Case No.: C-001/K-002

Diagnosis: Malignant hypertension

Organ: Heart and kidney

Last Updated: 1/21/2011

Online Slide/Full Screen/Open with ImageScope


Online Slide/Full Screen/Open with ImageScope

Hematoxylin & eosin

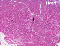
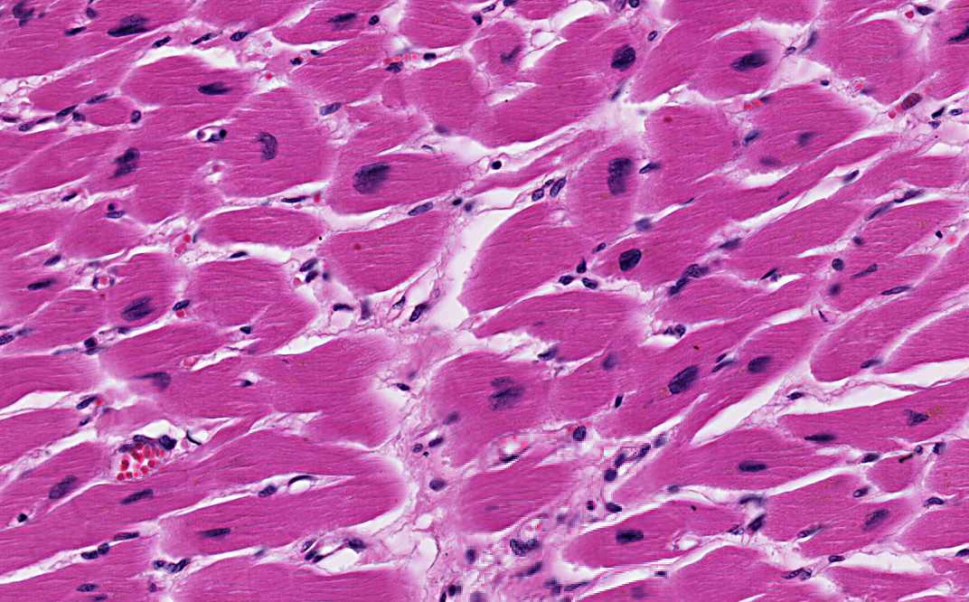
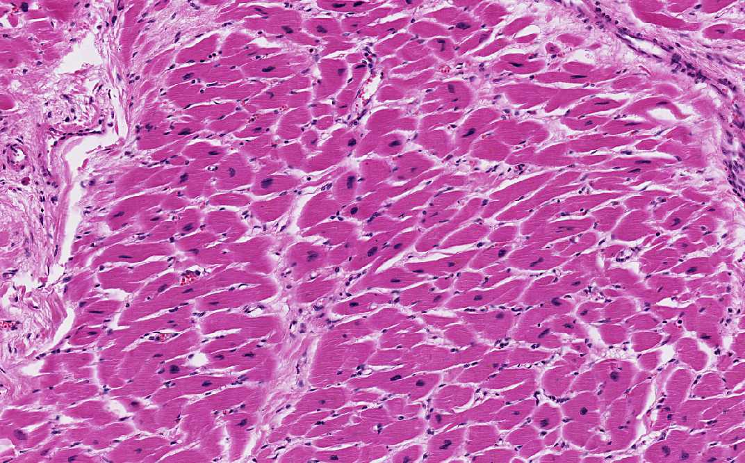
Heart- Area 1: The nuclei are hyperchromatic and are rectangular shape, the so-called "box-car nuclei".

