Oklahoma, U.S.A.

 Home Page