Case No.: N-017 Quiz

Diagnosis: Anaplastic oligodendroglioma, WHO grade III with chromosome 1p and 19q deletion

Organ: Brain, cerebral hemisphere

Last Updated: 09/21/2010

Online Slide/Full Screen/Open with ImageScope

Hematoxylin & eosin

Area 1: In this this area, the tumor cells are solidly packed. The characteristic feature of "fried eggs" appearance featured by round to polygonal cells, prominent perinuclear halo, round and centrally located nuclei are diagnostic features of oligodendroglioma. There are also many small cyst in this area. Note that there is a vascular network composed of thin capillaries (arrow) embedded within the tumor.

Hematoxylin & eosin

Area 2: This is an area of gray matter infiltrated by the tumor. Note that the tumor cells are not solidly packed back-to-back. Rather, there is brain parenchyma between tumor cells. Many amorphous calcifications (white arrow) are present. There are also some neurons entrapped between the tumor cells (black arrow)

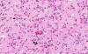
                   Hematoxylin & eosin

Area 3: There is a small area of necrosis in this area (N). Note that some of the cells have amphophilic cytoplasm rather than clear perinuclear halo. There is also increased pleomorphism in these cells. When oligodendroglioma cells with increased atypia, their cytoplasm often lost the clear halo and there is also increase in variation of nuclear size and diameter. Note that there are some foamy cells with small nuclei around the necrotic debris. These are foamy histiocytes (macrophages) and should not be mistaken as tumor cells (arrow).

Hematoxylin & eosin

Area 4: In this area, there is substantial microcyst formation which is very common in oligodendroglioma. The tumor cells appear less "fried egg" like than than other areas.

History: The patient was a 42 year-old woman who developed seizure at home and was taken to the emergency room by her family members. On further questioning, she also has a history of chronic headache for a few weeks. Fundic examination demonstrated papillary edema of the optic cup. An MRI scan demonstrated a 3 cm enhancing mass in the frontal lobe associated with substantial edema and midline shift. The tumor was excised and yielded the specimen being shown here.

 

Histologic Highlights of this Case: 

  • In a significant amount of area, the tumor is composed of solid sheets of neoplastic cells with nuclear halo, and round nuclei. Embedded within which is a delicate vascular network composed of thin capillaries (Area 1). The cells overall look rather monotonous and resemble "fried eggs". Mitotic figure can be found but are not numerous.

  • In other areas, there are many amorphous calcifications (Area 2). Multiple entrapped neurons are also noted in this area.

  • Occasional necrosis and areas with increased pleomorphisms are also present (Area 3).

  • There are areas where microcyst formation is frequent (Area 4).

Comment:

  • With all these features considered, the best diagnosis is anaplastic oligodendroglioma of WHO grade III. This case is distinguished from oligodendroglioma (WHO grade II) by the presences of areas with increased pleomorphism, increased mitosis, and focal necrosis. Immunohistochemistry for Ki-67 which is a marker for cycling cells further support this diagnosis.

  • Fluoresent in situ hybridization (FISH) demonstrate deletion of chromosome 1p and 19q. Oligodendroglioma with this particular combination of chromosomal deletion usually are more responsive to chemotherapy. Mutation of isocitrate dehydrogenase 1 and 2 gene are common in oligodengroglioma. In primary tumors of the central nervous system, mutation of hSNF5/INI1 gene is seen only in atypical teratoid rhabdoid tumor.

Bonus Images:

Hematoxylin & eosin

Intraoperative Cytologic Preparation: Note that the tumor cells are mostly in form of naked nuclei with a monotonous, rather round morphology.

Hematoxylin & eosin

Intraoperative Frozen Section: Note that the perinuclear halo is a formalin fixation artifact and is not present in frozen sections.

Original slide is contributed by Dr. Kar-Ming Fung, University of Oklahoma Health Sciences Center, Oklahoma, U.S.A.

 Home Page