Case No.: A-010

Diagnosis: Pseudomembranous colitis

Organ: Colon

Last Updated: 3/21/2011

 

Online Slide/Online Slide/Open with ImageScope

Hematoxylin & eosin

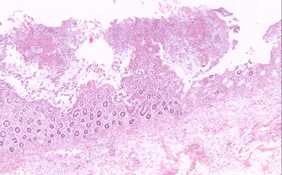
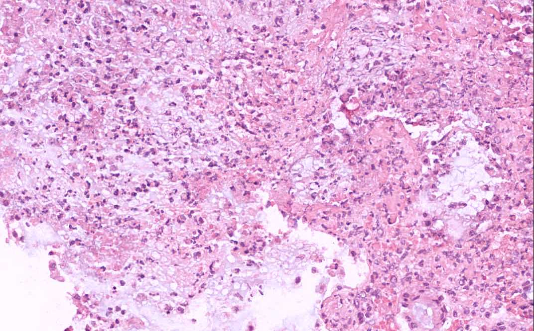
Area 1: The mushroom-like or volcano-like structures are well illustrated here. The overlying inflammatory substance is composed of neutrophils, karyorrhectic debris, and mucin.

Hematoxylin & eosin

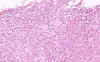
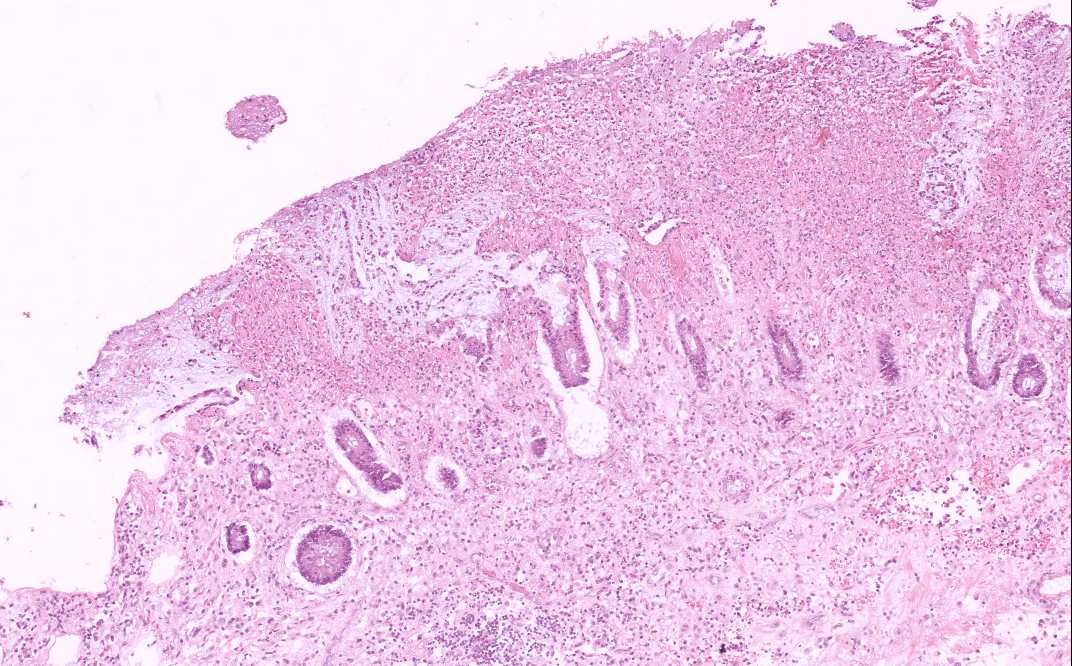
Area 2: Note that the inflammatory necrotic debris has form a pseudomembrane.

