Case No.: N-018

Diagnosis: Atypical teratoid rhabdoid tumor (ATRT)

Organ: Brain, ventricular-thalamic mass, left side

Last Updated: 09/21/2010

 

Online Slide/Full Screen/ pen with ImageScope

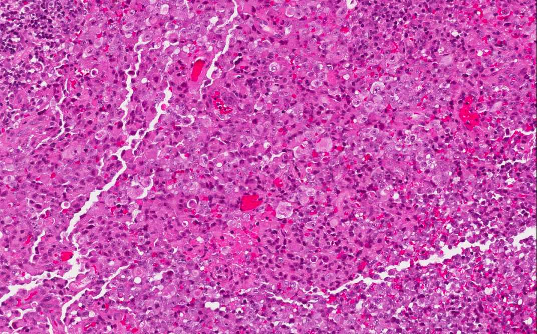
Hematoxylin & eosin

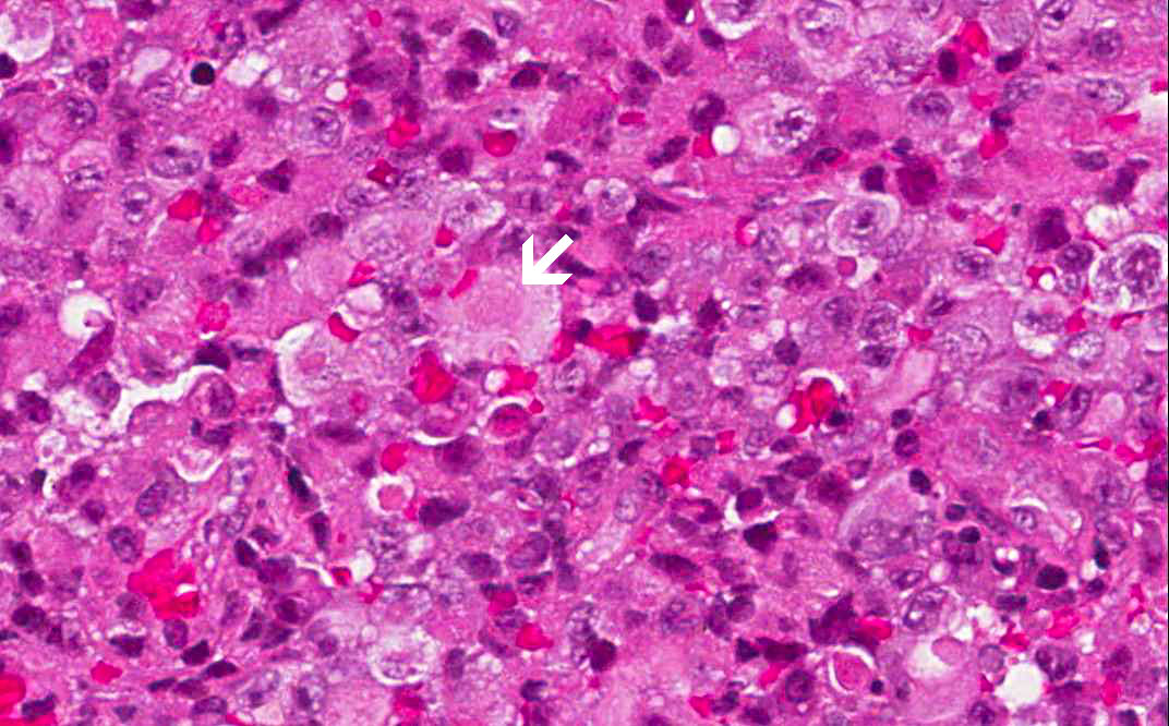
Area 1: The tumor is solidly packed with round to oval cells of comparable size but there is a definitive variation of cellular size. The nuclei are large and have prominent nucleoli. The larger cells have amphophilic cytoplasm and eccentrically located nuclei. In some of the tumor cells, there is a centrally located round inclusion-like, poorly demarcated fibrillary substance that is more dense looking than the surrounding cytoplasm. These inclusion-like bodies are typically contains a substantial amount of vimentin and would be strongly positive for vimentin.

History:

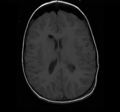
The patient was a 6 year-old girl who presented with a history of Streptococcal infection about 3 weeks ago and was treated with Amoxicillin. She improved briefly but started vomiting, hip pain, neck pain, and severe headache. She was treated with antibiotics under the impression of meningitis and she improved again. However, she started vomiting for several times again and was admitted to the emergency. An MRI scan demonstrated a brain mass as illustrated here. The lesion was excised and yielded this specimen.

 

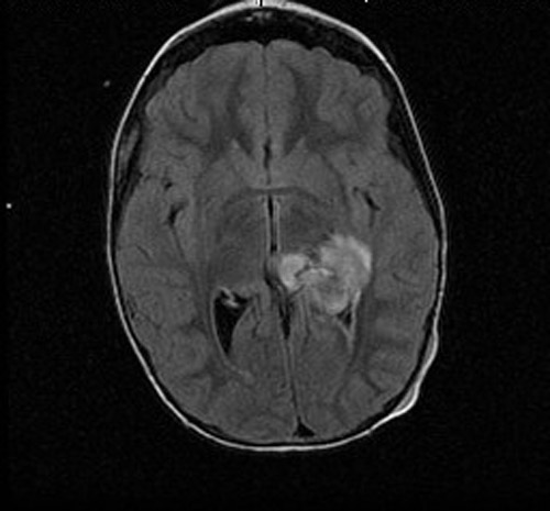
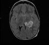
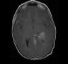
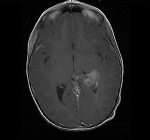
Imaging Studies:

  • MRI studies demonstrate a 3.3 x 3.2 x 2.7 cm well-circumscribed mass in the left lateral ventricle. The tumor has both an exophytic part and parenchymal involvement of the underlying brain. This mass has heterogenous signal intensity on T1-weighed images and heterogeneous enhancement. On FLAIR images,  It causes a 0.5 cm midline shift to the right and mild dilatation of the right lateral ventricles. FLAIR images do not demonstrate excessive edema.


