Case No.: N-023

Diagnosis: X-linked adrenoleukodystrophy

Organ: Cerebellum

Last Updated: 3/21/2011

 

Online Slide/Full Screen/Open with ImageScope

Hematoxylin & eosin

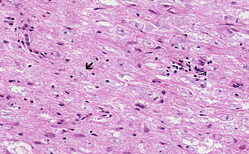
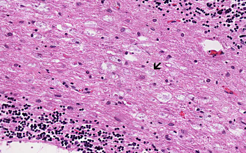
Area 1: There are many histiocytes with grayish, sometime foamy cytoplasm.

Hematoxylin & eosin

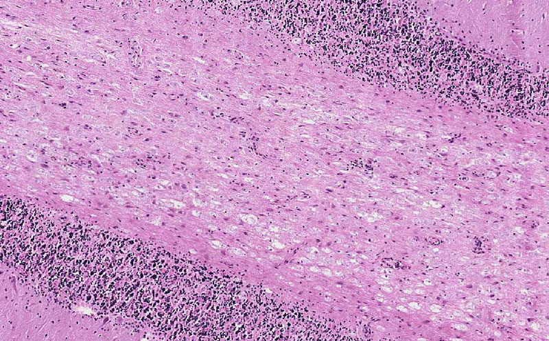
Area 2: The density of infiltrating histiocytes is much higher here. Note that there is no chronic inflammatory cell infiltration.

History: This slide was taken from the archive and the history was not provided. This specimen was obtained from the autopsy of a case with know x-linked adrenoleukodystrophy.

 

Histologic Highlights of this Case:

  • On casual examination, there does not seem to be much obvious pathologic changes. On careful examination, however, there are some foamy histiocytes in the white matter (Area 1 and 2). In the superficial part of the folia, the number of histiocytes are not that numerous (Area 1) but at the base of the cerebellar folia, however, there are many histiotyces (Area 2) and it seems like that the histiocytes are slightly expanding the white matter (Area 2).

  • The presence of these foamy histiocytes indicates possible storage of abnormal substance and in this case adrenal lipids.

Comment:

  • X-linked adrenoleukodystrophy is a leukodystrophy. Leukodystrophies are metabolic disorders that typically affect the white matter of the central nervous system. Although x-linked adrenoleukodystrophy is classically associated with demyelination, hematoxylin-eosin stain is not an appropriate stain for the presence (or absence) of myelin. (see bonus images)

  • The ultimate diagnosis of metabolic diseases is based on biochemical studies. Pathologic studies can help to rule in and rule out some entities but is not the appropriate mean for establising a diagnosis.

  • X-linked adrenoleukodystrophy is a peroxisomal disease with combined involvement of the CNS and the adrenal glands. Progressive childhood onset is the most common presentation but clinical presentation is quite variable. Pathologically, X-ALD is characterized by lipid accumulation (birefrigent striations, also seen in other peroxisomal diseases) in the adrenal gland and testicular interstitial glands and inflammatory "three-zone" demyelinating lesions in the brain.

  • The etiology is due to mutation of the ALD gene located on chromsome Xq28. The ability to form coenzyme A derivatives of very long chain fatty acids (chain length over 22 carbon) is reduced. This lead to wide spread accumulation of very long chain fatty acid.

  • ALD gene expression is highest in adrenal glands, intermediate in brain, and almost undectable in liver. ALDP is highly expressed in microglia, astrocytes, and endothelial cells; oligodendrocytes have little to none. This distribution lead to the clinical pattern of prominent accumulation of lipids in adrenal gland and the central nervous system.

Bonus Images:

Gross Photo

Gross Photo: This gross photo was taken from a different case. Note that the white matter is diffusely replaced by a yellow gelatin like substance.

Luxol Bast Blue-Cresyl Violet

Loss of myelin: Myelin is staind blue in Luxol fast blue-Cresyl violet preparation. This image is taken from the cerebral cortex and subcortical white matter from a different case of x-linked adrenoleukodystrophy. Note that there is extensive loss of myelin in the deeper part of the subcortical white matter (scw). Myelin in the subcortical fibers are preserved.

Hematoxylin-Eosin

Online Slide

Full Screen

Open with ImageScope


Luxol fast blue-Cresyl violet

Online Slide

Full Screen

Open with ImageScope

For comparison: These virtual slides are obtained from the cerebellum of an adult without neurologic pathologic changes. You can compare the pattern of myelination with the image above.

Original slide is contributed by Pathology Learning Center, University of Iowa (Iowa Image Collection).

 Home Page