Case No.: G-001

Diagnosis: Prostatic adenocarcinoma (acina, not otherwise specified) with Gleason score 3 and 4 components.

Organ: Prostate

Last Updated: 12/20/2009

 

Online Slide/Full Screen/Open with ImageScope\

Hematoxylin & eosin

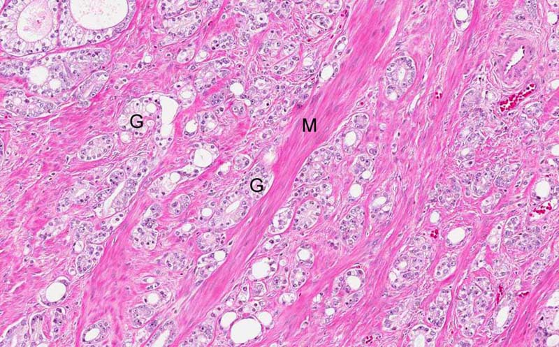
Tumor: The tumor is characterized by small neoplastic acini (G) that infiltrate. In this area, residual smooth muscle fibers (M) are entrapped between the infiltrating neoplastic glands.

Hematoxylin & eosin

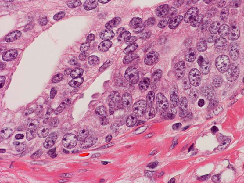
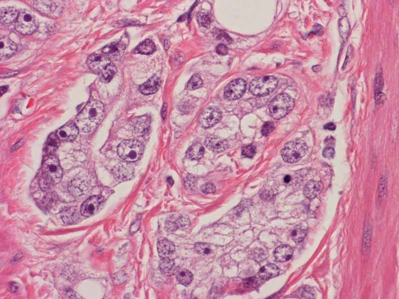
Tumor: The neoplastic glands vary from round with a lumen to some glands that look like fusion of two glands. Note the prominent nucleoli of the carcinoma cells (arrow) and the clear cytoplasm.

Hematoxylin & eosin

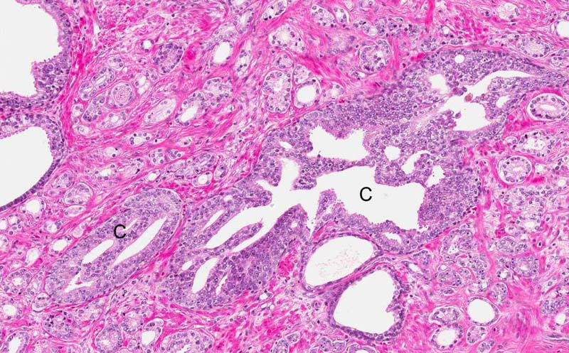
Area 1: In some of the tumor, a cribiform growth pattern is also present (C).

Hematoxylin & eosin

Area 2: Another area with cribiform area.

Hematoxylin & eosin

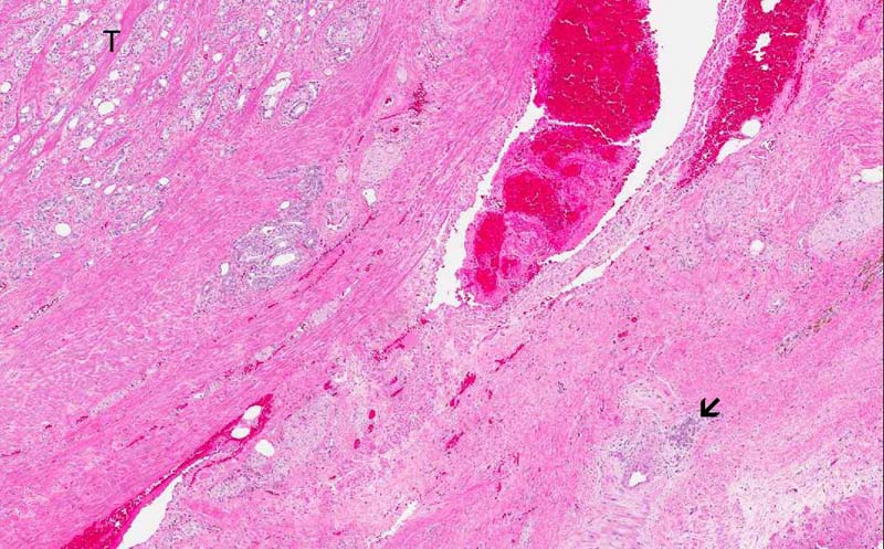
Area 3: This tumor is widely infiltrative. Note the infiltrating focus (arrow) is rather far away from the main tumor (T).

