Case No.: F-002

Diagnosis: Ectopic (tubal) pregnancy

Organ: Fallopian tube

Last Updated: 08/21/2010

Online Slide/Full Screen/Open with ImageScope

History: The patient was a 25 year-old woman who complained of abdominal pain. Laboratory examination demonstrated elevated hCG. The specimen was later obtained.

 

Histologic Highlights of this Case:

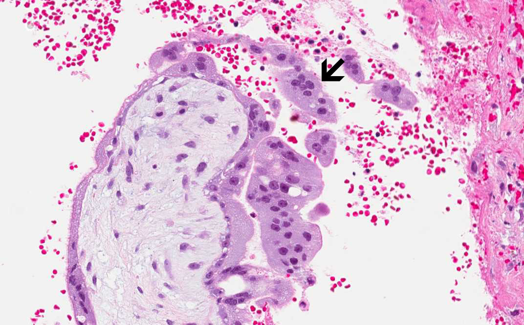
  • Trophoblastic villi are noted in Area 1 but no fetal tissue is noted. Trophoblastic villi are far more common to be found than fetal tissues in these cases. Note the multinucleated syncytiotrophoblasts (arrow).

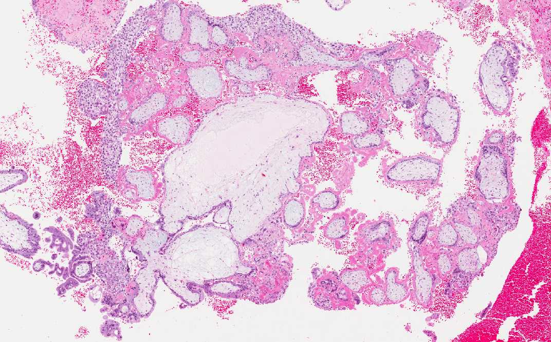
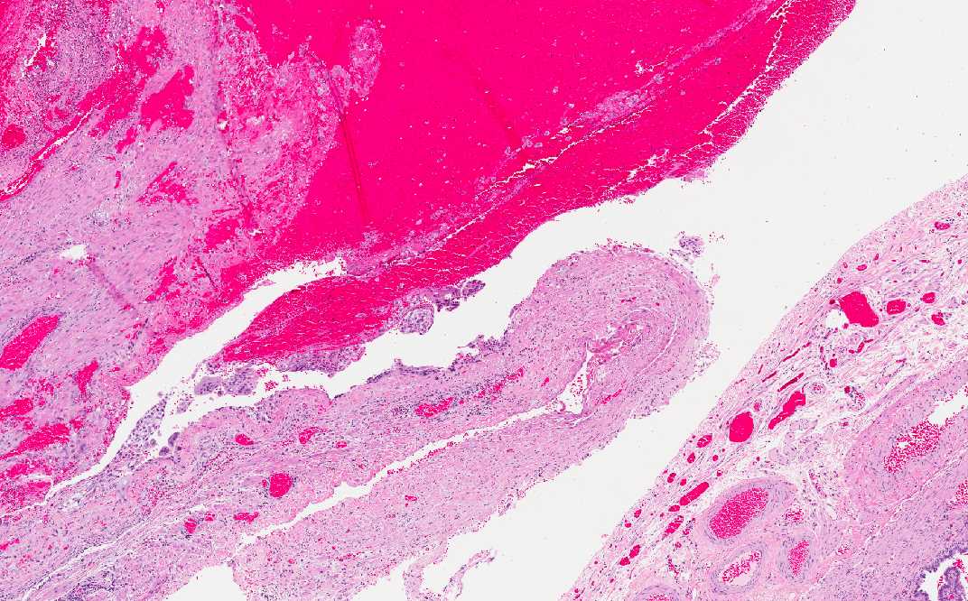
  • The fallopian tube is filled with fallopian tube and the wall of the fallopian tube is compressed by the hematoma. In some of the cases, the tube may rupture.

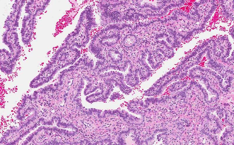
  • Note that normal fallopian tube is present in the remaining part of the tube not involved the ectopic pregnancy.

Hematoxylin & eosin

Area 1: The trophoblastic villi are illustrated here. Note the syncytiotrophoblasts (arrow).
Area 2: Note that the hematoma has expanded the fallopian tube (compare the diameter of the two sections) and that the wall of the fallopian tube is thinned.
Area 3: Compare the structure of the trophoblastic villi with the villi of the normal fallopian tube being illustrated here.

Original slide is contributed by Dr. Kar-Ming Fung, University of Oklahoma Health Sciences Center, Oklahoma, U.S.A.

 Home Page