Case No.: N-009  Quiz 

Diagnosis: Canavan disease (Canavan-Van Bogaert-Bertrand disease)

Organ: Brain

Last Updated: 12/21/2009

Online Slide Full Screen/

Open with ImageScope

 

 

Online Slide/Full Screen/

Open with ImageScope

 

 

 

Online Slide/Full Screen/

Open with ImageScope

 

Hematoxylin & eosin

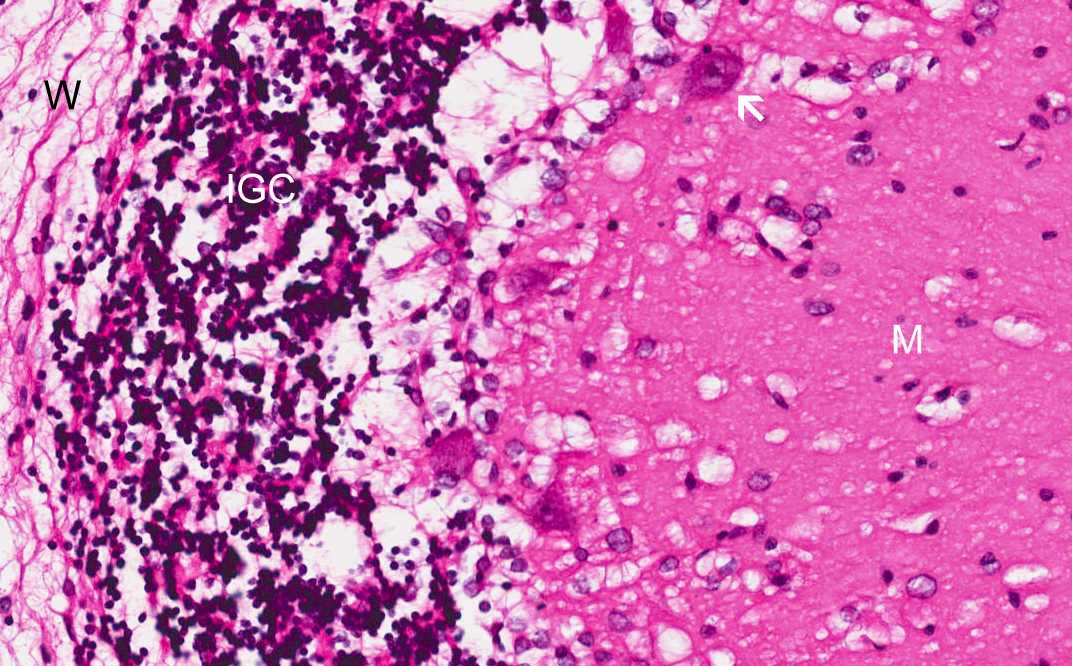
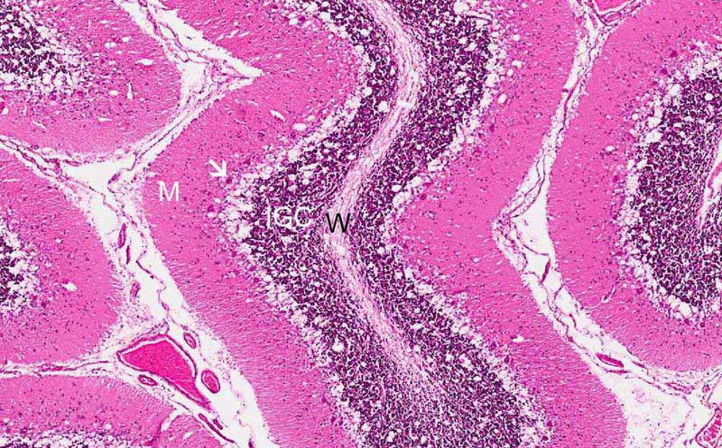
Area 1: There is marked spongiotic changes at the junction of the molecular layer (M) and internal granular cells (IGC). Note the presence of the Purkinje cells (arrow). The white matter (W) is also very spongiotic.

Hematoxylin & eosin

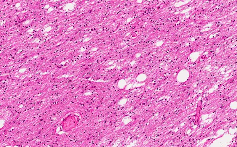
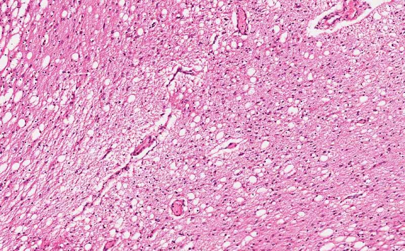
Area 2: Note the presence of numerous vacuoles in the white matter.

