Case No.: D-002

Diagnosis: Ameloblastoma

Organ: Mandible

Last Updated: 09/21/2010

Online Slide/Full ScreenOpen with ImageScope

Panoramic view


CT

Gross photo

Hematoxylin & eosin

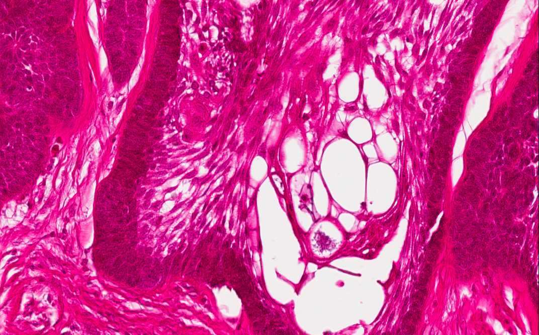
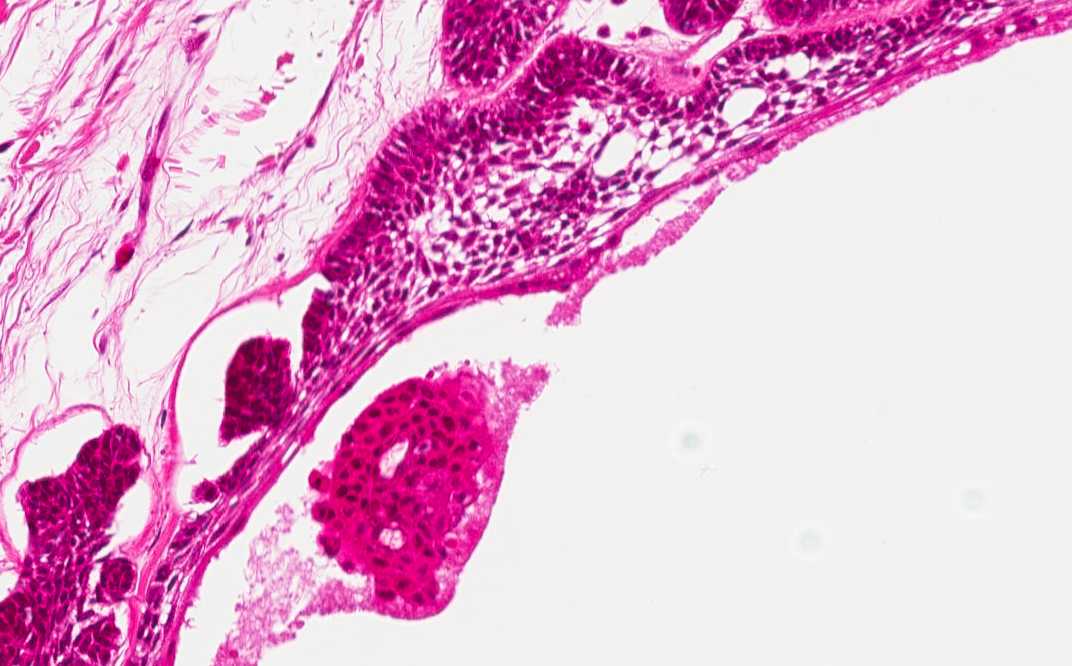
Area 1: Note that the cords and nests contains peripherally located palisading epithelial cells with reversed polarity. These cells resembles the ameloblasts of normal tooth formation. The stellate central cells resemble the stellate reticulum of the tooth germ.

Hematoxylin & eosin

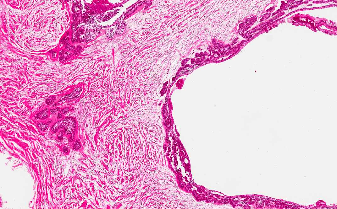
Area 2: Note that the cyst are lined by palisading columnar cells with reversed polarity. Cyst formation is very common in ameloblastomas. Some of the cyst may be, at least partially, lined by attenuated squamous epithelium that lacks features of ameloblasts.

