Case No.: N-014

Diagnosis: Hypoxic/ischemic changes and Post-mortem bacterial overgrowth

Organ: Brain, Autopsy

Last Updated: 08/21/2010

 

Online Slide/Full Screen/Open with ImageScope

Hematoxylin & eosin

Area 1: Note that this vacuoles is largely empty except for a minute amount of acellular substance. There is no inflammatory cells or gliosis around the vacuoles.

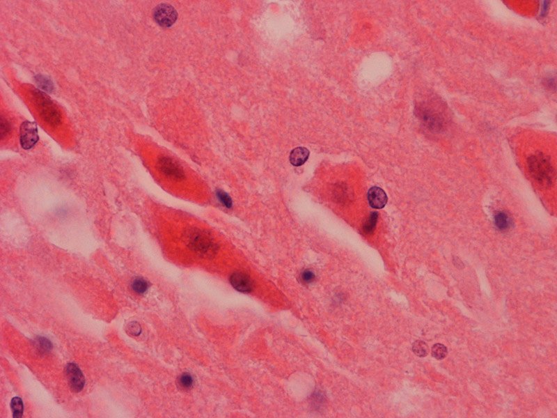
Hematoxylin & eosin

Area 2: The cerebral cortex does not look remarkably abnormal on low magnification. On higher magnification, you can see that the neurons (arrow) have lost their nuclear details and the nucleoli are not readily seen as in normal neurons. The shape of the neurons are also contracted and elongated which give the shape of a flame. The cytoplasm is also weakly eosinophilic. Compare these neurons with that of a cortex with no morphologic features of hypoxic/ischemic changes. The features being shown here is not the most advanced changes. The cytoplasm can get a lot more eosinophilic [click here to see an example].

History: The patient was a 2 year and 1 month old male who was diagnosed with acute lymphoblastic leukemia and was treated with induction therapy. The patient appeared to be responsive to the treatment and was later discharged home. He later developed watery diarrhea, vomiting, and blood clots in stool He was readmitted but his condition continued to deteriorate and died one later after admission.

 

Major general Autopsy Findings and Cause of Death: Sepsis associated with Clostridium infection. Neutropenic enterocolitis. Necrotizing esophagitis associated with Candida species.

 

Gross Neuropathologic Findings: The brain weighs 1,166 grams and was grossly unremarkable outside. On cut section, there are numerous round to oval vacuoles up to about 1 cm in size that affect the cerebral hemispheres brainstem, and cerebellum. The cerebral hemispheres are by far the most affected. These vacuoles are clean and have no content. The brain also gives a foul smell.

 

Neuropathologic Histologic Highlights of this Case:

  • The vacuoles are empty or contain a small amount of debris. There is complete lack of inflammatory cell infiltration and reactive gliosis around these vacuoles (Area 1).

  • When the cortex are closely examined, many of the cortical neurons have a contracted or so-called "flame-shaped" morphology, with eosinophilic cytoplasm, and loss of nuclear details (Area 2). These features are indicative of hypoxic and/or ischemic changes. These are agonal changes and are not uncommon among patients who have been resuscitated.

  • A small number of fungal organisms morphologically consistent with Candida species are also found in the brain (not shown). They are also uncommpanied by inflammatory changes.

Comment: The formation of these vacuoles are due to postmortem proliferation of gas producing bacteria such as Clostridium species. The lack of inflammatory cell reaction is a testimony that this process occurred after death. Due to these vacuoles, this type of change is also nick-named "Swiss cheese brain" for obvious reason. It is rather common in the past when refrigeration for dead body would not be as readily available as today. As far as the body has been well refrigerated, Swiss cheese brain should raise a possibility of sepsis particularly associated with Clostridium species.

Original slide is contributed by Dr. Kar-Ming Fung, University of Oklahoma Health Sciences Center, Oklahoma, U.S.A.

 Home Page