Hematoxylin & eosin

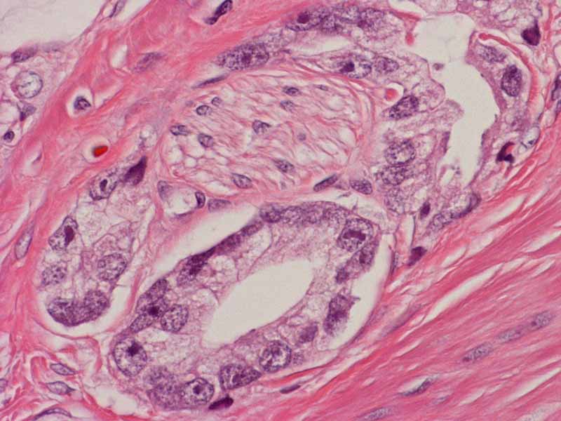
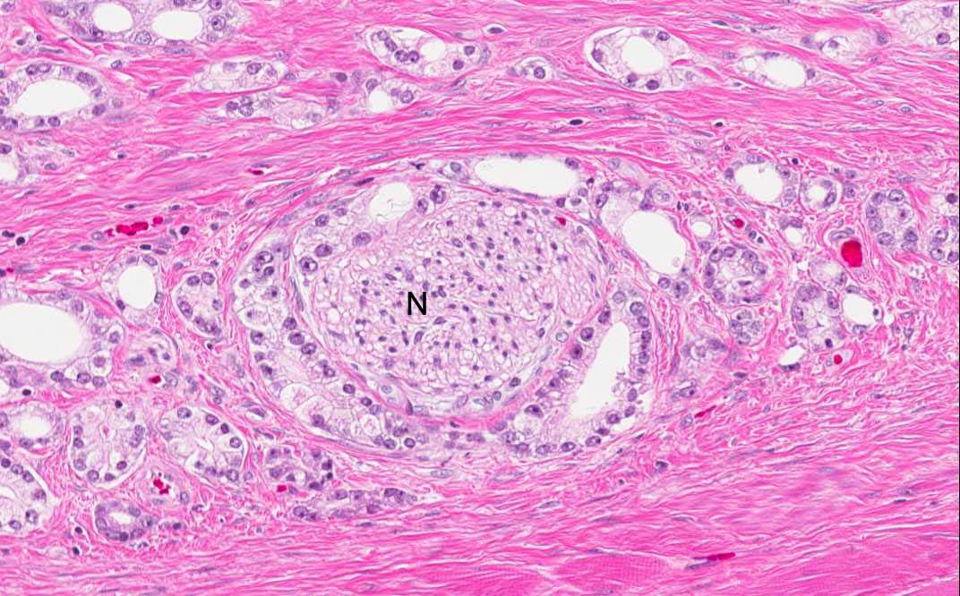
Area 4: Perineural invasion (invasion along the perineural space) is noted in this tumor. Note the peripheral nerve (N).

Hematoxylin & eosin

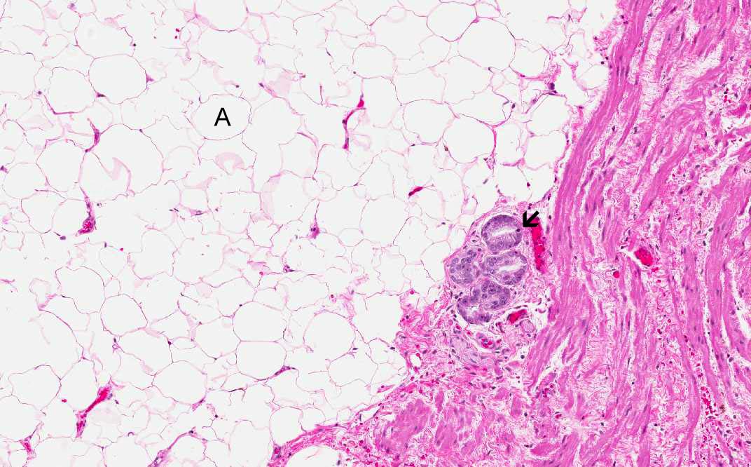
Area 5: This tumor has extracapsular invasion (arrow) into the periprostatic adipose tissue (A).

Hematoxylin & eosin

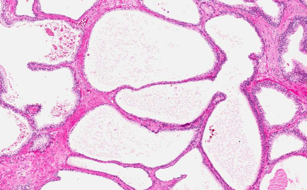
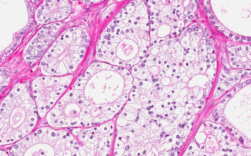
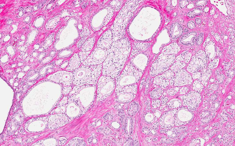
Area 6: This are residual prostatic glands with dilatation and atrophic changes of the epithelium.

History: The patient is a 67 year-old man with increased prostatic specific antigen (PSA). Needle biopsy of the prostate gland reviewed adenocacinoma. A radical radical prostatectomy was performed and yielded the current specimen.

 

Histologic Highlights of this Case:

  • The tumor is composed predominantly of small glands that widely infiltrate the prostatic tissue. On high magnification, fusion of some of the glands are present.

  • In a minority of areas, the tumor demonstrate a cribiform growth pattern (Area 1).

  • Invasion is extensive and invasive tumor can be seen far away from the main tumor (Area 2).

  • Perineural invasion (spread of tumor along the perineural space) is common in prostatic adenocarcinoma and widespread in this particular tumor (Arear 3).

  • Residual prostatic glands with dilatation and atrophy of epithelium are also present (Area 4).

Bonus images:

Hematoxylin & eosin

These are additional high-magnification images to show nuclear details. Note the enlarged nuclei.

Original slide is contributed by Dr. Kar-Ming Fung, University of Oklahoma Health Sciences Center, Oklahoma, U.S.A.

 Home Page