Case No.: D-003

Diagnosis: Odontogenic keratocyst, central or intraosseous (keratocystic odontogenic tumor)

Organ: Mandible

Last Updated: 12/21/2010

 

Online Slide/Full Screen/Open with ImageScope

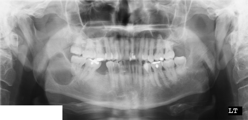
Panoramic view

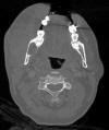
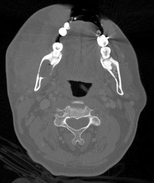
CT scan

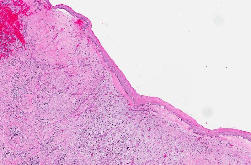
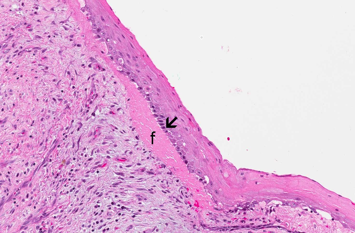
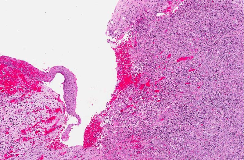
Hematoxylin & eosin

Area 1: Note that there the covering squamous epithelium is thin and free of dysplastic changes. The basal layer is composed of columnar cells with hyperchromatic nuclei, columnar shape, vague palisading arrangement (arrow). A small amount of fibrinous exudate (f) is present in between the squamous epithelium and the underlying stroma. This is not part of the classic features of this type of cyst but rather a result of the inflammation.

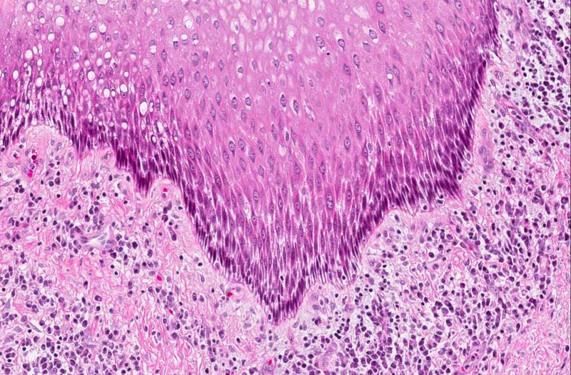
Hematoxylin & eosin

Area 2: In this area, there is thickening of the epidermis. At the same time, this area is also tangentially sectioned which lead to elongation of the nuclei and cells. Note that the degree of chronic inflammatory cell infiltration is more intense in comparison from that of area 1.

Hematoxylin & eosin

Area 3: The ulcerated area is lined by a mixture of chronic inflammatory cells including lymphocytes and plasma cells. Also present is formation of new blood vessels.

History: The patient was a 49 year-old man who presented with right facial swelling and pain in his jaw, 10 day history of right facial edema, and inability to open his mouth. He was treated with drainage and antibiotics. On further studies, there was a radiolucent lesion at the angle of the mandible suggestive of a cystic lesion. Surgical treatment included incision and drainage of abscess and biopsy of the mandibular cyst which yielded the current specimen.

 

Imaging:

  • The panoramic view and the CT scan demonstrated a unlilocular, well demarcated, radiolucent lesion in the posterior aspect of the mandible. The rim of the lesion is smooth. There is no calcification at the center of the lesion.

Histologic Highlights of this Case:

  • The specimen is composed of stroma composed of fibroconnective tissue lined by a thin squamous epithelium about 5-8 cells thick (area 1). There are some chronic inflammatory cell infiltration in the stroma. Note that parakeratosis (nuclei in surface keratin) is present.

  • In some areas, there is hyperplasia of the epithelium (area 2) but no dysplastic changes are noted.

  • The basal layer of epithelial cells is composed of hyperchromatic cuboidal to columnar-appearing cells with a tendency for nuclear palisading (area 1 and 2).

  • In some are of the specimen, there is chronic ulcer and inflammatory changes and not covered by epithelium. This finding reflects the inflammatory nature of the patient's clinical condition. Although this type of cysts typically have mild to moderate inflammation in the cyst wall, ulcer associated with intense inflammation is not a classic features and the inflammation here is most likely resulted from infection.

Further Information:

  • Odontogenic keratocyst are classified into central (intraosseous) and peripheral (mucosal) type.

  • They are rather common and represent about 20% of all odontogenic cysts.

  • They are more common in men than in women and occurs over a wide range of age but 2nd and 3rd decades have the highest incidence.

  • The mandible, particularly the posterior aspect, is more affected than the maxilla.

  • It may be solitary or multiple. About 50% of them may be asymptomatic.

  • Well-defined, round or ovoid unilocular ardiolucency with smooth margin and frequently associated with an unerupted tooth.

  • Associated with nevoid basal cell carcinoma syndrome (Gorlin's syndrome or Gorlin-Goltz syndrome).

Original slide is contributed by Dr. Kar-Ming Fung, University of Oklahoma Health Sciences Center, Oklahoma, U.S.A.

 Home Page