Case No.: A-009

Diagnosis: Schistosomiasis and colon cancer

Organ: Colon

Last Updated: 3/21/2011

 

Online Slide/Full Screen/Open with ImageScope

Hematoxylin & eosin

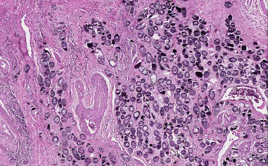
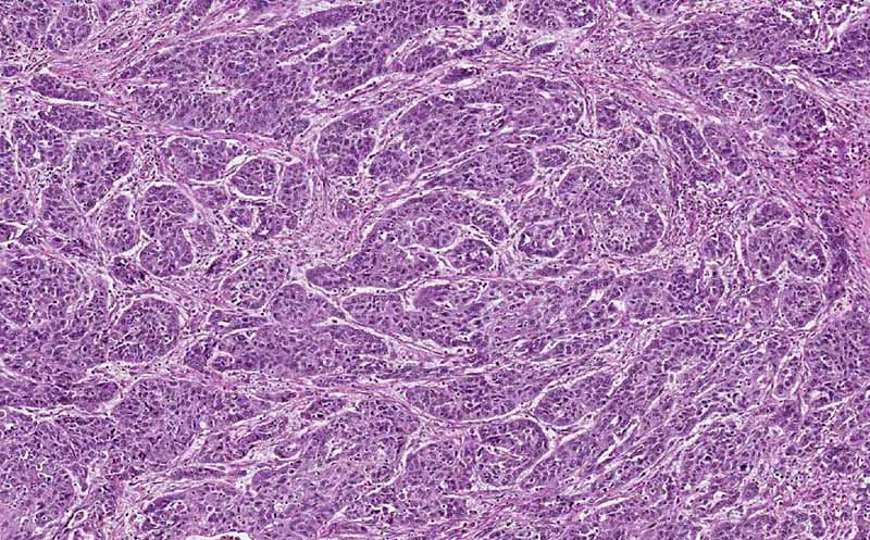
Area 1: The cells here for irregular cell nests. Based on the morphology, this can be a neuroendocrine carcinoma. However, the possibility of an adenocarcinoma cannot be entirely ruled out. Immunohistochemistry and examination of other part of the tumor can be helpful but both cannot be performed with this archival specimen.

Hematoxylin & eosin

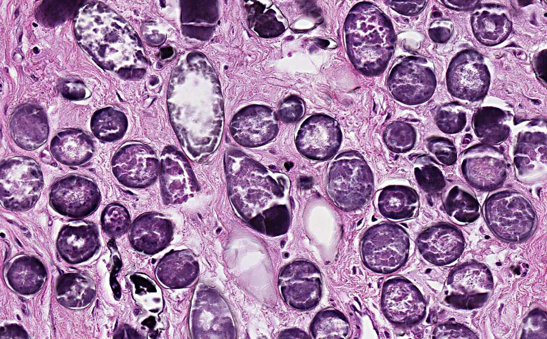
Area 2: The calcified eggs caused substantial fibrosis.

History: The history of this case was not know as it was taken from the archival material. However, patient affected by this condition often have manifestations of the gastrointestinal tract including constipation, abnormal bowel movement, and abdominal pain.

 

Histologic Highlights of this Case: 

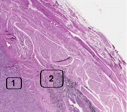
  • This image is taken from the wall of a segment of colon. You can recognize the muscle layer. There are two disease processes. The first process is composed of nests of pleomorphic cells (Area 1). The pathologic features are that of a neoplasm of the colon. This is most likely the reason why this segment of colon was surgically removed. The pathology are suggestive of a carcinoid but no further information is provided in the archive.

  • The more interesting lesion, however, is featured by numerous round to olive shaped structure with a calcified shell. These organisms are the calcified eggs of Schistosoma.

Further information: Schistosomiasis is caused by a trematode, the Schistosoma. There are 4 species of Schistosoma that can infect humans. There are some subtle differences in the shape of their eggs which allow morphological recognition.

  • Schistosoma mansoni and Schistosoma intercalatum: intestinal schistosomiasis (S. mansoni is found in in South America and the Caribbean, Africa including Madagascar, and the Middle East)
  • Schistosoma haematobium: urinary schistosomiasis (S. haematobium found in Middle East, India, Portugal and Africa)
  • Schistosoma japonicum and Schistosoma mekongi: intestinal schistosomiasis (S. japonicum and S. mekongi are found in in east and southeast Asia including China)

Original slide is contributed by James Fishback MD, Department of Pathology, Kansas University (Iowa Image Collection).

 Home Page