Case No.: N-015

Diagnosis: Gliosarcoma with rhabdoid changes

Organ: Brain, cerebral hemisphere

Last Updated: 08/21/2010

 

Online Slide/Full Screen/Open with ImageScope

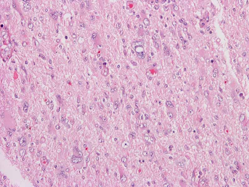
Hematoxylin & eosin

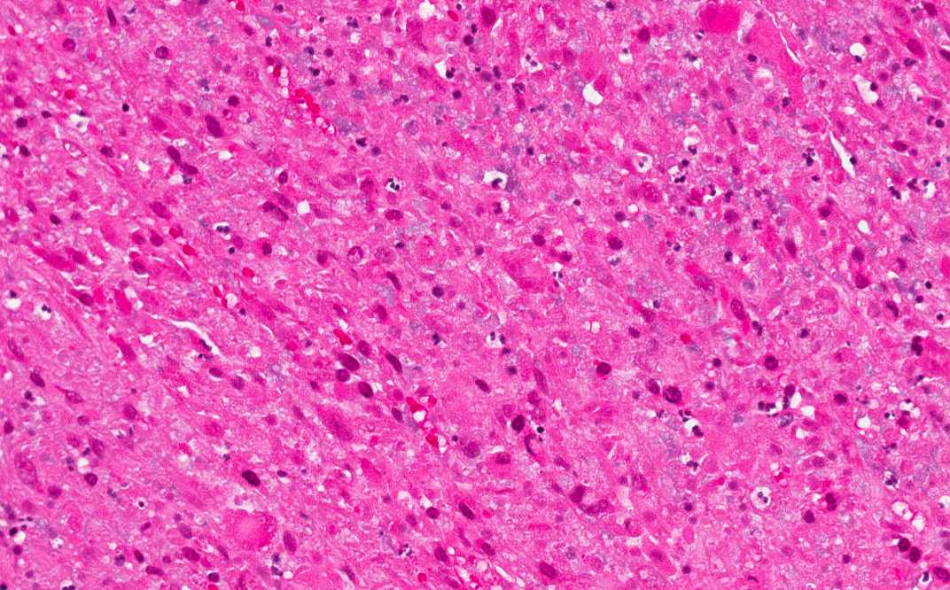
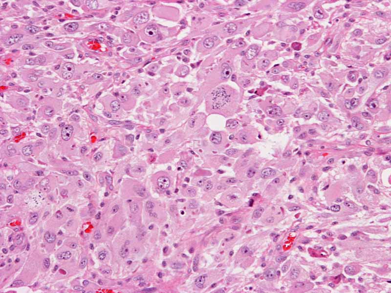
Area 1: The tumor is composed of large, pleomorphic cells with large nucleoli. The tumor cells are densely packed and without any pattern formation. The nuclei are large and there are prominent nucleoli. A moderate amount of cytoplasm is also present. The morphology varies from more spindle appearing to more epithelioid appearing.

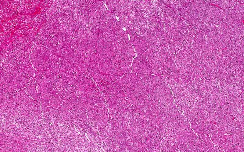
Hematoxylin & eosin

Area 2: Geographic areas of necrosis (N) is present in this tumor (T). Note that no pseudopalisading necrosis, one of the salient features of glioblastoma, is not see here. Compare the necrotic area in high magnification with that of the viable tumor cells. Note the loss of cellular details.

Hematoxylin & eosin

Area 3: The tumor (T) is overall very well demarcated from the surrounding brain tissue (B). This is also an unusual feature of glioblastoma or anaplastic astrocytoma which usually have an infiltrative margin. This features also explain why the tumor appears well demaracted enough to suggest meningioma on imaging studies.

History:  The patient was a 43 year-old man who complained of a 4 week long history of nausea, vomiting, and headache with pain in the central forehead area. He reported also a 6 day long severe pain and dizziness so severe that he could not leave home. His neurological examination was free from focal signs or weakness. An MRI scan demonstrated an avidly enhancing mass, 5.2 x 4.4 x 4.9 cm, in the right frontal parietal area that was most likely extra-axial and with dural tail enhancement. There is substantial edema around the mass as demonstrated on FLAIR images. The mass was excised and yielded the specimen being shown here.

