Case No.: A-005

Diagnosis: Whipple disease

Organ: Duodenum

Last Updated: 12/21/2010

 
Online Slide
Full Screen
Open with ImageScope

History: The patient was a 45 year-old man with weight loss, worsening joint pains, fever, and night time sweats. Blood culture, urine culture, and PPD test were negative. An abdominal x-ray showed non-specific mesenteric lymphadenopathy. A biopsy of the upper gastrointestinal tract was performed. The current biopsy was obtained from the duodenum.

 

Histologic Highlights of this Case:

  • The lamina propria is filled by foamy histiocytes which expands and blunt the villi (area 1). Note that the foamy histiocytes are not accompanied by significant acute or chronic inflammation.

  • Brunner's gland are present in this specimen and helps to identify it as duodenum (area 2).

  • The foamy histiocytes are strongly positive for periodic acid Schiff (PAS) stain and they are diastase resistant. No acid fast bacilly or fungal organisms are demonstrated by acid fast stain or Gomori's methanamine silver (GMS) stain.

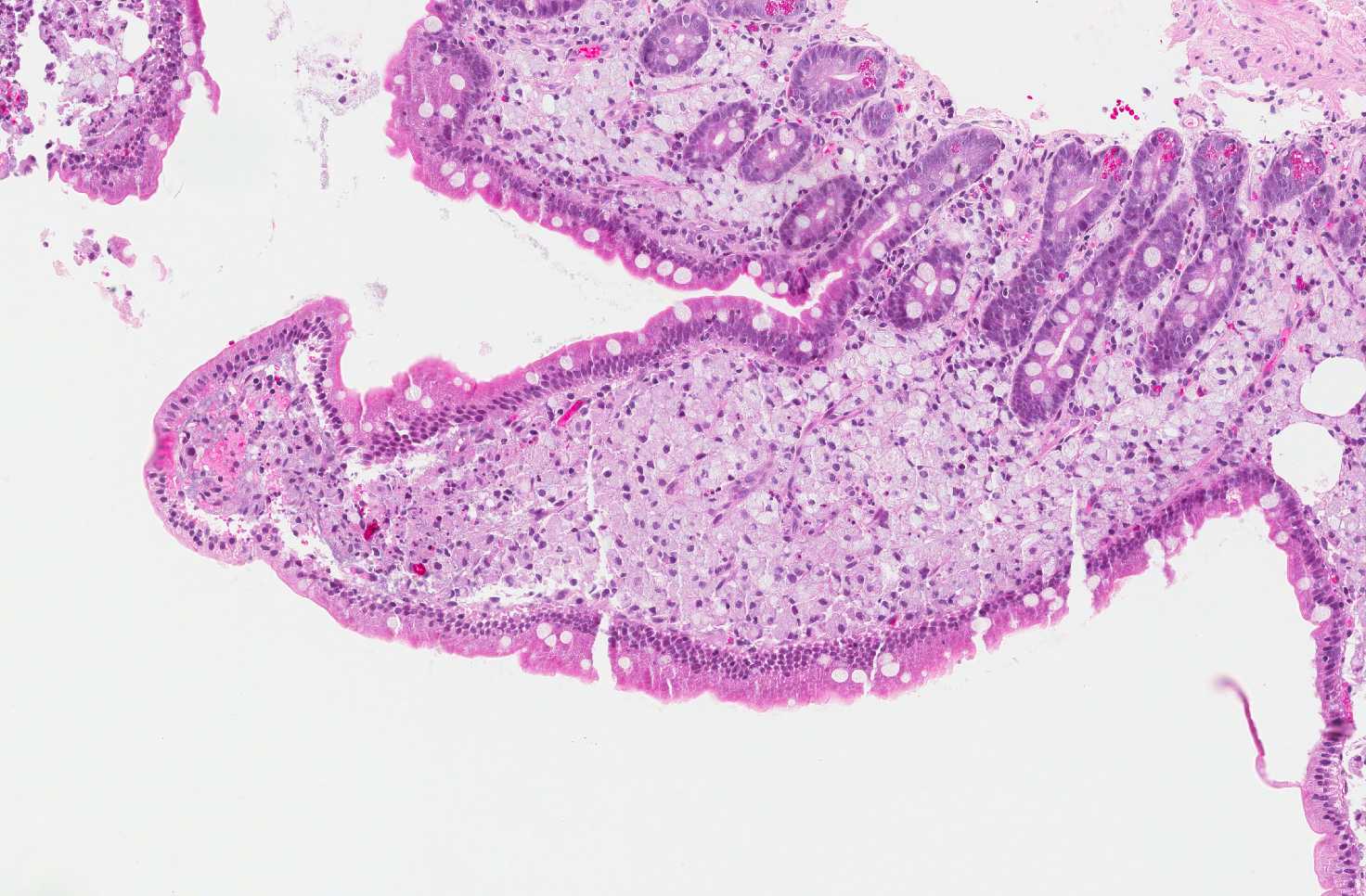
Hematoxylin & eosin

Area 1: The subepithelial regions of the villi are entirely replaced by foamy histiocytes. Note that the macrophages have foamy cytoplasm, distinct cell border, and rather monotonous, round, and roughly centrally located nuclei. The villi are expaned and blunted by the foamy histiocytes.