Hematoxylin & eosin

Area 3: Note the presence of numerous vacuoles in the white matter.

Hematoxylin & eosin

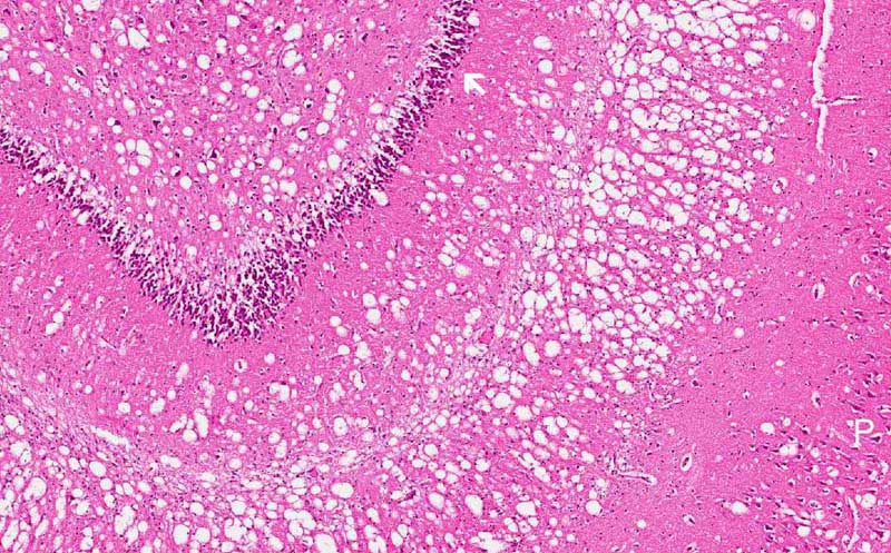
Area 4: Note the spongiotic change in the hippocampus. The dentate layer (D) is also severely spongiotic.

History: This autopsy specimen is obtained from an 8 year-old child who carried a diagnosis of Canavan disease (Canavan-Van Bogaert-Bertrand disease).

 

Histologic Highlights of this Case:

  • The salient features of this specimen is widespread spongiotic changes (vacuoles formation) predominantly affecting the white matter with the gray-white junction most severely affected.

  • The severe spongiotic change between the molecular layer and internal granule layer is characteristic for Canavan's disease (Area 1). Numerous vacuoles are also present in the white matter (Area 2).

  • In the cerebral hemisphere, there is also wide spread spongiotic changes. The hippocampus is a good example. there are numerous vacuoles in the white matter (Area 4) and the gray-white junction (Area 4).

  • Note that the white matter has no myelin on myelin stain (Luxol fast blue). Due to the inability to maintain normal myelination, Canavan disease is also a type of leukodystrophy.

Additional Information:

  • Canavan disease is an autosomal recessive disorder resulted from a defective ASPA gene on chromosome 17 which codes for the enzyme aspartoacylase. This enzyme catalyses N-acetylaspartic acid into L-aspartic acid and acetate. N-acetylaspartic acid is found in high concentration and, after glutamic acid, the second most abundant free amino acid in the brain. High level of N-acetylaspartic acid is toxic to the brain. Like other amino acid metabolic disorder, no storage material is present because amino acid cannot form insoluble storage material.

  • Widespread spongiotic changes is the characteristic feature of Canavan disease. The pathologic change is a reflection of the toxicity of N-acetylaspartic acid. The spongiotic changes, however, are not specific for Canavan disease. Such spongiotic changes can be seen in other abnormal amino acid metabolic disorders and other poisoning such as methanol poisoning.

  • Symptoms usually do not manifest at the time of birth. Initial development of the baby is normal and then followed by hypotonia, head lag, and seizure as well as mental retardation, and macrocephaly. There may also be optic atrophy, irritability, sleep disturbance and problems with esophageal disorder and swallowing. Most patients die in the first decade of life.

Bonus Images:

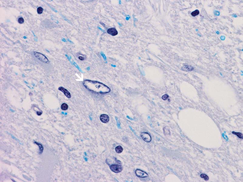
LFB-PAS

Alzheimer type II astrocytes: This image is taken from the thalamus of this case. Note the Alzheimer type II astrocyte (arrow) characterized by enlarged nuclei with distinct nucleoli and "watery" nuclei.

LFB-PAS

Online Slide/

Full Screen/

Open with ImageScope

For comparison: This is an online slide of the normal hippocampal area for comparison. Compare the pattern of myelination (dark blue) with the current case.

Original slide is contributed by Dr. Kar-Ming Fung, University of Oklahoma Health Sciences Center, Oklahoma, U.S.A.

 Home Page