Hematoxylin & eosin

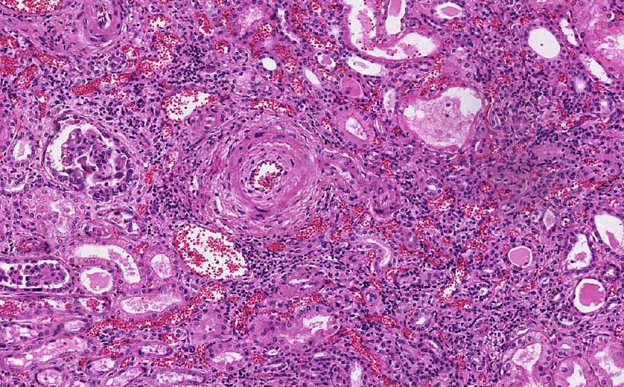
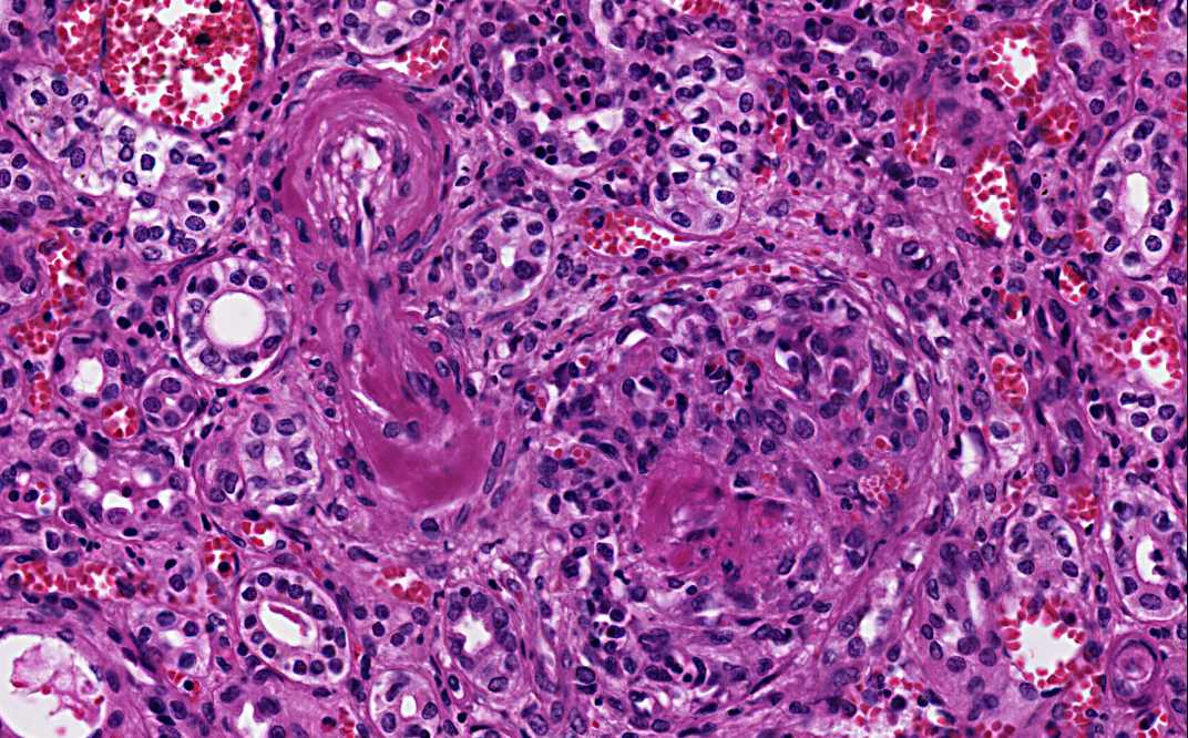
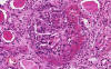
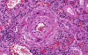
Kidney- Area 1: Concentric intimal thickening is well demonstrated in this image.