Hematoxylin & eosin

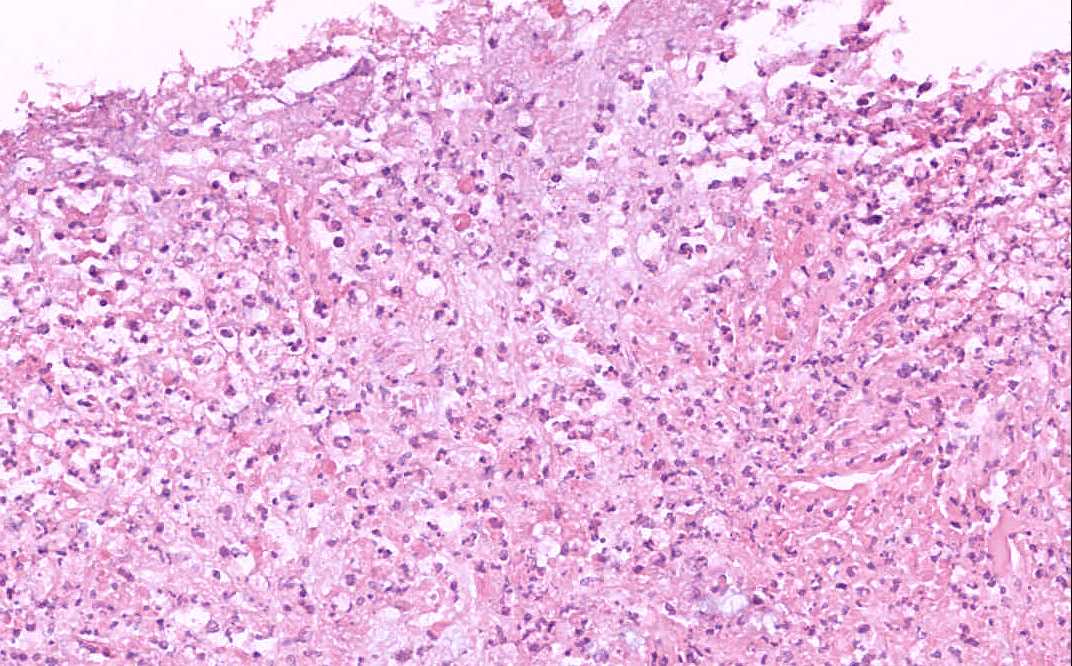
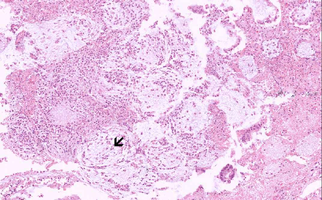
Area 3: Note the interesting linear arrangement of the inflammatory cells and the mucin (arrow).

History: This slide was taken from the archive and the history was uncertain. This type of lesion, however, can mimic a variety of clinical conditions and it is often, but not always, a result of antibiotic therapy. Most of the time symptoms develop during therapy delayed development of this condition may happen. Gross examination of the specimen usually reveal focal plaque like cream to yellow pseudomembrane on the mucosa surface. These membranes are not tightly adhered and can be easily lifted off.

 

Histologic Highlights of this Case: 

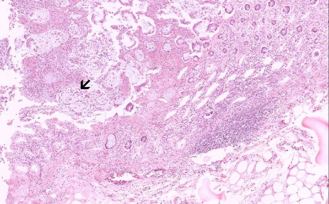
  • The submucosa (S) is rather edematous and the organization appears loose. The mucosa is rather irregular and is coated by a layer of inflammatory and necrotic substance. There is also patchy necrosis of the superficial aspect os of the mucosa. In the smaller lesions, the affected crypts become dilated and exude an inflammatory and necrotic substance reminiscent of a erupting volcano or mushroom-like structure (Area 1). There is extensive loss of colonic glands due to the necrosis. In the more severely affected areas, the inflammatory and necrotic substance  fuses together to form a pseudomembrane (Area 2). This pseudomembrane extends laterally to overlie adjacent normal appearing mucosa. The exudate is composed largely of karyorrhectic debris and neutrophils. Also the mucin has a tendency to alig with the necrotic debris and neutrophils in an interesting linear arrangement (Area 3).

Comment: Pseudomembranous colitis is typically caused by the administration of any antibiotics that favor the growth of C. difficile.

Original slide is contributed by Fred R Dee MD, Department of Pathology, University of of Iowa (Iowa Image Collection).

 Home Page