Case No.: A-008

Diagnosis: Periappendiceal abscess

Organ: Appendix

Last Updated: 3/21/2011

 

Online Slide/Full Screen/Open with ImageScope

Hematoxylin & eosin

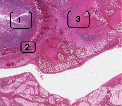
Area 1: The general outline of the lymphocytes of the normal appendix as well as the shape of the appendiceal lumen can still be recognized. On higher magnification, you can see that many of the cells are not viable. Numerous necrotic cells are present.

Hematoxylin & eosin

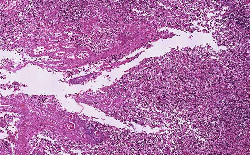
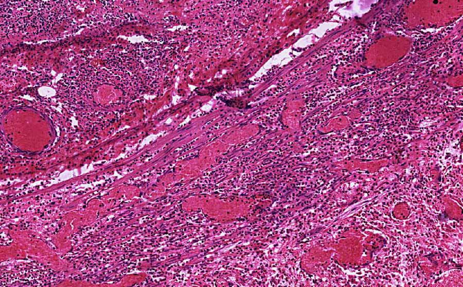
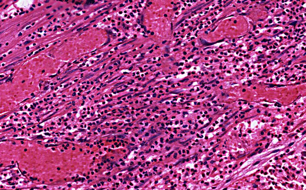
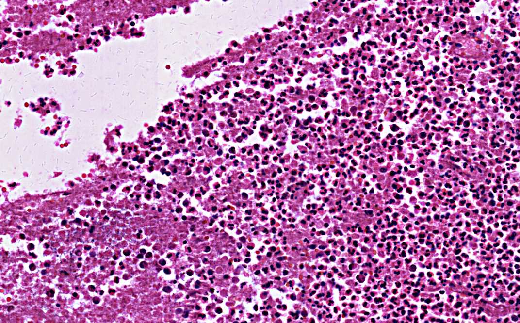
Area 2: The lumen of the appendiceal wall is necrotic and contains substantial viable or non-viable neutrophils. Congested blood vessels are also present.

Hematoxylin & eosin

Area 3: The core of the abscess is essentially a pool of necrotic neutrophils.

History: The history of this case was not know as it was taken from the archival material. However, patients affected by this condition would typically experience right lower quadrant pain with progressive worsening, fever, and chills. In untreated cases, sepsis and death may occur.

 

Histologic Highlights of this Case:

  • The lumen of the appendix (Area 1) can be recognized by the presence of substantial amount of lymphocytes. Due to the inflammatory changes, however, the mucosal epithelium are totally destroyed.

  • The wall of the appendix (Area 2) has undergone substantial inflammation and is necrotic. Its breakage allows debris from the lumen of the appendix to extend into the surrounding adipose tissue. Confinement of this inflammatory process lead to the abscess formation (Area 3).

Comment: Periappendiceal abscess is most often caused byappendicitis with rupture into the periappendiceal tissue and the inflammation is being confined in the periappendiceal tissue.

Original slide is contributed by Pathology Learning Center, University of Iowa (Iowa Image Collection).

 Home Page