Resident level quizzes are in crimson, student level quizzes are in blue.

 

Quiz Set: N-019

Kar-Ming Fung, M.D., Ph.D.


1.    Which of the following features is seen in diffuse astrocytoma (WHO grade II)?  Answer

A.  Mitotic count of over 3 per high-power field

B.  Proliferation of endothelial cells (endothelial proliferation)

C.  Enhancement on MRI

D.  Mass effect and herniation

E.  Tumor growth across the midline through the corpus callosum


2.    Which of the following features is true regarding diffuse astrocytoma (WHO grade II)?  Answer

A.  Some of these tumor can progress to higher grade tumor such as anaplastic astrocytoma and glioblastoma

B.  The incidence of this type of tumor in neurofibromatosis 1 and 2 (NF1 and NF2) is not increased

C.  Mutation of p53 can be demonstrated about 10% of these tumors

D.  The spinal cord is a common site

E.  Headache is a common symptom but seizure is not common


3.    Which of the following combination is most useful in distinguishing diffuse astrocytoma (WHO grade II) from ependymoma?  Answer

A.  Epithelial membrane antigen (EMA) and p53

B.  Glial fibrillary acidic protein (GFAP), cytokeratin AE1/AE3

C.  Ki67 (Mib1)

D.  BAF47 (specific for the gene product of hSNF5/INI1 gene

E.  Neurofilament protein cocktail and Neu-N


4.    Which of the following genetic alteration is often mutated in diffuse astrocytoma (WHO grade II)?  Answer

A.  BRAF-KIAA1549 fusion

B.  Mutation of isocitrate dehydrogenase (IDH) 1 and 2

C.  Deletion of chromosome 1p and 19q

D.  Deletion or mutation of hSNF5/INI1

E.  Mutation of PTEN/MMAC1 gene on chromosome 10q23


5.    Which of the following has better prognosis than diffuse astrocytoma (WHO grade II)?  Answer

A.  Atypical teratoid/rhabdoid tumor (AT/RT)

B.  Medulloblastoma

C.  Glioblastoma

D.  Gemistocytic astrocytoma

E.  Dysembryoplastic neuroepithelial tumor (DNET)


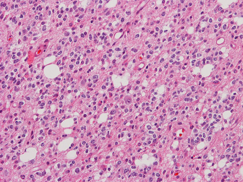
6.    Which of the following features will be helpful in the diagnosis and prognostic assessment of the tumor illustrated below which is obtained from the frontal lobe of a 32 year-old man?  Answer

Please click on icon to see full sized image.

A.  Positive immunoreactivity for glial fibrillary acidic protein (GFAP)

B.  Mutation of isocitrate dehydrogenase (IDH) 1 and lost of chromosome 1p and 19q

C.  Weakly positive for synaptophysin staining

D.  Demonstration of BRAF-KIAA1549 fusion

E.  Demonstration of gemistocytic astrocytes


Last updated: October, 26, 2011. Contributed by Kar-Ming Fung, M.D., Ph.D.

Dept. of Pathology, University of Oklahoma Health Sciences Center, Oklahoma City, OK, U.S.A.