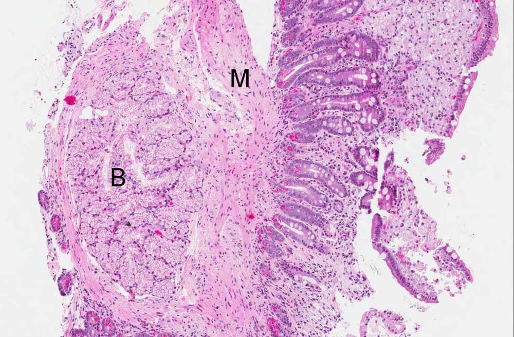
Hematoxylin & eosin

Area 2 (Brunner's gland): You can find Brunner's gland (B) under the muscularis mucosa (M) in this specimen which is a diagnostic feature of duodenum.
Further Information:
  • Whipple disease typically affect middle-aged men with malabsorption as the gastrointestinal manifestations. Patients often have rthritis, chronic weight loss, lymphoadenopathy, and neuropsychiatric manifestations.
  • The small intestine is most frequently affected but esophagus, stomach, and colon can also be involved.
  • Endoscopically, mucosal folds are thickened and with yellow-white plaques which reflects the histologic changes of foamy histiocytes (yellow-white in color), thickening of villi and expanded lamina propria (thickened mucosa fold). Involvement may be diffuse or patchy.
  •  Whipple disease is rresulted from an actinobacterium, Tropheryma whippelii, which is cultivation-resistant. These organisms are strongly positive for periodic acid Schiff (PAS) and they are diastase resistant. The foamy histiocytes are fully filled by these bacteria. Their presence can also be demonstrated by electron microscopy and polymerase chain reaction (PCR).

Bonus Images:

Hematoxylin & eosin

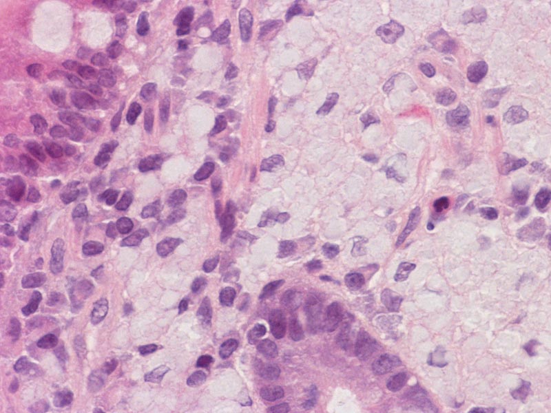
High magnification: The foamy histiocytes are well shown here. Although this histologic picture could remotely resemble signet ring cell carcinoma, there is no true signet ring cells, no fibrosis around tumor cells, and the content is creamy white and foamy rather than bluish mucin as in signet ring cell carcinoma. In addition, the duodenum is also an uncommon site for primary carcinoma.

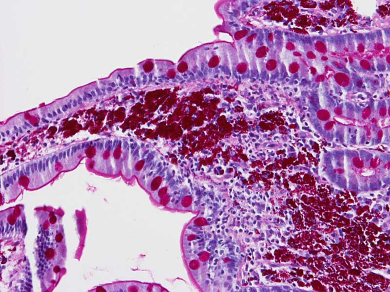
PAS

Periodic acid Schiff (PAS) stain: The microorganisms are strongly positive for PAS (purple-red).

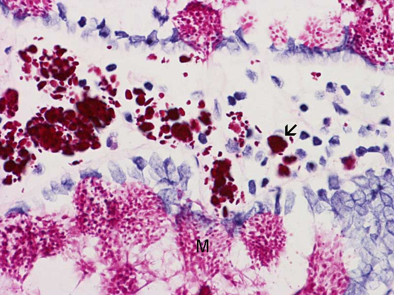
PAS with diastase

Periodic acid Schiff (PAS) stain with diastase digestion: Glycogen is also PAS positive but they can be digested away by diastase. In this prepartion, the section is first digested with diastase before the PAS stain. The purple-red positive staining material (arrow) persists indicating that the positive substances are not glycogen. Note that the mucin of the epithelial cells are also PAS positive and diastase resistant (M).

Original slide is contributed by Dr. Kar-Ming Fung, University of Oklahoma Health Sciences Center, Oklahoma, U.S.A.

 Home Page