Hematoxylin & eosin

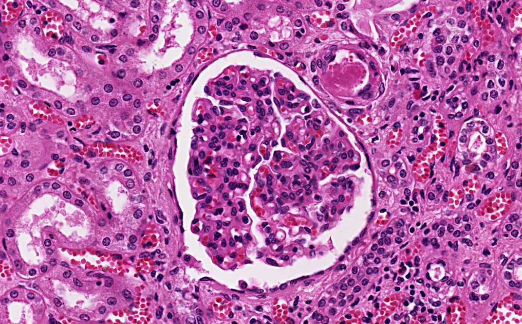
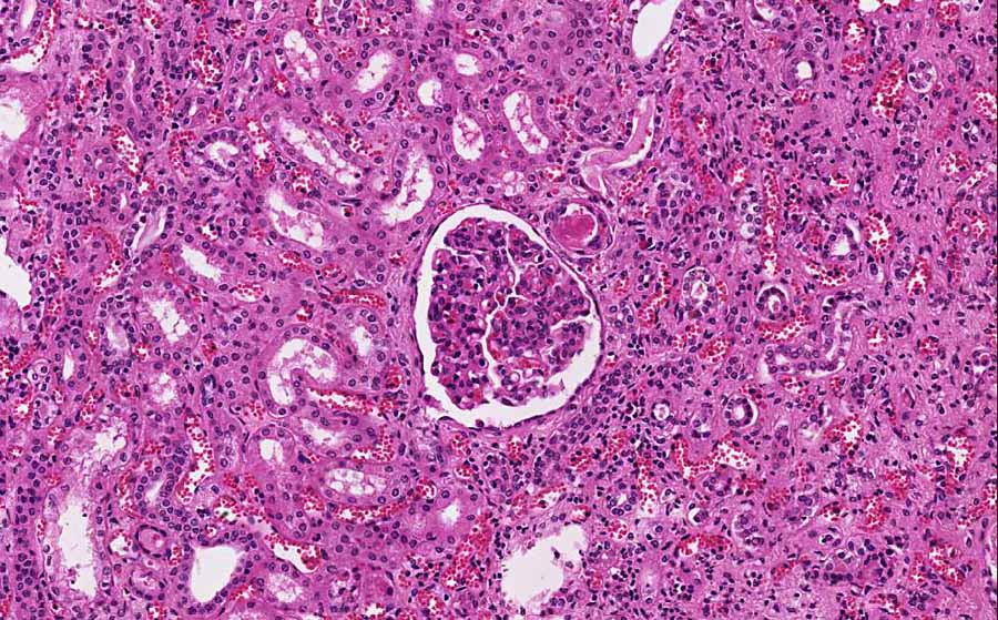
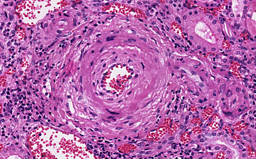
Kidney- Area  2: Note how small is the lumen in this vessel with concentric intimal thickening.

