Case No.: N-010

Diagnosis: Leigh's disease (Subacute necrotizing encephalopathy)

Organ: Brain

Last Updated: 12/31/2009

 

Online Slide/Full Screen/Open with ImageScope

Hematoxylin & eosin

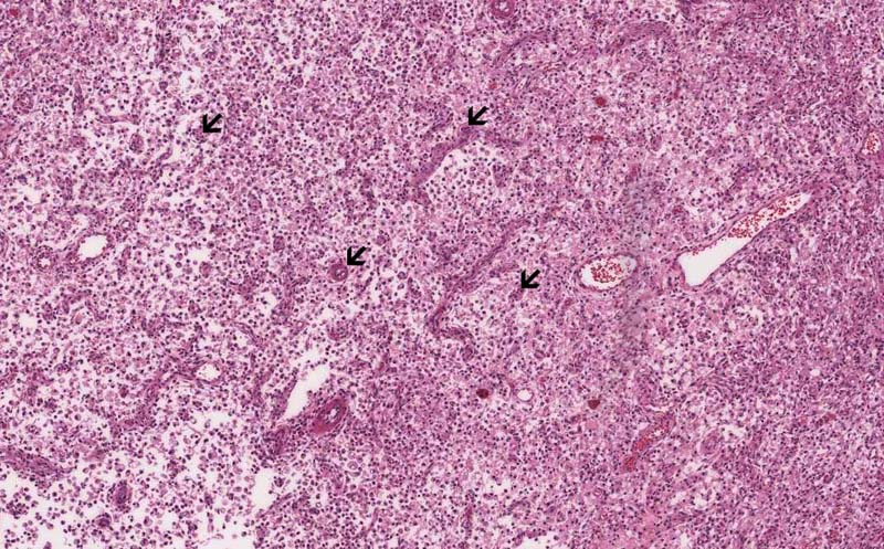
Area 1: The necrotic area is characterized by seas of foamy histiocytes with increased number of blood vessels (arrows).

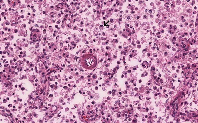
Hematoxylin & eosin

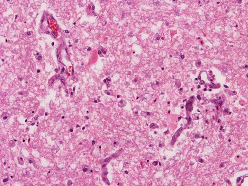
Area 1: The foamy histiocytes (macrphages) acquire the foamy morphology by having a substantial amount of lysosomes in the cytoplasm which make these cells foamy in appearance (arrow). Many blood vessels (V) are also present.

Hematoxylin & eosin

Area 2: This image is taken from an area that is less necrotic and the tissue is more intact. There is an increase in the number of blood vessels in these relatively intact areas, a feature of Leigh's disease. If you magnify this area in the online slides, you can also see foamy histiocytes even though they are not as numerous as those in the frankly necrotic areas.

History: The deceased was a 7 month-old girl who was born by spontaneous vaginal delivery and his course was unremarakble for the first three months of life. Her neurological status then deteriorate rapidly. Manifestations include loss of developmental mile stones, hypotonia, recurrent vomiting, and seizure. MRI scan demonstrated multiple lesions in the cerebral hemispheres which affect mainly the deep gray matter and also the gray matter of the brain stem as well as spinal gray matter. She died at the age of 7 months.

 

Gross Pathology: The deep gray matter (thalamus and basal ganglia) demonstrate necrosis that involves symmetrical areas which involves mainly the gray matter (large arrows). Similar lesions are also present in the brainstem and cerebellum (small arrows). In all of these areas, there is disintegration of tissue. No hemorrhage is noted. The mammillary bodies are relative unaffected. The area with substantia is extensively necrotic. [Click here to see the gross photos again]

Histologic Highlights of this Case:

  • There is extensive and symmetrical necrosis that involves largely the substantia and other gray matter of the midbrain. These areas are characterized by seas of foamy macrophges with increased number of blood vessels (neovascularization (Area 1 and 2). White matter such as the cerebral peduncles are relatively less affected.

