Case No.: A-012

Diagnosis: Intramucosal adenocarcinoma, moderately differentiated, arising in a background of Barrett's esophagus

Anatomic Region: Gastroesophageal junction

Last Updated: 12/21/2011

 

Online Slide/Full Screen/Open with ImageScope

Hematoxylin & eosin

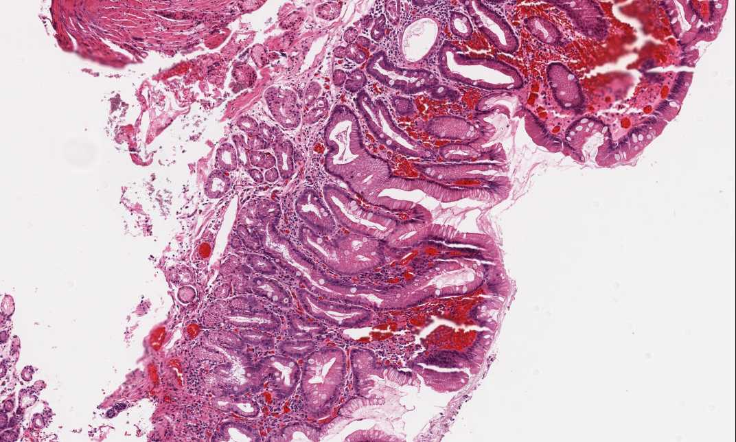
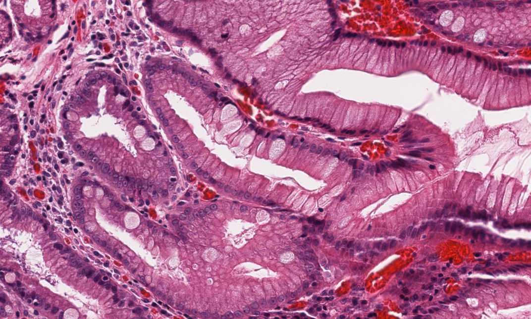
Area 1: In the gastric mucosa, there are some chronic inflammatory cells in the lamina propria. Many goblet cells are present here and they are quite extensive.

Hematoxylin & eosin

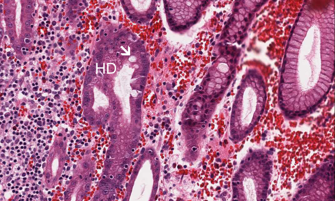
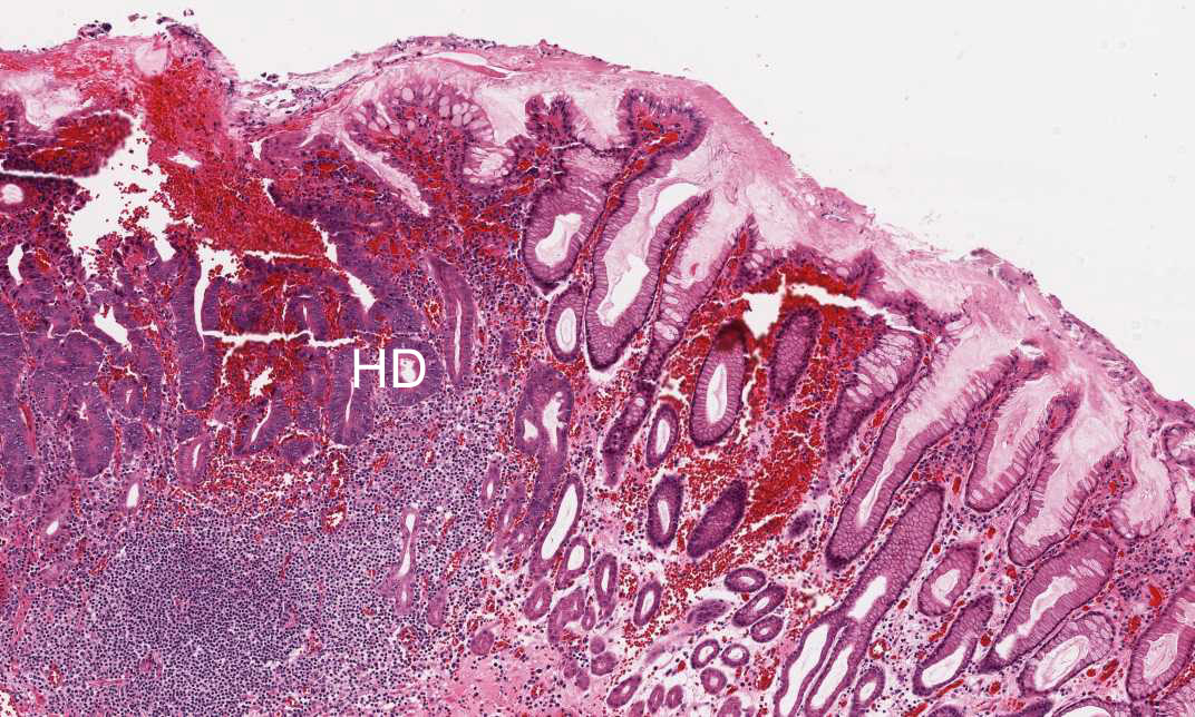
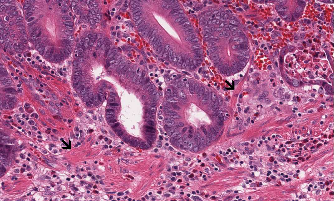
Area 2: Compare the area with high grade dysplasia (HD) and the normal appearing glands on the right of the image. At the interface between the Barrett's esophagus and high grade dysplasia, there are also glands with high grade dysplastic change (HD) and with goblet cell formation.

Hematoxylin & eosin

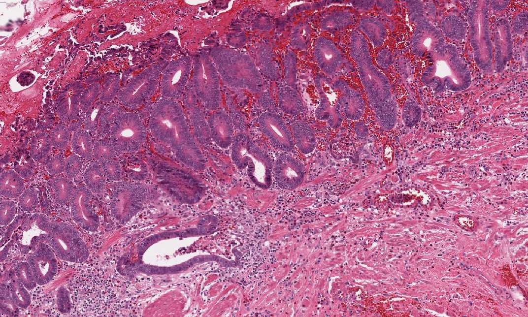
Area 3: The muscularis mucosa is not penetrated as illustrated. However, the tumor cells has already reached the smooth muscle fibers (arrow).

History: This is a mucosal resection from the gastroesophageal junction of an adult. What is you diagnosis?

 

Histologic Highlights of this Case:

  • In the gastric mucosa (Area 1), there is goblet cell formation (intestinal metaplasia) indicative of Barrett's esophagus.

  • High grade dysplasia is present immediate adjacent to Barrett's esophagus (Area 2). Compare the differences between the architecture and the cytology between the two areas.

  • The carcinoma has invaded into the lamina propria but has not penetrated the muscularis mucosa (Area 3). Therefore, this can be diagnosed as intramucosal adenocarcinoma.

Original slide is contributed by Dr. Kar-Ming Fung, University of Oklahoma Health Science Center, Oklahoma, U.S.A.

 Home Page