Hematoxylin & eosin

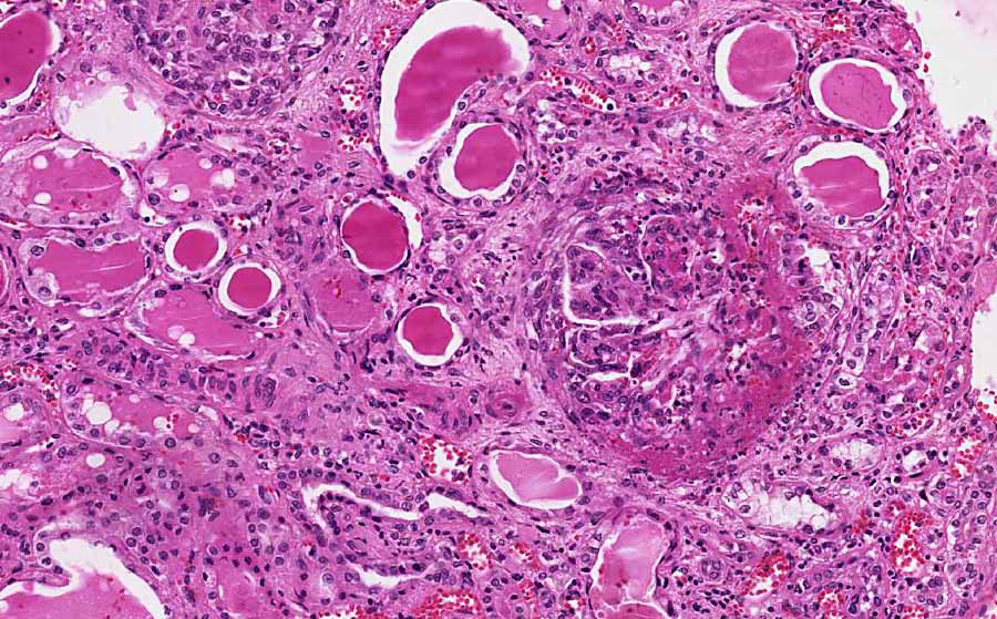
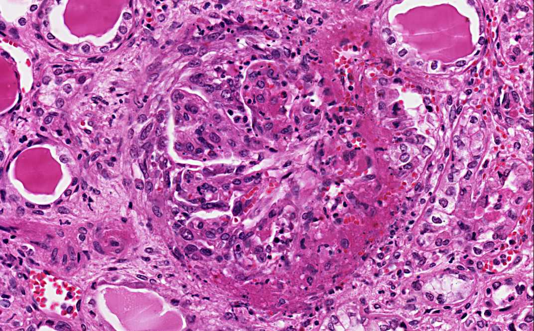
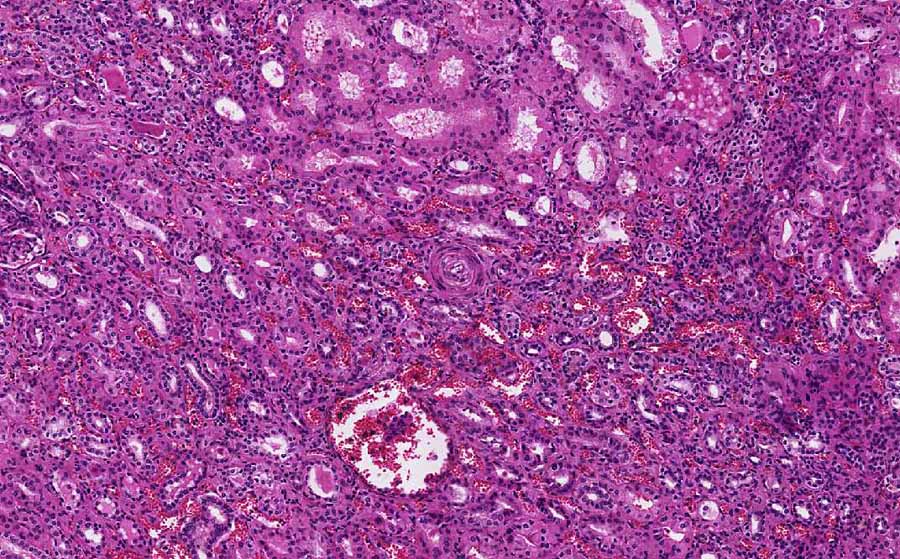
Kidney- Area  3: The blood vessel is replaced by fibrinoid substances.