 

MRI:

  • On T1-weighed images, he tumor mass show heterogeneous enhancement with dural tail enhancement. There is no definitive ring enhancement. The mass is large enough to cause midline shift and compression of the lateral ventricles. The tumor is rather well demarcated overall. FLAIR images demonstrate a substantial amount of edema around the tumor.

  • On T2-weighed images, there is partial CSF crest formation at the frontal area where the tumor is close to the dura.

  • The overall features suggest a meningioma but other primary tumor cannot be ruled out.

T1 post contrast

T2

Histologic Highlights of this Case:

  • The specimen was received in fragments. The histopathology among different fragments are similar. In general, it is a highly cellular tumor composed of large tumor cells with a good volume of cytoplasm with large nuclei and nucleoli (Area 1).

  • Geographic area of necrosis are readily seen but no pseudopalisading necrosis is noted (Area 2).

  • The periphery of the tumor is rather well demarcated from the surrounding brain tissue (Area 3).

Immunohistochemistry:

  • The tumor cells are uniformly immunoreactive for vimentin but only limited areas (<10%) of the areas are positive for glial fibrillary acidic protein (GFAP).

  • The tumor cells are positive for BAF47.

  • Faint and focal immunoreactivity for epithelial membrane antigen (EMA) is also noted.

Comment:

  • The overall features are more compatible with a high grade tumor of glial origin than meningeal tumor. The possibility of an anaplastic meningioma has been entertain but there is no definitive features for meningeal differentiation both at light microscopy level and electron microscopy level (not shown). The immunoreactivity for EMA is weak but that of GFAP is strong althoughit is rather focal.

  • The best overall interpretation is that this is a glial sarcoma with rhabdoid differentiation.

  • The positive immunoreactivity for BAF47 rules out the possibility of an atypical teratoid rhabdoid tumor (ATRT). The rhabdoid changes here can be seen in many tumor with very rapid growth rate.

Bonus Images:

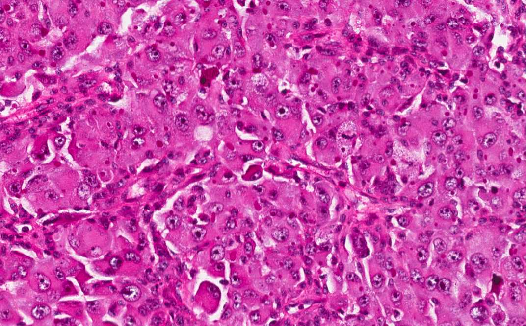
Hematoxylin & eosin

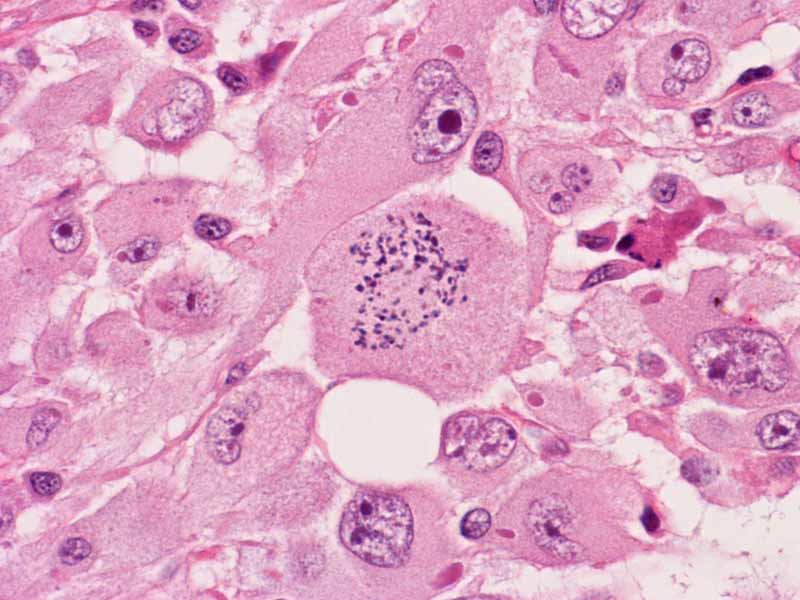
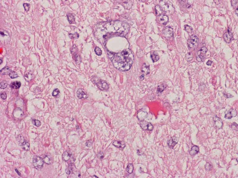
This image is taken from another slide of this case. In this area, the rhabdoid features are more prominent. Rhabdoid changes are featured by a large nuclei with prominent nucleoli. The cells is typically in an oval shape with a large belly of cytoplasm that pushes the nucleus to an eccentric location. Within the belly of cytoplasm is often a faintly defined inclusion body like body which may appear fibrillary on hematoxylin and eosin stain. This structure is composed largely of vimentin and will be strongly highlighted by immunohistochemistry for vimentin.

