Case No.: H-002

Diagnosis: Hodgkin lymphoma, nodular sclerosing type

Organ: Anterior mediastinum, thymus

Last Updated: 12/21/2010

Online Slide/Full Screen/Open with ImageScope

Gross Photo

Gross pathology: The specimen consists of a large dominant nodule with adipose tissue firmly attached to one end. On cross section, the nodule (T) has a creamy yellow firm cut surface without hemorrhage or necrosis. It extends into the attached adipose tissue (A) with pushing border (arrow).

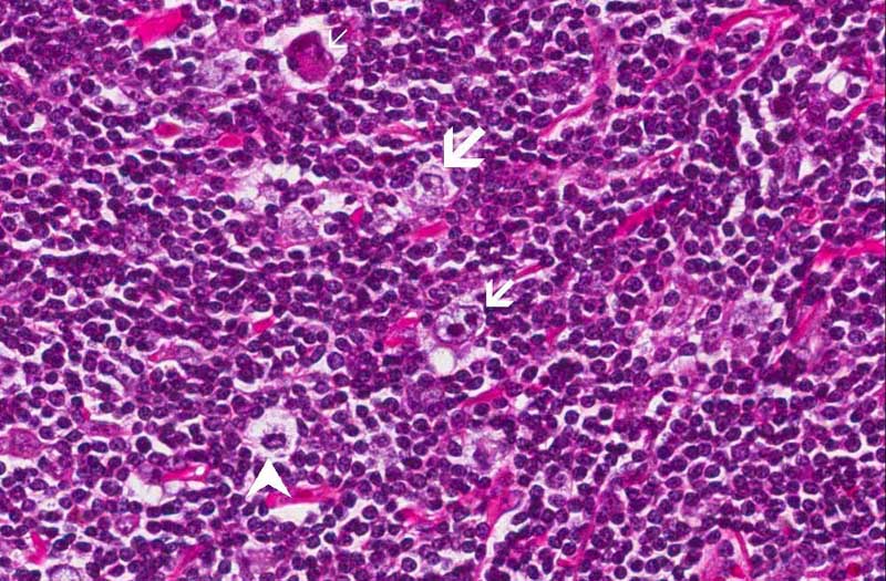
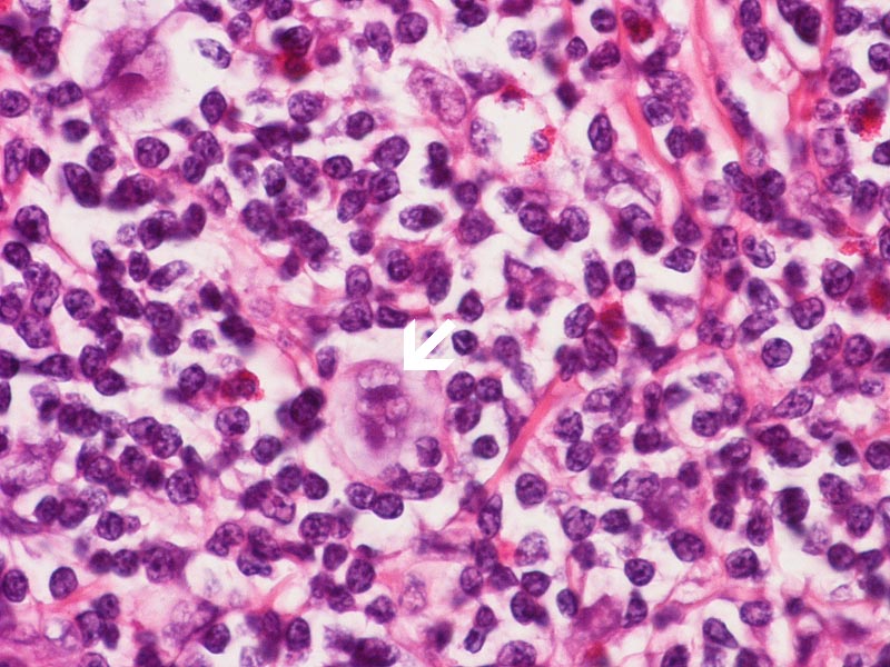
Area 1: Note that there are Reed-Sternberg cells (small arrow), Hodgkin cells (large arrow), lacunar cells (arrow head) which is diagnostic for nodular sclerosing classical Hodgkin lymphoma, and mummified cells (thin arrow).
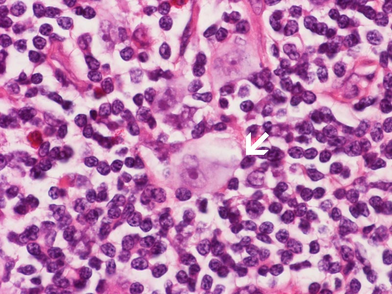
Area 2: Note that in this area, the large atypical cells are not readily seen. Many eosinophils (arrow) are present. This is often a suggestion but not a diagnostic feature of Hodgkin lymphoma.