  • In some areas, viable neurons may be seen among the foamy histiocytes. Such preservation of neurons is a characteristic of Leigh's disease and is one of the features that distinguishes it from infarction.

  •  It is this extensive necrotic changes that grant the name of subacute necrotizing encephaly to this disease which is more commonly known as Leigh's disease. Leigh's disease is essentially a necrotic centroencephalopathy which involves necrotic changes of the core of the central nervous system.

General Information:

  • Leigh's disease is a subacute necrotizing encephalomyelopathy affecting the gray matter. Histologic features include necrosis, proliferation of blood vessels, gliosis, and preservation of neurons (similar to that of Wernicke’s encephalopathy).

  • The metabolic defects in Leigh's disease is heterogenous but that each causes an impairment in mitochondrial function and hence a chronic energy deprivation syndrome.

  • The most common enzyme defects involve the pyruvate dehydrogenase complex and cytochrome C oxidase.

  • Most frequently presented in the first two years of life but rare late onset and adult onset cases are recognized. Clinically, it is characterized by psychomoter retardation, feeding difficulties, hypotonia or weakness and ataxia. Disorders of movent such as dystonias, tremor, chorea and even myoclonus are frequent clinical findngs. Disturbance of respiration and abnormal eye movements with or without optic atrophy are common. It may be difficult to distinguish Leigh's disease from other enzymatic deficiencies that are associated with lactic acidosis. Death occurs within a few years (usually within one year) after the onset of symptoms. Prolonged survival and acute fulminating illness of a few days are both reported before. Compare to other mitochondrial encephalopathy such as KSS, MELAS, MERRF, Leigh's disease progress much more rapidly and are seen in younger child.

  • Neonatal presentation: A typical presentation occurs in the neonatal period with hypotonia and recurrent vomiting. Later visual and hearing loss occurs and seizures develop. In some cases, the onset of Leigh disease may be delayed until walking begins. In these patients, ataxia and loss of intellectual development accompanies muscle weakness.

  • Lactate and pyruvate concentrations are frequently increased in blood and CSF.

  • About half of the cases show autosomal inheritance. The other half of the cases show X-linked mutations.

Bonus Images:

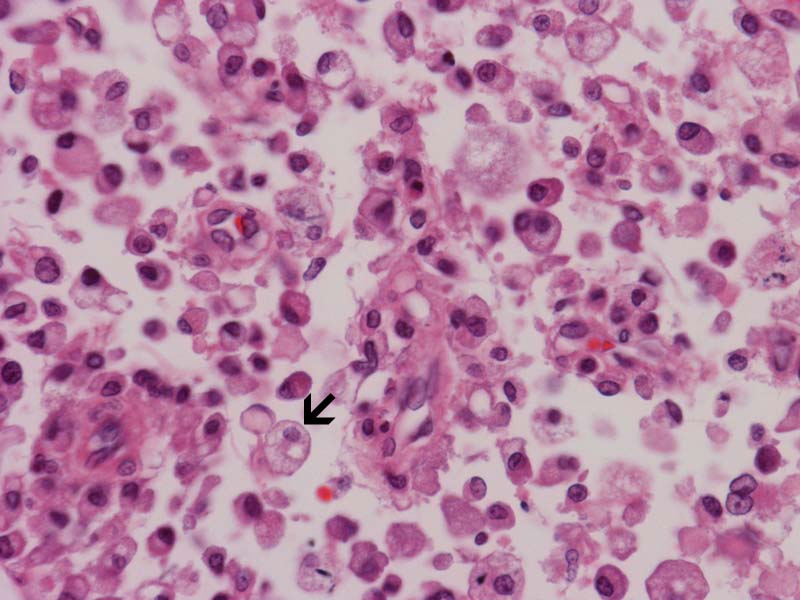
Hematoxylin & eosin

High-magnification image on the histiocytes: The foamy histology is best illustrated in this high-magnification image.

