Case No.: A-003

Diagnosis: Invasive ductal carcinoma

Organ: Pancreas

Last Updated: 12/21/2010

 

Online Slide/Full Screen/Open with ImageScope

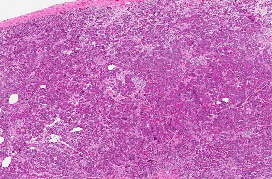
A: Adipose tissue,   P: Residual Pancreas

Gross Pathology and CT: The tumor is 1.9 cm in diameter and is relatively well demarcated from the surrounding pancreatic tissue as illustrated here (arrows). It has a lobulated, fibrous cut surface. No gross necrosis or hemorrhage is noted. This relatively well defined mass is reflected in the CT scan. In contrast to most pancreatic tumor, the residual parenchyma of this case is not affected by chronic pancreatitis.

Hematoxylin & eosin

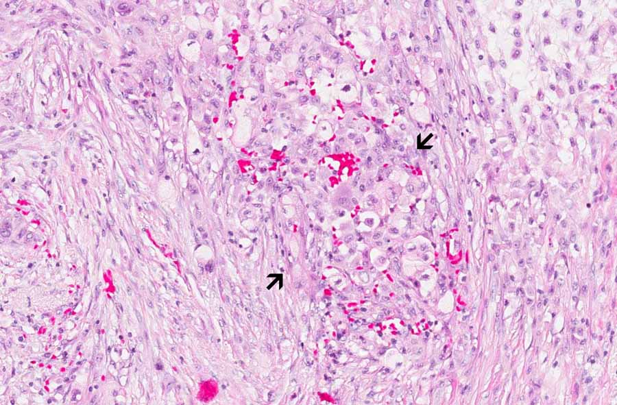
Area 1: The background is very fibrotic and is infiltrated by clusters of neoplastic epithelial cells (adenocarcinoma cells) (arrows). Note that these cells have enlarged nuclei, variation in nuclear size and shpae, and do not have the normal architecture of the normal pancreatic ducts.

Hematoxylin & eosin

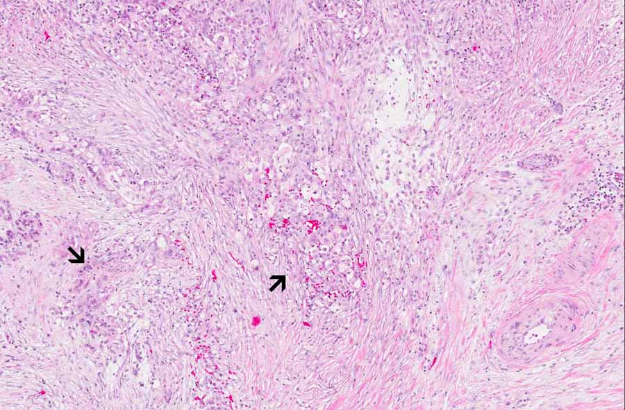
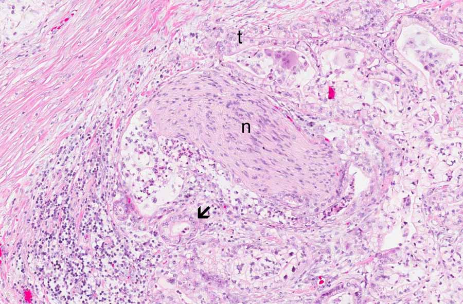
Area 2: The nerve (n) is surrounded and infiltrated by the tumor cells (t). Note that some of the neoplastic cells have lumen formation and this is a genuine feature of adenocarcinoma (arrow). Perineural invasion is a common finding in invasive ductal carcinoma of the pancreas. Note that the tumor cells are mucin producing.

Hematoxylin & eosin

Area 3: There are large glands with hyperplastic changes and clouding of the epithelial cells accompanied by mild atypia. The level of atypia and architectural changes in these glands are most consistent with pancreatic intraepithelial neoplasm IB (PanIN IB).

Hematoxylin & eosin

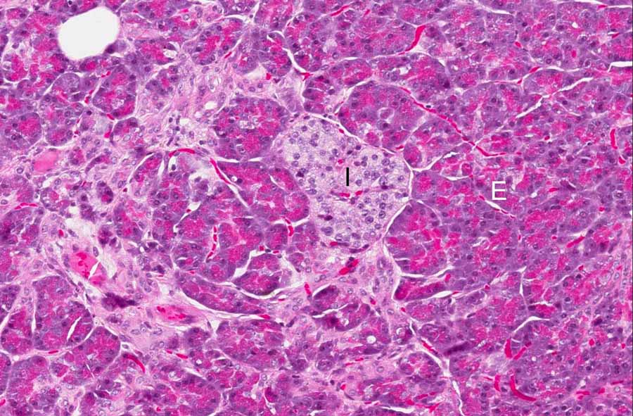
Area 4: This image is taken at the residual normal pancreatic parenchyma at the rim of the tumor. Note exocrine component (E) and the islets of Langerhans (I).

Hematoxylin & eosin

Area 5: Many islets of Langerhans (I) can be found in the fibrotic background. Islets of Langerhans. Islets of Langerhans has a tendency to be preserved within the fibrotic background in pancreatic lesions. They should not be mistaken as tumor cells.

History: The patient was a 75 year-old woman who was presented for sonographic examination of the abdominal for gallstones. A hypoechoic lesion was noted in the pancreas and was later confirmed by CT scan as illustrated in the image here (arrow). As the tumor was in the body of the pancreas, the distal part of the pancreas together with the spleen was excised (distal pancreatectomy) and generated the current specimen.

 

Histologic Highlights of this Case:

  • The tumor is quite well demarcated and is rimmed by adipose tissue (A) and residual pancreatic tissue (P).