History: The patient was a 47 year-old woman who presented to her doctor with the chief complain of difficulty in breathing and cough. On further work up, a large anterior mediastinal mass was revealed by CT scan. She also has a history of uterine cervical carcinoma. The differential diagnoses metastatic carcinoma, thymoma, lymphoma, ans soft tissue tumors. The current specimen was obtained from the thymectomy which yielded a 14.0 x 15.0 x 4.5 cm mass.

 

Gross Pathology:

  • Grossly the specimen consists of a large dominant nodule with adipose tissue firmly attached to one end. On cross section, the nodule (T) has a creamy yellow firm cut surface without hemorrhage or necrosis. It extends into the attached adipose tissue (A) with pushing border (arrow).

Histologic Highlights of this Case:

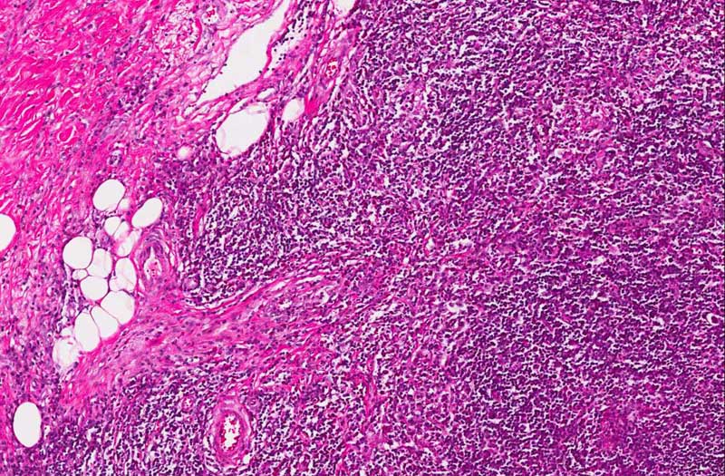
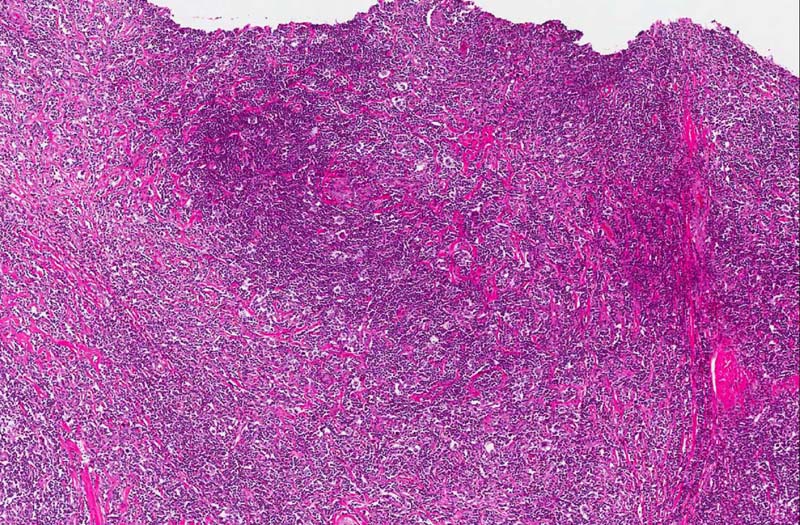
  • This tumor has several notable features. It is composed predominantly of small lymphocytes without any suggestion of lymphoma. Among these lymphocytes are scattered large, atypical cells with one or, less commonly, multiple nuclei (area 1). Many of the nuclei are lobulated and typically a prominent, eosinophilic nucleoli are present. The distribution of these cells are not homogeneous. They are hard to find in some areas. Also present in this backgound of lymphocytes are eosinophils (area 2). Again, their distribution is also non-homogeneous. The background of this tumor is very fibrotic and many nodules (arrow) surrounded by the fibrous tissue is present. These features are classic for nodular sclerosing type of Hodgkin lymphoma. The large atypical cells in fact are subclassified into the several categories as discussed below. Many of them can be found in this case.

