Case No.: A-014

Diagnosis: Adenocarcinoma, low-grade, invading submucosa

Organ: Colon

Last Updated: 12/21/2011

 

Online Slide/Full Screen/Open with ImageScope

 

Hematoxylin & eosin

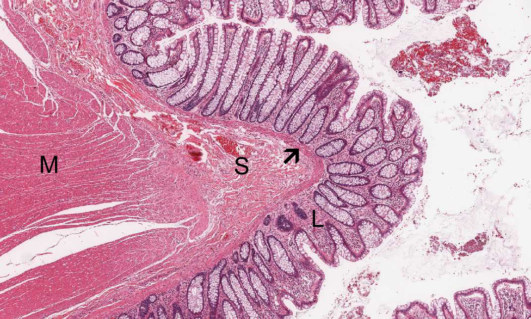
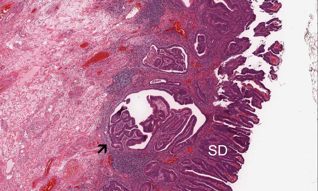
Area 1 (normal area for comparison): This is the normal area for comparison. You can see the muscularis propria (M), submucosa (S), muscularis mucosa (arrow), and lamina propria. In this case, you can see that the tumor has invaded through the muscularis mucosa into the submucosa but has not yet invaded into the muscularis propria. The epithelial cells are in orderly single layered columnar arrangement with small, basally located nuclei and mucin production.

 

Hematoxylin & eosin

Area 2: In this area, there is area with severe dysplasia (SD). The overall arrangement still follows the normal glands iterms of the relationship between the epithelial cells and the supporting fibrous stroma. Howeve, the epithelial cells have basophilic cytoplasm and no mucin production. The most important part is that the nuclei are much larger and they lost polarity. Many of the nuclei are superficially located. Nest of these abnormal cells have invaded into through the muscularis mucosa into the lamina propria.

Hematoxylin & eosin
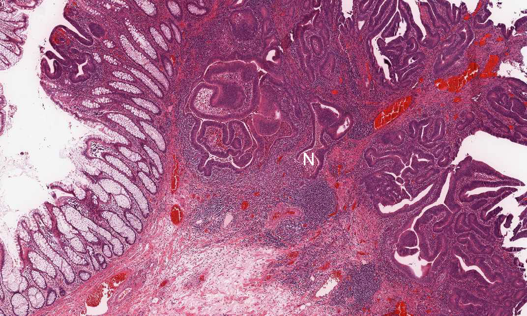
Area 3: This image is taken at the edge of the tumor where you can see the the relationship between the normal area (N), muscularis mucosa (arrow) and the invading tumor (In).

Hematoxylin & eosin

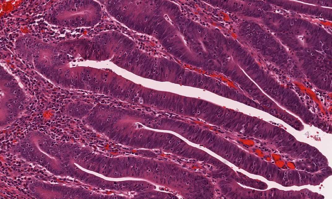
Area 3: This is another area showing the invading carcinoma. Note that necrotic debris are present in the lumens of the neoplstic glands. This is a very common feature for adenocarcinoma of the colon.

History: This specimen was obtained from a colonic resection from an adult. What is your diagnosis?

 

Histologic Highlights of this Case: 

  • This is a good example of an adenocarcinoma with early invasion. Note that the tumor is formed by neoplastic gland formation (Area 2 and 4). The invading tumor has penetrated the muscularis mucosa into the submucosa but the muscular propria (M) is not invaded (Area 4). At this stage, these tumor are likely to be asympptomatic. No significant mass or stricture has been generated by the tumor which would lead to obstruction. The transition from an in situ lesion to an invasive lesion is well illustrated here. (see below)

  • Since gland formation is present in the invasive component, this is a low-grade adenocarcinoma.

Original slide is contributed by Dr. Kar-Ming Fung, University of Oklahoma Health Science Center, Oklahoma, U.S.A.

 Home Page