Hematoxylin & eosin

This image is taken from another slide of this case at the interface between the tumor and the brain tissue. Note that the infiltrating tumor cells. Compare this area with Area 3.

Hematoxylin & eosin

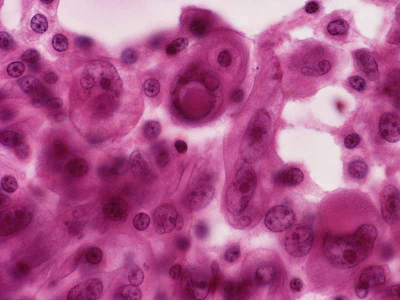
This image is taken from the cytologic prepartion of this case at the time of intraoperative consultation. The rhabdoid features are well shown here. Many multinucleated tumor giant cells are present.

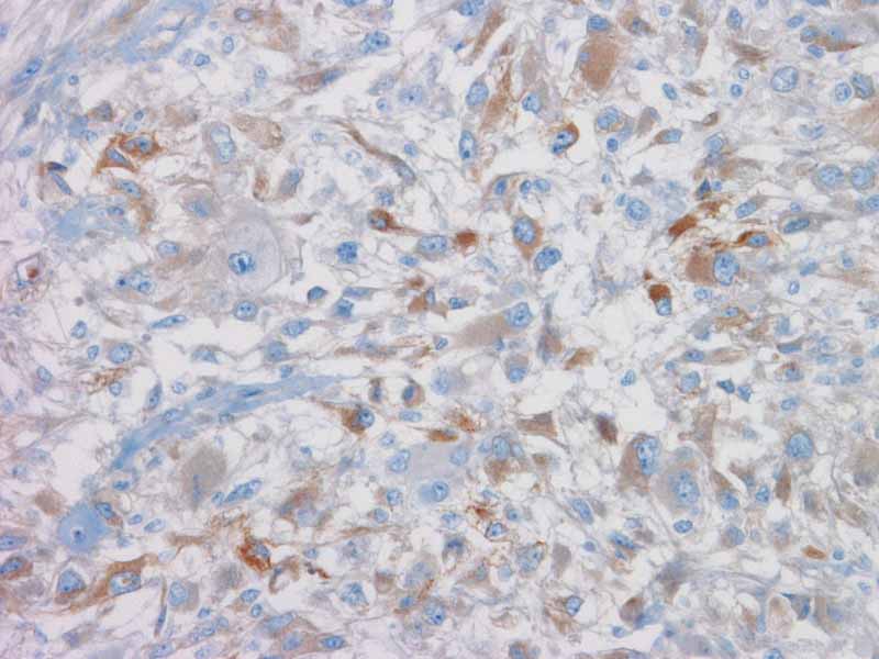
Glail fibrillary acidic protein (GFAP)

Glial fibrillary acidic protein (GFAP): Focal but strong immunopositivity is present in this tumor.

Vimentin

Vimentin: Practically every cell is immunoreactive for vimentin. Note the belly of strongly positive cytoplasm in the tumor cells. This feature is rather characteristic for rhabdoid cells.

Epithelial membrane antigen (EMA)

Epithelial membrane antigen (EMA): Only weak and very focal immunoreactivity is noted.

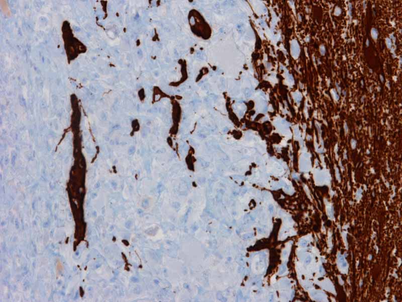
BAF47

BAF47: Positive immunoreactivity is present. This antibody stains for the gene product of INI1 gene which is deleted or mutated in ATRT. When the gene is deleted or mutated, the immunoreactivity will be lost. The preservation of immunoreactivity indicates that the gene is not deleted and most likely not mutated.

Original slide is contributed by Dr. Kar-Ming Fung, University of Oklahoma Health Sciences Center, Oklahoma, U.S.A.

 Home Page