Characteristic Cells in Hodgkin Lymphoma:

  • Reed-Sternberg (RS) cells: Classical diagnostic Reed-Sternberg are large cells with abundant basophilic cytoplasm and must have at least two nuclear lobes or nuclei. The nuclei are large and often rounded in contour and have a prominent eosinophilic nucleolus. Diagnostic RS cells must have lat least two nucleoli in two separate nuclear lobes. These cells, however, do not need mirror-image double nuclei to be classified as Reed-Sternberg cells. Classical

  • Hodgkin cells are uninuclear version of Reed-Sternberg cells.

  • Lacunar cells are characteristic of nodular sclerosing classical Hodgkin lymphoma and the characteristic feature is retraction of the cytoplasm from the surrounding and thus the cell apparently lie within lacunae. The cytoplasmic retraction, however, is produced by formalin fixation because these cells are not seen in specimens fixed in B5 or Zenker fixatives.

  • Pleomorphic Reed-Sternberg cells have large bizarre polyploid nuclei.

  • Mummified cells are large necrotic cells with deep eosinophilic cytoplasm and contracted contour. The nuclear details are also lost.

  • "Popcorn cells": These cells have multilobated nuclei and closely resemble RS cells. Unlike RS cells, however, the nuclei contain multiple small nucleoli and they lack CD15 or CD30 immunoreactivity. Rather, they are positive for CD45 and other B-cell markers (CD20, CD79a). They are typically seen in nodular lymphocyte predominant Hodgkin lymphoma. This tumor behaves biologically similar to large B-cell lymphoma. However, the neoplastic lymphocytes are sparse which grant them histopathologic similarities to classical Hodgkin lymphoma.

Classification of Hodgkin lymphoma:

  • In the World Health Organization (WHO) classification, Hodgkin Lymphoma is classified into:

    Nodular lymphocyte predominant Hodgkin lymphoma

    Classic Hodgkin lymphoma

          Nodular sclerosing classical Hodgkin lymphoma

          Lymphocyte-rich classical Hodgkin lymphoma

          Mixed cellularity classical Hodgkin lymphoma

          Lymphocyte-depleted classical Hodgkin lymphoma

  • In order to make a diagnosis of the nodular sclerosing type, there must be collagen bands that surround at least one nodules and lacunar type Reed-Sternberg cells.

Bonus Images:

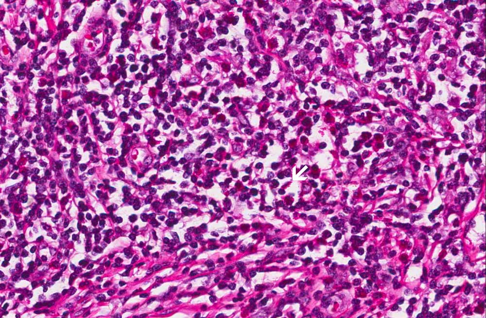
Hematoxylin & eosin

This is high magnification images taken from other areas of this case. Note the Hodgkin cells (arrow).

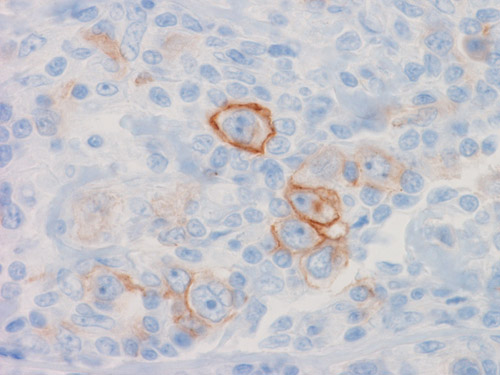
CD30

Immunohistochemistry: The backgound lymphocytes is composed of a mixture of B- and T-cells. The large atypical cells (Reed-Sternberg cells and variants) are positive for CD30 in this case. CD30 is almost always positive in all cases. These cells are negative for CD15 which is slightly uncommon since CD15 immunoreactivity are demonstrated in about 75% of Reed-Sternberg cells and variants.

Original slide is contributed by Dr. William Kern, University of Oklahoma Health Sciences Center, Oklahoma, U.S.A.

 Home Page