Case No.: A-006

Diagnosis: Barrett's esophagus

Organ: Esophagus

Last Updated: 1/21/2011

 

Online Slide/Full Screen/Open with ImageScope

Hematoxylin & eosin

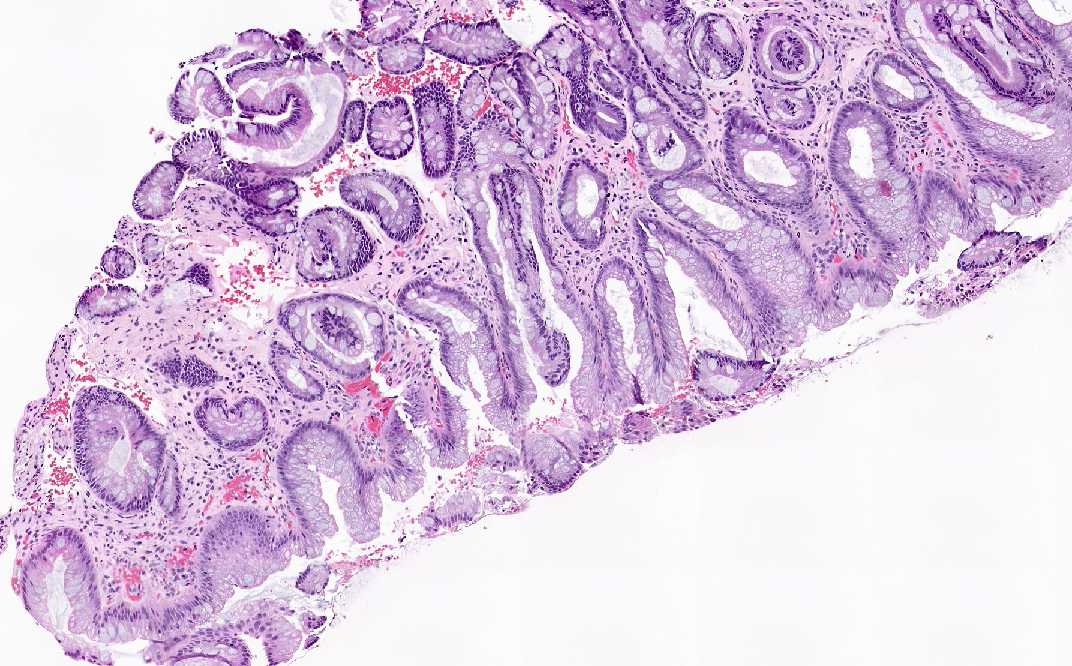
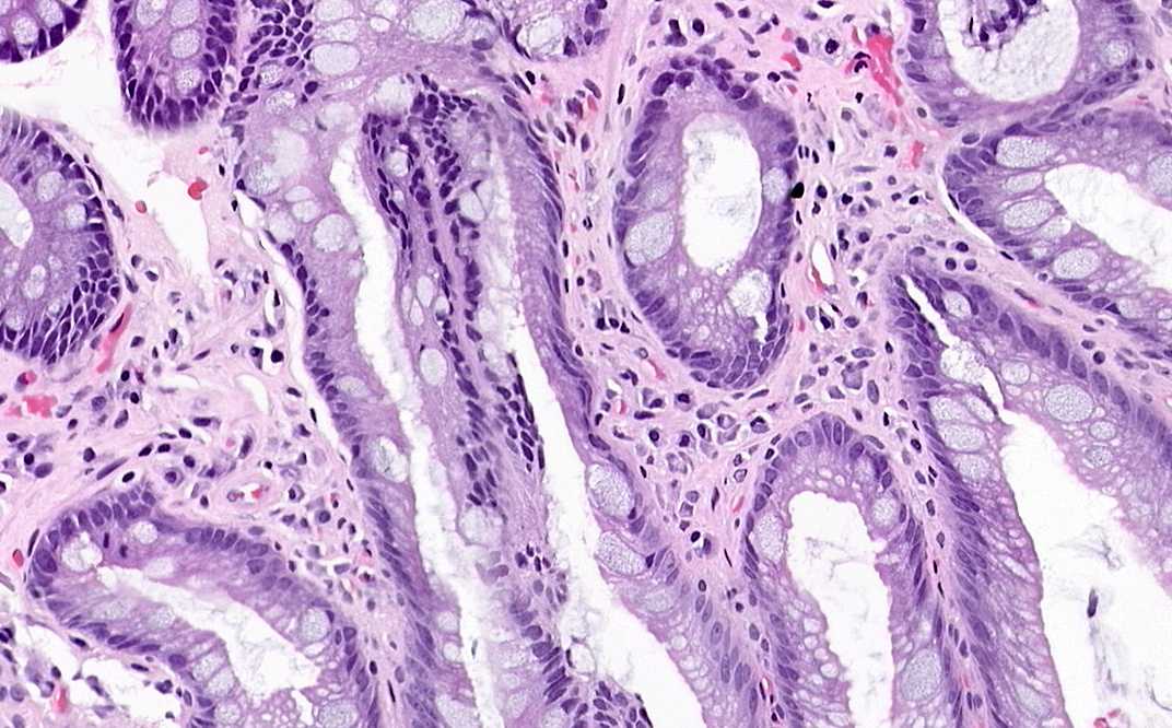
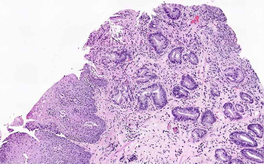
Area 1: The squamous epithelium (S) is histologically different from the columnar epitheliums which has gland formation. On higher magnifications, you can see the goblet cells (arrow) in the specialized columnar metaplastic epithelium.
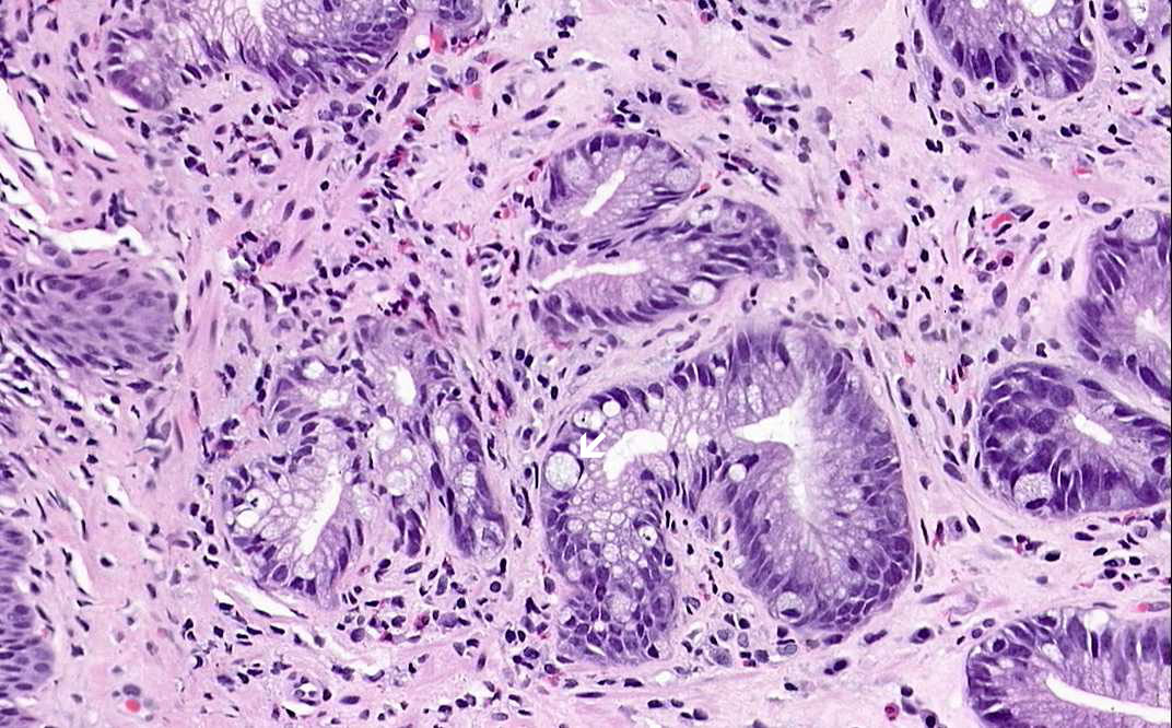
Area 2: This fragment is composed exclusively composed of specialized metaplastic epithelium. Goblet cells are a lot more common.

