Case No.: A-007

Diagnosis: Herpes esophagitis

Organ: Esophagus

Last Updated: 1/21/2011

 

Online Slide/Full Screen/Open with ImageScope

 

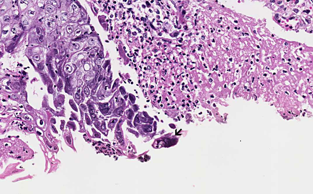
Hematoxylin & eosin

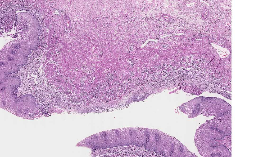
Area 1: Note that the ulcer is rimmed by intact mucosa. The ulcer is covered by a thin layer of fibrinous exudate with underlying granulation (contains a good number of neovascularization) associated with acute and chronic inflammation. Characteristically, the 3M cells (arrow) are noted in the squamous epithelium at the edge of the ulcer. It is, therefore, important to biopsy the edge of the ulcers.

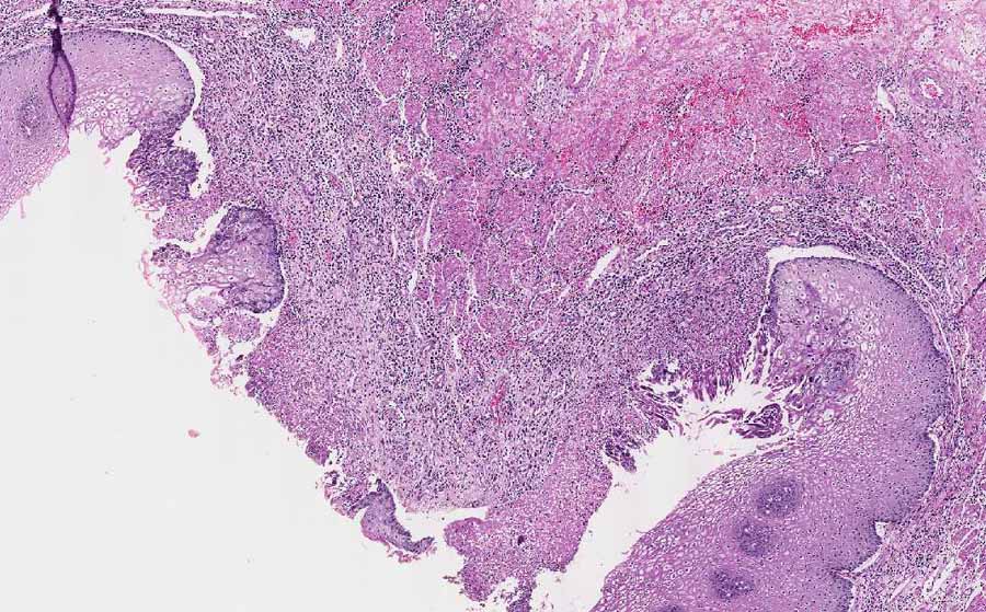
Hematoxylin & eosin

Area 2: The features are similar to that of Area 1 except that the 3M cells are more easily seen.

History:  The history of this case was not know as it was taken from the archival material. However, patients typically present with odynophagia and dysphagia. It is most often associated with immunocomprised conditions such as AIDS, recipients of solid organ transplantation, and post-chemotherapy treatment. It can, however, also occur occasionally in immune competent patients.

 

Clinical and Endoscopic Findings:

  • Herpetiform lesions can be seen in the mouth and lips in some cases. Endoscopically, the esophagus has multiple ulcers with intervening normal appearing mucosa. These ulcers can coalesce and give a black color in severe cases (black esophagus).

Histologic Highlights of this Case:

  • This is a resection specimen which shows several characteristic features of esophagitis caused by herpes simplex virus (herpes eesophagitis). First there are multiple ulcers (Area 1 and 2) with intervening intact mucosa (arrow). The ulcer is covered by a thin layer of fibrinous exudate with inflammatory cells. Underlying this fibrinous exudate are granulation tissue with acute and chronic inflammatory cells.

  • At the edge of both ulcers, there are multinucleated cells. These nuclei are the so called 3M nuclei which stands for molding of nuclei, margination of chromatin, and multinucleated. It is important to note that these nuclei are typically found at the edge of the biopsy specimen. If the endoscopist has biopsied only the center of the ulcer, it may be difficult to establish the diagnosis based on histopathology alone.

  • Herpes simplex virus can be demonstrated immunohistochemistry which provides confirmation of the diagnosis.

Bonus Images:

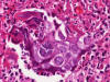
Hematoxylin & eosin

High-magnification: This image is taken from a different case and at a higher magnification (60x). The 3M nuclei (molding, margination of chromatin, multinucleated) are well demonstrated.

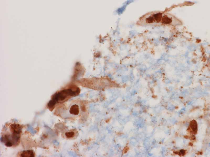
Immunohistochemistry

Immunohistochemistry for HSV: Immunohistochemistry can help to detect some of the viral inclusion that would be difficult to be diagnosed by morphology. It provides good confirmation for the diagnosis.

Original slide is contributed by James Fishback MD, Department of Pathology, Kansas University (Iowa Image Collection).

 Home Page