MRI T1

MRI T1 Contrast

MRI FLAIR

Histologic Highlights of this Case:

  • The tumor is composed of solid sheets of moderate to large cells with large nuclei and prominent nucleoli (Area 1). There is no specific pattern formation. The tumor cells tend to separate from each other. There is some small focal necrosis in this section but the necrosis is more extensive in the part submitted for frozen section (see bonus images below).

  • Note that there is significant variation in the size of the cells. Some of them are rather large and has eccentrically located nuclei and big "belly" of cytoplasm.

  • Immunohistochemistry demosntrated strong reactivity for vimentin in practically every single cells. Many of the tumor cells are positive for S100 proteins and neurofilament proteins. A much lesser number of tumor cells are positive for glial fibrillary acidic protein (GFAP). The tumor cells are negative for desmin and epithelial membrane antigen (GFAP). Most of the tumor cells are negative for BAF-47. This immunohistochemical profile supports the diagnosis of atypical teratoid rhabdoid tumor (ATRT).

  • Fluoresence in situ hybridization (FISH) study demonstrate heterozygous loss of chromosome 22q.

  • Click here to see another case of ATRT.

Comment:

  • Rhaboid cells refer to large, round neoplastic tumor cells with oval or egg-shaped outline. The typical cells have large amount of cytoplasm which may form an inclusion-like structure. The nuclei are high grade appearing and have prominent nucleoli. It is not a differentiation but a pattern and can be seen in many different types of tumors with very fast growth rate.

  • Despite it long and tongue twisting name, ATRT is a primary tumor of the central nervous system that contains rhabdoid cells with or without non-rhabdoid components. Like other rhabdoid tumors, the tumor cells are strongly reactive for vimentin, an intermediate filament. ATRT is polyphenotypic and may express neurofilament proteins, glial fibrillary proteins, S100 proteins, epithelial membrane antigen, and less commonly cytoekratin, CD99, smooth muscle actin. It is important that they do not express desmin or myogenin. Otherwise, the diagnosis of rhabdomyosarcomoa should be seriously entertained.

  • ATRT are associated with deletion of the INI1 gene on chromosome 22. The absence of this protein which indicates either deletion or mutation of the INI1 genes can be detected by immunohistochemistry using BAF-47. The chromosome deletion can also be demonstrated by FISH, cytogenetics, and PCR. Mutation can be detected by sequencing.

Bonus Images:

BAF-47

Immunohistochemistry for BAF-47: This antibody detects the gene product of INI1 gene. When this gene is intact, the nuclei will stain positive. When it is deleted or mutated, the gene nuclei will not contain the protein and therefore stained negative. Therefore, negative staining indicates positive deletion or mutation of INI1 gene. Endothelial cells are typically positive which may serve as an internal positive control. In this case, there are some tumor cells that are positive. It is the unpublished experience of the author (KMF) that cases with heterozygous deletion of chromosome 22q tends to have some weak positive immunoreactivity in a small number of tumor cells.

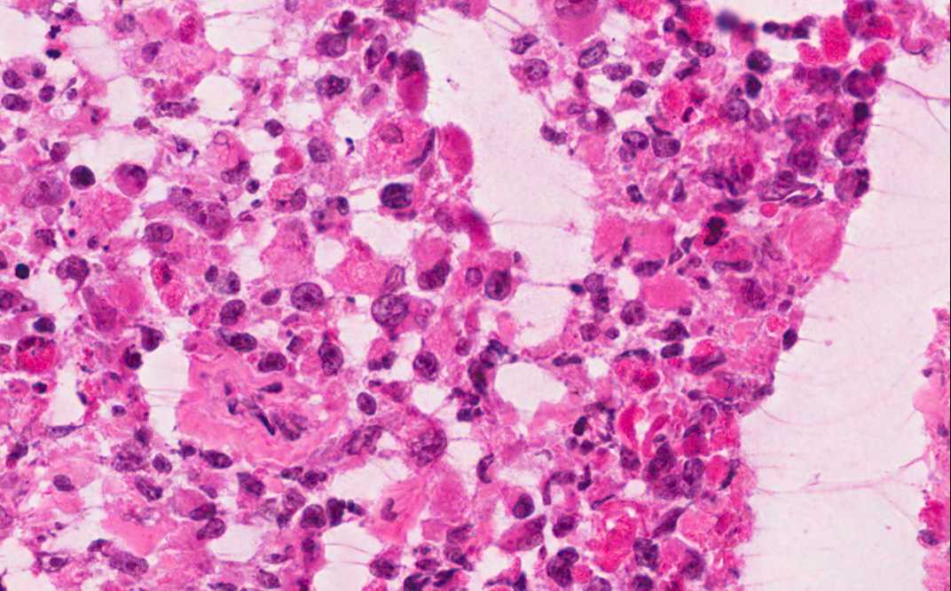
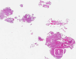
Hematoxylin & eosin

Intraoperative cytologic operation: The rhaboid cells are best detected in the cytologic preparations.

Hematoxylin & eosin

Intraoperative frozen section: The rhabdoid features of the tumor cells are readily seen at the time of intraoperative crozen section. This part of the specimen has more necrosis than the part submitted for permanent section.

Original slide is contributed by Dr. Kar-Ming Fung, University of Oklahoma Health Sciences Center, Oklahoma, U.S.A.
 Home Page