History: This slide is obtained from the archive and the history was not known. However, patients with this type of pathologic changes typically complain of heart burn and/or have gastroesophageal reflux disease (GERD). It is more common in men than women. The specimens being shown here is obtained by endoscopic biopsy.

 

Histologic Highlights of this Case:

  • The specimen is an endoscopic biopsy and contains 4 fragments of tissue. In one of the fragments (Area 1), there is both squamous epithelium and columnar epithelium. The squamous epithelium indicated that this is obtained from the esophagus or gastroesophageal (GE) junction. The presence of columnar epithelium, however, does not necessarily mean that the biopsy is obtained at the GE junction because metaplastic columnar epithelium can be found in areas higher than the GE junction. Usually, the endoscopist will specify the location where the biopsy is taken (expressed in cm distal to the incisors).

  • There are two types of metaplastic epithelium. The gastric type have histologic features similar to the stomach. The other is the colonic (intestinal) type that contains mucin containing goblet cells. This type is associated with increase risk of malignancy. The metaplastic changes often but not always contain both types. The identification of genuine goblet cells is necessary for a diagnosis of Barrett's esophagus (specialized columnar epithelium). Identification of goblet cells is therefore an important task.

  • Dysplastic changes from mild to severe can be seen in Barrett's esophagus and it is very important for the pathologist to report these changes in the reports.

Additional Information:

  • The mucin in goblet cells can be demonstrated by Alcian blue at pH 2.5. Immunohistochemical staining for Cdx2 (specific for mid and hind gut derivatives) can and villin (an actin-binding protein expressed at the brush border of intestinal mucosa) are expressed in Barrett's esophagus and are helpful in making diagnosis. Cytokeratin 7 is expressed in most if not all Barrett's esophagus but its expression can sometime be seen in gastric epithelium.

References:

Original slide is contributed by Frank Mitros MD, Department of Pathology, University of Iowa (Iowa Image Collection).

 Home Page