Diagnosis: Fibroadenoma

Organ: Breast

Last Updated: 12/30/2009

 

Online Slide/Full Screen/Open with ImageScope

Hematoxylin & eosin

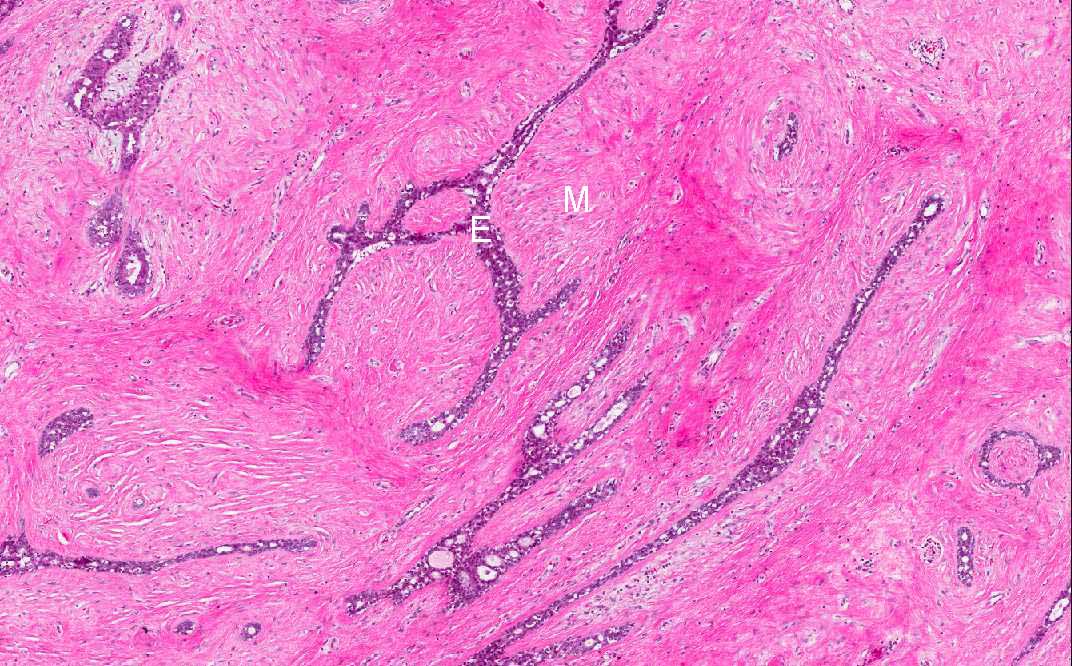
Area 1: In this area you can see both the epithelial component (E) and the mesenchymal component (M). The epithelial component lacks nuclear features indicative of malignancy. The mesenchymal component has low cellularity and with bland nuclei free of enlargement, pleomorphism, prominent nucleoli, or hyperchromatism.

Hematoxylin & eosin

Area 1: Epithelial component does not show any features suggestive of dysplasia or malignancy. The epithelium remains single cell layer.

Hematoxylin & eosin

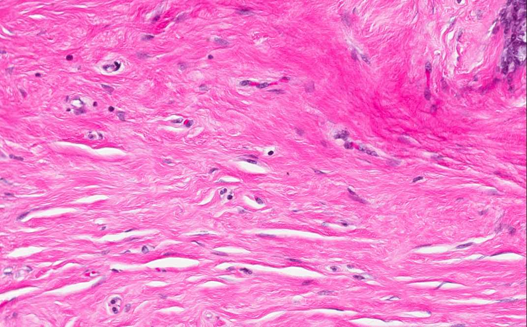
Area 1: Low cellularity and fibrotic change in the mesenchymal component.

History: The patient was a 46 year-old woman with a nodule in her left breast. The nodule was firm and movable. This nodule was excised and yielded the current specimen.

 

Histologic Highlights of this Case:

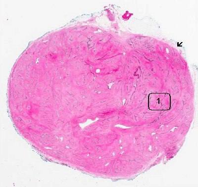
  • The mass is about 1.4 cm across in greatest dimension. It is almost round and with a very well demarcated margin. The tumor can be well excised from the surrounding tissue with a clear plane (arrow). Only small amount of adipose tissue are rimming the nodule. A clean separation plane is one of the characteristic features of benign tumors. In contract, invasive carcinomas infiltrate into the surrounding tissue and will not produce a clean surgical plane for separation.

  • Fibroadenoma is a biphasic tumor which has a mesenchymal component and epithelial component. Both of them are benign in nature. The tumor cells lacks features of malignant tumors that include high nucleus to cytoplasm ratio, hyperchromatic nuclei, enlarged and irregular nuclei, pleomorphism, prominent nucleolimitotic figures, necrosis, iand nfiltrative growth pattern.

Original slide is contributed by Dr. Kar-Ming Fung, University of Oklahoma Health Sciences Center, Oklahoma, U.S.A.

 Home Page