History:  The patient was a 34 year-old man who presented with a 4 day history of pain and swelling, dysphagia, dysphonia, and odynophagia. On physical examination, there was significant swelling  with induration on his left face posterior to the ramus of the mandible. The swelling was severely tender on palpation. The swelling extended anterior and inferior to the submandibular space. The inferior border of the mandible could not be palpated. A panoramic film showed a multilocated radiolucent lesion in the left mandible close. An unerupted tooth was present within this lesion. A CT scan showed a large lytic lesion involving the left mandibular body and ramus and rightward shift of airway of inferior oropharynx. The lesion was excised and yielded this specimen.

 

Imaging Studies: The panoramic view demonstrated a cystic lesion (outlined by the arrow) that greatly expanded the mandibuylar condyle, angle, and ramus. It is an multilocular cys in with thin walled cysts. This "soap bubble" like radiolucency is classic for ameloblastoma. At the base of the lesion is a tooth. It is not uncommon for them to be associated with unerupted tooth. The bone window of the CT scan demonstrated similar findings. Note that the lesion is large enough to compress and deviate the airway (the airway has shifted right). Note that the molar region of mandible is the most common location for ameloblastoma.

 

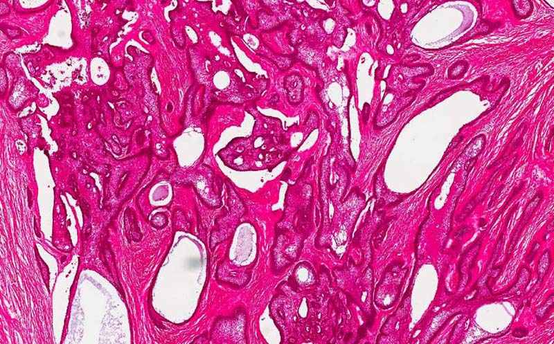
Gross Pathology: The resection included the left body, angle, ramus, and condyle of the mandible. The specimen was 4.5 x 4.0 x 2.9 cm. The specimen was decacified for examination. Cross section demonstrated a multilocular cyst with large and small cyst. The tumor is gray white on cut surface.

 

Histologic Highlights of this Case: 

  • In Area 1, there are cords and nests of neoplastic cells infiltrating the fibrous stroma. At the periphery of the cell nests are palisading, elongated columar cells with reversed polarity of nuclei (nuclei are located away from the basement membrane). The center of the cords and nets are occupied by stellate cells which occupy the center of the cell nests.

  • In Area 2, cyst formation is present. The cysts are lined by the cells with pseudopalisading pattern similar to that of area 1.

  • The overall nuclear features are bland and without significant pleomorphism or high grade atypia. Mitotic figures are not readily seen.

  • Note that the specimen appears more eosinophilic than other specimens being shown in this program. This is because the specimen has to be decalcified before examination and slightly over decalcified specimens often appear more eosinophilic and the nuclear details are not as well preserved.

Comment: 

  • Ameloblastoma is the most common odontogenic tumor that occurs most commonly in the molar regions of the mandible. Those in maxillary are much more frequent to recurrent than those in mandible after excision.

  • It is locally aggressive and recurrence is common but do not typically metastasize.

  • Radiographic features show the characteristic “soap-bubble” radiolucencies.

  • The histologic appearance is also characteristic. Recurrence is common. There are islets or plexiform arrangement of epithelial cells.  The cells resemble the enamel organ of the developing tooth germ. Typically the epithelial islets consist a peripheral layer of cuboidal or columnar cells which may be rather like ameloblasts and a central area of cells similar to stellate reticulum.

  • Strongly eosinophilic degenerative substance which are PAS(+) can be seen at the center of the nests. Squamous metaplasia may be extensive enough to fill up the entire cell nest and such histologic picture may suggest squamous cell carcinoma on casual examination. There may be calcifications.

Original slide is contributed by Dr. Kar-Ming Fung, University of Oklahoma Health Sciences Center, Oklahoma, U.S.A.

 Home Page