  • The tumor is composed of clusters of neoplastic glandular cells in a background of fibrosis (Area 1). The invading cells varies from small clusters to single cell invasion. The level of differentiation is well to moderate. Mucin formation is common in among the neoplastic cells. These cells are invasive because they do not respect the boundary and invade into the fibrous stroma.

  • Perineural invasion (Area 2) is quite common in this case. You can see that the peripheral nerve is entirely surrounded by carcinoma cells.

  • In other areas (Area 3), there are enlarged glands with proliferation of the epithelium and mild nuclear atypia. These glands are best interpreted as pancreatic intraepithelial neoplasm PanIN IB (IB). The atypical changes, the level of crowding, and architecture are not high enough for higher grades of PanIN.

  • Residual pancreatic tissue with islets and exocrine glands can be recognized at the rim of the tumor (Area 4).

  • The blue ink represent the inked external resection surface (margin) of the specimen.

Bonus Images:

A endoscopic fine needle aspiration of the lesion was performed and yielded the following images.

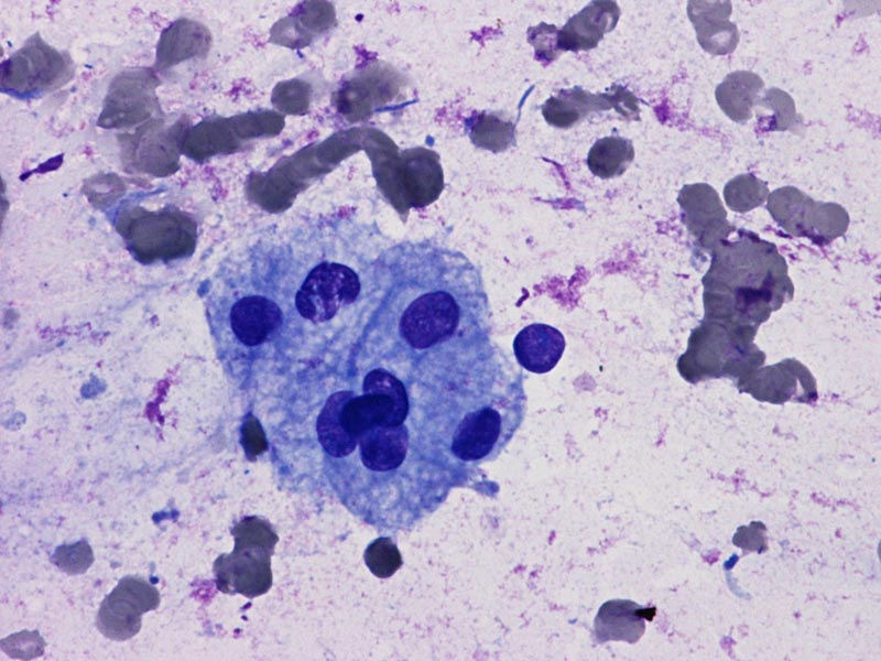
DiffQuick

Area 1: Carcinoma cells tend to cluster together as illustrated here in this FNA smear. Note that the cytoplasm is rather bubbly appearing due to the mucin content.

DiffQuick

Area 2: This tumor is mucin producing. You can see the mucin on this FNA smear (m).

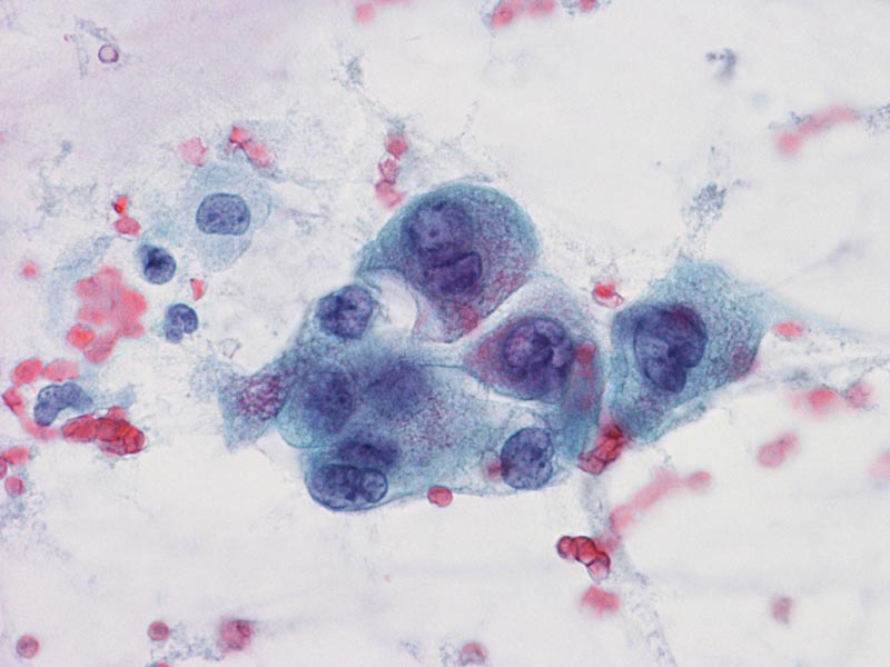
Pap Stain

Area 3: Nuclear pleomorphism featued by variation in size and shape is well illustrated in this FNA smear. Again, the cytoplasm is bubbly appearing indicating mucin production.

Hematoxylin & eosin

Area 4: This is an image prepared by sectioning the material obtained at FNA (cell block). Note that the bluish cytoplasmic content corresponds to mucin.

Original slide is contributed by Dr. Kar-Ming Fung, University of Oklahoma Health Sciences Center, Oklahoma, U.S.A.

 Home Page