Case No.: H-003

Diagnosis: Non-Hodgkin lymphoma, follicular type, low-grade

Organ: Lymph node, inguinal

Last Updated: 12/21/2010

Online Slide/Full Screen/Open with ImageScope

History: The patient was a 57 year-old woman presented for evaluation of an left groin mass. The mass was asymptomatic and painless. She reported a weight loss of 30 pounds in 5 months. On physical examination, there were also enlarged axillary lymph node. A biopsy of the inguinal mass was performed and yielded the current specimen.

 

Histologic Highlights of this Case:

  • On scanning magnification, the lymph node demonstrates total effacement of the architecture. It is replaced by neoplastic follicles of uniform size, showing closely packed pattern. The follicles lack mantle zone as would be expected in normal lymph node. This is a classic pattern of follicular lymphoma. The follicles are composed of densely packed centrocytes and centroblastes without a “starry-sky” pattern or polarization. In particular, specimen, no no areas with diffuse arrangement is noted. The thin rim of lymphocytes around the follicles are mostly non-neoplastic T cells.

  • Cytologically, the neoplastic lymphocytes (centrocytes) are small to medium size with angulated, elongated, cleaved, or twisted nuclei. Chromatin is evenly dispersed, small nucleoli may be seen. Centrocytes appear more monomorphic than lymphocytes of the normal lymphoid follicles. The nuclear pleomorphism is low. Rare centroblasts are seen. Centroblasts are larger cells containing vesicular nuclei with one to three basophilic nuclei apposing nuclear membrane. These are the features of low-grade follicular lymphoma.

Immunohistochemistry:

  • The tumor cells are positive for CD20, CD10 and Bcl-2 but negative for CD3 and other T-cell markers (see below).

Additional Information:

  • Flow cytometry was performed and showed B-cell population with kappa restriction consistent with B-cell lymphoma.

  • The degree of follicular formation can varies from predominantly follicular (<75%) to minimally follicullar (<25%).

  • Histologic grade can vary from low to high. In the WHO system, there are 3 histologic grade with grade 3 the highest. The histologic grade is determined by the proportion of centroblasts.

  • Over 80% of follicular lymphoma have t(14;18) translocation. Bcl-2 protein can be demonstrated in neoplastic germinal centers by immunohistochemical stain in majority of grade 1-2 follicular lymphoma (85-97%). Bcl-2 protein is expressed by B and T lymphocytes but it is never normal to see BCL2 expression in benign germinal center.

  • Molecular detection of immunoglobin heavy chain rearrangment (IgH) is a good help to confirm monoclonality in lymphoma.

Hematoxylin & eosin

Area 1: The follicles of neoplastic lymphocytes mimic germinal center but a mantle zone is not present. This is an important clue for recognition of follicular lymphoma.

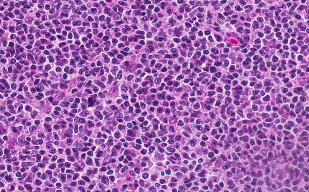
Hematoxylin & eosin

Area 1: This image is taken at the center of the neoplastic follicle. In this low-grade follicular lymphoma, the neoplastic lymphocytes are monotonous and without high grade nuclear features. When compared to the T-cells at the periphery of the follicles, they are not particular atypical.

Hematoxylin & eosin

Area 1: This image is taken at the periphery of the neoplastic follicle. Many of these lymphocytes are non-neoplastic T-cells.

Bonus Images:

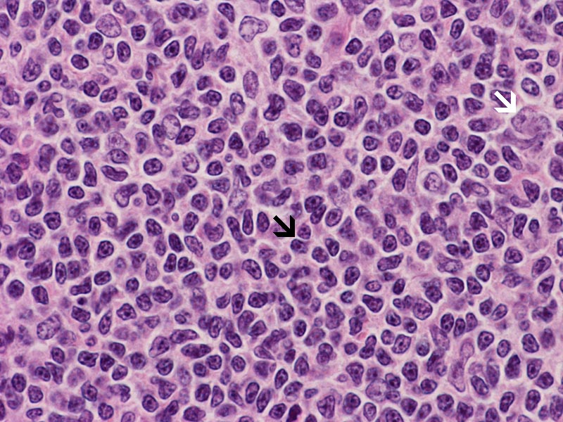
Hematoxylin & eosin

High magnification: This image is taken at 60x to provide cytologic details. Note the nuclear details. The nuclei appear angulated, elongated,  twisted or cleaved. Note that the lymphocytes form a mosaic pattern with gaps in between (black arrow). This feature is typical for lymphoma, lymphocytes, and other lymphoproliferative conditions. These gaps are generated by contraction of the cells induced by formalin. As the cells shrink during fixation, the gaps are formed. In contrast, epithelial cells have desmosomes and other intercellular adhering mechanisms and this phenomenon is less prominent This mechanism is also the same mechanism that generate the intercellular bridges of squamous cell carcinoma. Some follicular dendritic cells (FDC) these cells should not be mistaken as centroblasts. FDC has round nuclei, centrally located nucleolus,  bland, dispersed chromatin, and flattening of adjacent nuclear membrane. In contrast, centraoblasts have vesicular chromatin and multiple distinct nucleoli that are typically located at adjacent to the nuclear membrane.

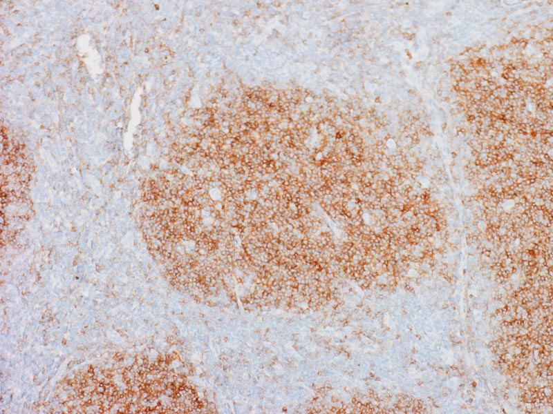
CD20

CD20: The neoplastic cells are B-cells and are strongly reractive for CD20, a B-cell marker.

CD10

CD10: Follicular lymphomas are also positive for CD10 as illustrated here.

CD3

CD3: This is a T-cell marker and the non-neoplastic T-cells are highlighted. Their distribution demonstrate a mirror image with that of B-cells markers.

Original slide is contributed by Dr. William Kern, University of Oklahoma Health Sciences Center, Oklahoma, U.S.A.

 Home Page