Hematoxylin & eosin

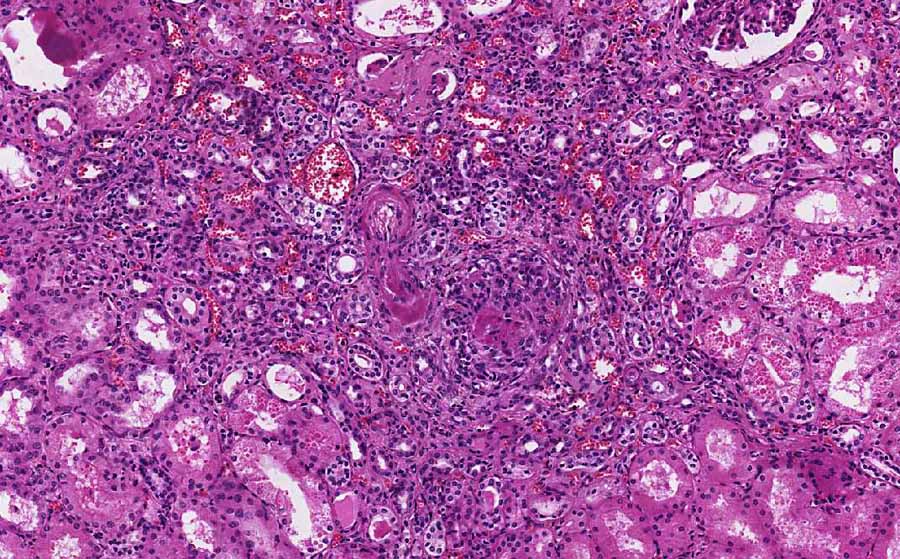
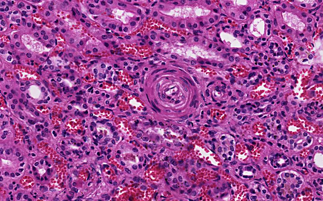
Kidney- Area  4: In this area, the fibrinoid necrosis extends into the glomerulus.

Hematoxylin & eosin

Kidney- Area  5: A fibrinoid thrombus is presen in this arteriole.

History: The history of this case was not know as it was taken from the archival material. The patient was an adult and has a history of malignant hypertension. The specimens were obtained at an autopsy.

 

Histologic Highlights of this Case:

  • Heart: Patient with prolonged hypertension, the heart is typically grossly hypertrophic featured by concentric thickening of the left ventricular wall and increase in weight. Microscopically, here is diffuse hypetrophy of the cardiac muscle. The myocytes increases in width. The normal cardiac myocyte is about 10-15 microns in with but in the hypertrophyic myocytes, they can reach a width of 25 microns. The nuclei is also enlarged and hyperchromatic. They often adopt a rectangular shape and are termed "box-car nuclei". With the modern eyes, they do resemble minivans or SUVs! (Heart- Area 1)

  • Kidney: Malignant or accelerated phase of hypertension will lead to accelerated nephrosclerosis. Although this condition may develop in previously normotensive individuals, it is often superimposed on preexisting essential benign hypertension, other forms of non-malignant hypertensions, and underlying chronic renal diseases particularly glomerulonephritis and reflux nephtopathy. The longer the duration of the disease the more likely to see a smaller kidney on gross examination. The kidney may have a "flea-bitten"appearance featured by small, pinpoint petechial hemorrhage on the cortical surface. These petechia are resulted from rupture of arterioles or clomerular capillaries of the kidney. The reason for this type of gross pathologic changes may be explained by the presence of two characteristic pathologic changes of blood vessels in malignant hypertension: 

    ·         Concentric intimal thickening of blood vessels (hyperplastic arteriolitis): There is extensive intimal thickening due to a proliferation of elongated, concentrically arranged smooth muscle cells and layers of concentric collagen. Pale staining substance probably proteoglycans and plasma proteins are also present in these concentric thickenings. Histologically, these vessels resemble the cross section of an onion (onin-skinning of vessels). (Kidney- Area 1 and 2)

    ·         Fibrinoid necrosis of arterioles: The blood vessel wall is partially or completely replaced by an eosinophilic granular acellular fibrinoid substance (Kidney- Area 3) which can be demonstrated by special stains or immunohistochemistry. Sometimes the glomeruli may also become necrotic (Kidney- Area 4) and infiltrated by neutrophils and the glomerular blood capillaries may be thrombosed  (Kidney- Area 5). Limited chronic inflammatory cell infiltration may be associated with these vessels.

Original slide is contributed by Pathology Learning Center, University of Iowa (Iowa Image Collection).

 Home Page