Case No.: B-005

Diagnosis: Intraductal papilloma

Organ: Breast

Last Updated: 11/21/2011

Online Slide/Full Screen/Open with ImageScope

Hematoxylin & eosin

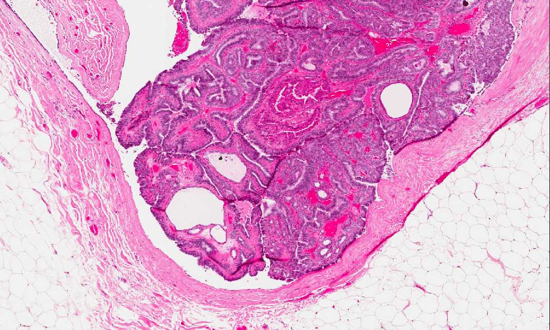
Area 2: Note collagenous wall of the duct (w) and the surrounding adipose tissue (a). The inner surface of the duce is lined by epithelial cells (arrow). Note that there is some hyperplastic proliferation of epithelial cells in this area (t).

Hematoxylin & eosin

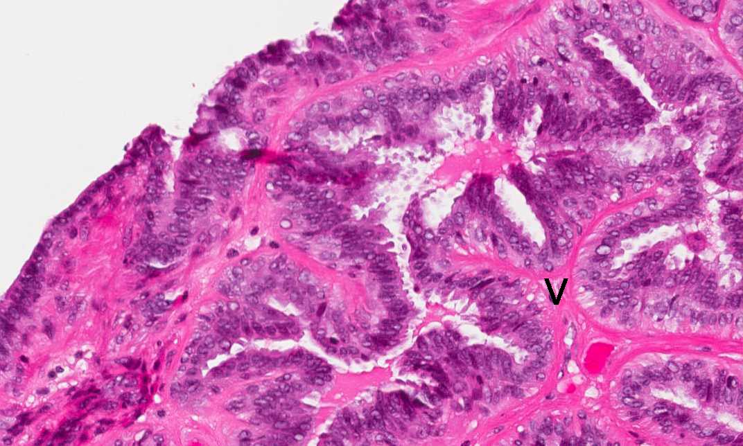
Area 2: Note the papillary, finger-like fibrovascular core (v) that that supports the epithelial cells. There is only one single layer of lining epithelial cells.

Hematoxylin & eosin

Area 3: Note that there is an island of epithelial cells with slightly increase in size and significantly more eosinophilic than the surrounding cells (outlined by the arrows). These are cells with apocrine metaplasia (oncocytic changes) and is bengin.

History:  This slide was obtained from a woman as a mastectomy specimen performed for invasive ductal carcinoma.

 

Histologic Highlights of this Case:

  • First, there is no invasive carcinoma in this slide. The arrow point to the black ink which marks the true margin of the tumor. What is being shown here is an incidental finding.

  • There is a well-circumscribed lesion embedded within a background of adipose tissue (a). The lesion seems to have a collagenous wall which represents a dilated duct (Area 1).

  • There is a papillary lesion composed of a finger-like fibrovascular structure lined by a single layer of cells in most areas. Benign hyperplastic proliferation is present focally in some areas. There is no high grade pleomorphism (Area 2). The lesion has expanded the duct.

  • In some areas, the lining cells are enlarged and with bright eosinophilic cytoplasm. These areas represent apocrine metaplasia (oncocytic changes) and are benign.

  • The overall features are that of an intraductal papilloma and is benign.

Original slide is contributed by Dr. Kar-Ming Fung, University of Oklahoma Health Science Center, Oklahoma, U.S.A.

 Home Page