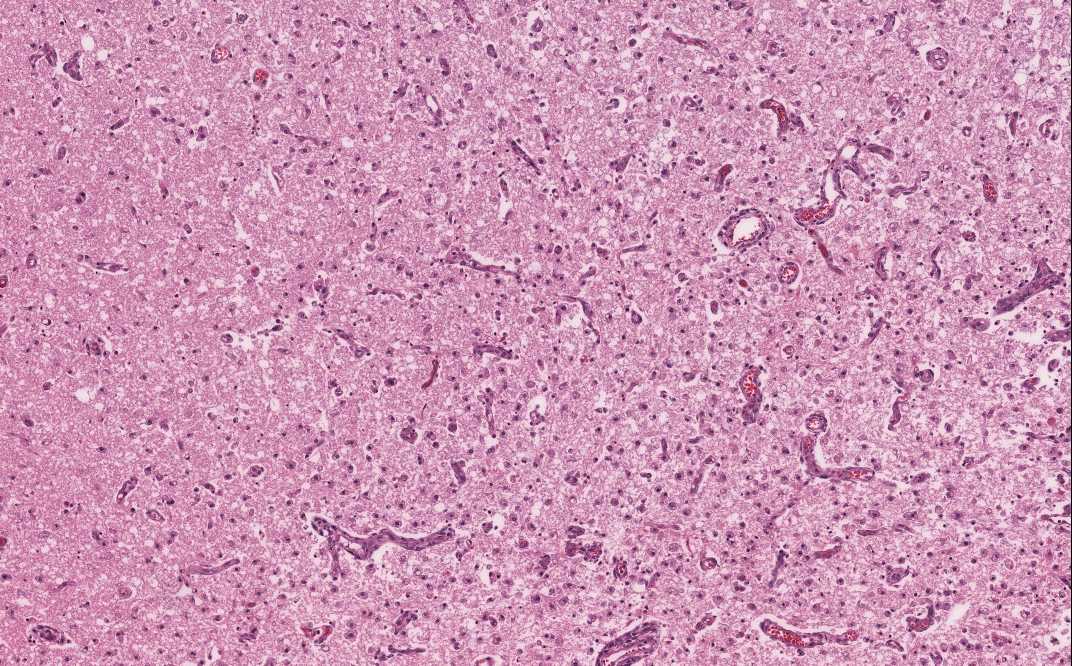
Hematoxylin & eosin

Relatively unaffected area: This high-magnification image is taken from the relatively unaffected area similar to Area 2. Note the foamy histiocytes.

Online Slide/

Full Screen/

Open with ImageScope

CD163: The distribution of the foamy histiocytes corresponds to the necrotic areas and is best illustrated in this online slides. CD163 is a commonly used immunohistochemistry for macrophages.

Online Slide/

Full Screen/

Open with ImageScope

Neurofilament proteins: Immunohistochemistry for neurofilament proteins identify the areas that are relative spared from the necrosis where axons (containing neurofilament proteins) are spared. These areas corresponds to areas with less macrophages found. Compare this online slides with the one with immunohistochemistry for CD163.

Neurofilament

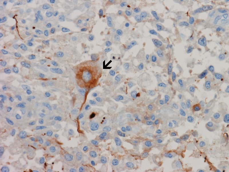
Spared neurons: One of the characteristics of Leigh's disease is relative preservation of neurons in the necrotic areas. These neurons may not be easy to be found on hematoxylin and eosin stain but they can be demonstrated easily by immunohistochemistry for neurofilament proteins as in this case (arrow). Note that the surrounding histiocytes are negative for neurofilament proteins.

Online Slide/

Full Screen/

Open with ImageScope

Glia;l fibrillary acidic protein (GFAP): A substantial amount of reactive gliosis is present and is best illustrated by immunohistochemisty for GFAP as illustrated by this online image.

Original slide is contributed by Dr. Kar-Ming Fung, University of Oklahoma Health Sciences Center, Oklahoma, U.S.A.

 Home Page