Case No.: H-004

Diagnosis: Spleen

Organ: Gaucher disease

Last Updated: 12/21/2011

 

Online Slide/Full Screen/Open with ImageScope

Hematoxylin & eosin

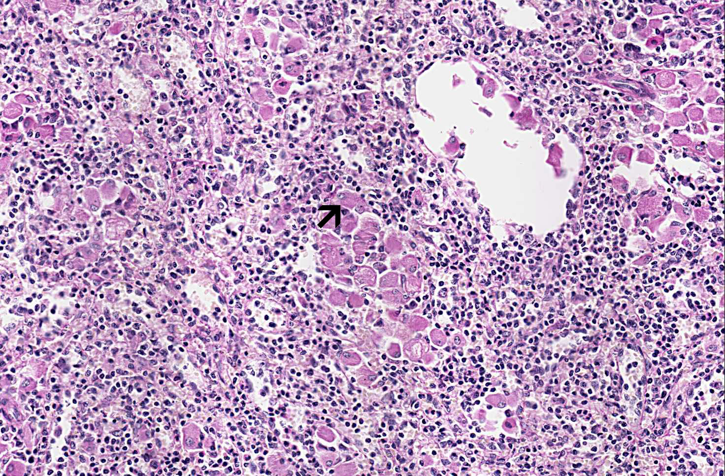
Area 1: The Gaucher cells are present through out the spleen and lead to splenomegaly. Note that many Gaucher cells have a vaguely laminated cytoplsm (arrow).

Hematoxylin & eosin

Area 2: Only a small amount of white pulp is present (arrows).

History:  This slide was obtained from an old teaching set and the history was not provide. However, patient affected by this disorder often have painless hepatomegaly and splenomegaly, hypersplenism and pancytopenia. Many of them would experience severe bone pain with the hip and the knee most affected. Although this disorder is usually adult onset, childhood and juvenile onset can also be seen. Not all of these patients are affected by neurologic manifestations. This condition is most common in Jewish people of Eastern and Central European descent (Ashkenazi Jews).

 

Histologic Highlights of this Case:

  • The normal pattern of the spleen featured by round white pulp in a background of red pulp is largely effaced. Only scant lymphocytic collections (white pulp) are present (Area 2). Note that blood vessels (v) with thick sclerotic wall that are frequently seen in spleen are also present in this image.

  • On higher magnification, the spleens has clusters of large polygonal cells with a large, often centrally located nuclei (Area 2). The cytoplasm of these cells has a vague laminated pattern resembling crumbled tissue paper. These cells are known as Gaucher cells and they are highly suggestive of Gaucher's disease.

  • Histopathology is not the best tool for diagnosis of metabolic disease. However, it is useful in narrowing down the differential diagnoses.

Comment:

  • Gaucher's disease is a lysosomal storage disease due to deficiency of lysosomal gluco-cerebrosidase. As a result, glucosylceramide, an insoluble lipid will accumulate in macrophages and turn into Gaucher cells.

Bonus Images:

Diff Quic

Gaucher cells from bone marrow: This is a high-magnification of a Gaucher cells obtained from a bone marrow smear and staind with Diff Quick stain. The laminated cytoplasm that are characterized as "crumbled tissue paper" is well highlighted here.

Original slide is contributed by  James Fishback MD, Department of Pathology, Kansas University (Iowa Image Collection).

 Home Page